近日,南昌大学第二附属医院心内科电生理团队成功完成江西省首例结合Marshall韧带化学消融治疗持续性房颤,再次填补了省内空白。
房颤是临床上最常见的快速性心律失常。流行病学调查显示,我国房颤患者已经超过800万,且发病率随年龄增长而不断提高,65岁以上人群房颤的发病率高达9%。房颤患者发生脑卒中、心力衰竭及心血管死亡的机率会明显增加,且致残、致死率极高,严重威胁人民的身体健康。
Marshall韧带是左心房后壁的的心外膜退化结构(包含纤维束、血管、神经丝及心房肌束),其前身为胚胎期的左上腔静脉,左上腔静脉未完全退化,形成一具有盲端的静脉与冠状窦延续,成为Marshall静脉。除了肺静脉之外,Marshall韧带也在房颤触发和维持中也起重要作用。目前房颤消融领域的最大难点,就是经心内膜导管消融无法彻底毁损心外膜结构的Marshall 静脉及其附属结构(Marshall韧带)。
传统Marshall 静脉消融是通过开胸或者穿刺心包腔的途径,但这两种方法创伤大,并发症风险高,难以推广。经导管途径进行Marshall韧带的无水酒精化学消融是房颤消融领域一个重大的技术创新,融合了电生理和冠脉的手法和技术,目前国内只有为数不多的几家大医院刚刚开展。
经过充分的术前准备,南大二附院心内科心律失常团队通力合作,先后为两位持续性房颤患者成功实施了该项手术,Marshall静脉细小,解剖位置变异较大,容易漏掉,因此需首先定位该静脉。通过冠状静脉造影寻找Marshall静脉,之后送入导丝及球囊。两例房颤患者术中Marshall静脉化学消融后,对于导管消融难以实现透壁损伤的左肺静脉和左心耳交界嵴部区域电位消失,左肺静脉隔离很快完成,同时仅仅消融几个点就彻底阻断了二尖瓣峡部,患者最终成功恢复了窦性心律。
Marshall韧带化学消融这项技术,解决了导管消融术对于某些房颤病灶“到不了,消不透”的困难和瓶颈,提高了消融效率和手术成功率,能够使持续性房颤、左房房扑和复发性房颤消融的无事件生存率提高15%。首例Marshall韧带无水酒精消融的成功,代表我院心血管内科心律失常团队房颤消融技术达到国内领先水平。该技术的成功开展将会进一步提高房颤的治愈率,给我省房颤患者带来福音。

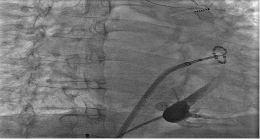
冠状静脉造影后,找到Marshall静脉

进行Marshall韧带消融后,基质标测提示左房嵴部和部分二尖瓣峡部区域电位消失
南昌大学第二附属医院心内科是省内唯一国家级临床重点专科,教育部长江学者创新团队,江西省心律失常介入治疗质控中心。近年来省内心律失常领域的新技术绝大多数均为该科率先开展,如左心耳封堵术、房颤一站式治疗、希蒲系统起搏技术。心律失常介入手术总例数及复杂程度均为全省前列。2019年,心律失常病区完成心电生理+射频消融术1409例(其中房颤射频消融手术474台),心脏永久性起搏器植入术456例,左心耳封堵术40例,连续多年保持全省第一并且遥遥领先。同时,病区致力于开展国内国际前沿临床研究,2019年作为第一作者和通讯作者单位,在美国心脏协会杂志(JAHA)发表原创临床研究。该项研究成果标志着南昌大学第二附属心内科在临床研究方面走在国际前列。
2020年,南大二附院心内科心律失常团队将“只争朝夕加油干,不负韶华再向前”,在新征程上不断创新,做好领头羊,为百姓健康保驾护航。