(病例资料为2018年)临床上,不管胸外科医生还是影像科医生对于肺小结节的认识越来越全面准确,相比几年前,术前诊断为良性或恶性的准确度有了非常大的提高,各医院也往往以肺结节手术的恶性比例来判断手术指征把握的尺度是否合理。在肺结节的良性或恶性判断方面,纯磨玻璃结节或混合磨玻璃结节更加容易及准确,甚至许多医生能将影像与病理结合,仅凭影像资料就能较为正确的判定病理类型。对于实性结节,若在2厘米以上,一般恶性因有分叶、毛刺、血管集束征、空洞等不同的恶性征象也相对容易判断出来。但其中公认最难,也最不容易确定良性或恶性的是比较小的实性结节,尤其在1厘米左右的,若在0.5厘米以下实性结节,密度很高,反而以良性的纤维增生结节、淋巴结或慢性炎等可能更大。今天我与大家分享的就是一例约1厘米左右的实性结节,影像特征有良性也及恶性的迹象,因为进行了手术,取得了确诊,呈现给大家为使大家提供一点借鉴与经验!
患者为55岁男性,因“全身淋巴结肿大”入住本院肿瘤外科,拟行淋巴结活检。入院体格检查进颌下、双侧颈部、腋下、腹股沟多发淋巴结肿大,较大的直径约1.5-2厘米,非融合,质地中等,较为光滑。彩超示胰腺周围、腹主动脉旁也有多发肿大淋巴结,较大的直径约2.5-3.0厘米。胸部CT提示左肺下叶结节。肿瘤筛查指标正常,血常规与生化等检查正常。下面为其术前胸部CT靶扫描的图像:

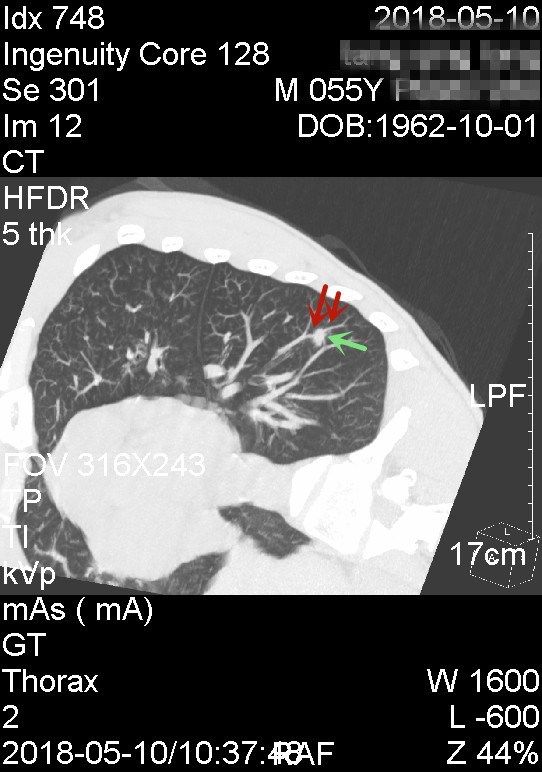
上图红色箭头示血管经过结节后走行略有改变,绝色箭头示有血管进入结节

上图示重建图像结节表面略不平,总体非扁平状或片状

上图示结节为实性,有浅分叶
我们来分析患者左肺结节的特点。首先左肺下叶存在实性结节,直径约1厘米许。其次良性的主要迹象包括:1、结节边缘略显模糊;2、重建图像上看,表面不是非常粗糙,部分区域还是相对光滑;3、血管紧贴结节,不一定完全进入病灶。其中最重要的特征是边缘显模糊。第三,恶性的主要迹象包括:1、表面有浅分叶、凹凸不平;2、血管经过病灶区域受到一定程度牵拉,说明有一定的收缩性;3、上图三绝色箭头示有血管进入结节。
因为良性或恶性均有可能,我们将片子通过邮件及微信发给上级医院老师专家会诊,若按认为良性与恶性的比例来分,总体上意见倾向炎性,但不能完全排除恶性!这样的情况,我们术前与患者及家属进行了充分沟通,如实告知我们的意见及教授们的意见,需由患方自行决定手术与否。但叶建明的建议,还是胸腔镜下局部切除病检为宜,基于以下考虑:1、患者左肺下叶结节明确存在;2、虽以良性可能大些,但从影像上也不能排除恶性;3、结节距离胸膜表面约1.5厘米,可以楔形切除,即使结果为良性,对肺功能影响小,术后恢复快,解除思想负担及反复的CT随访复查;4、万一结果为恶性,则这样实性密度较高的结节,不宜等待观察,需及时手术为宜;5、若为炎性结节,以慢性肉芽肿可能大些,普通抗炎治疗效果差,病灶不太容易吸收缩小,随访无改善,仍极可能需手术来确诊。家属与患者经过充分考虑后,决定选择胸腔镜下微创手术切除病检以达到确诊与治疗的目的。
手术由叶建明主任医师主刀、谭海栋副主任医师为助手。术前手术组认为结节密度高,距离胸膜1.5厘米左右,肺萎陷后距离可能不到1厘米,表面能扪及,未行CT引导下定位。但仔细阅片,确定结节所在区域:左肺下叶膈面以上5厘米左右,距胸膜表面1.5厘米,在左腋中线与左肩胛下角线之间。进胸后用卵圆钳提起左肺下叶,在此区域扪查,果如术前所料,可触及质硬结节,遂以长电刀电灼该处表面标记后,再以卵圆钳夹起肺组织,用切割闭合器完成肺楔形切除。取出标本后找到结节,剖开见结节质硬,无包膜,切去的感觉比较韧,个人以为如“年糕”,不似平常所见的肺癌质脆,送快速病理切片检查,提示:隐球菌性肉芽肿。
患者已经确诊为肉芽肿,我们关好胸部切口后,改为平卧,为其腹股沟肿大淋巴结进行了活检。
手术已经完成,但留给我们的思考仍然是有的:回头看,结节确实也些炎性的特征上,老师及专家也多数倾向炎性,只是不能完全除外恶性。手术是否必须,还是等待观察或抗炎后复查再定?当然隐球菌性肉芽肿普通抗炎肯定不会有明显改善,不过可能也不太会进展。个人的体会,基于文中所列的理由,手术还是比较合理的选择,不手术、抗炎又无好转,最终即使目前没有手术,估计仍背负巨大的心理负担,几周或几月后可能还是会切除病检的。若该患者的病灶不是楔形切除可以解决的地方,我们便不会建议其手术活检,选择观察或抗炎后复查再定。另还有个问题,全身广泛淋巴结肿大,是否也与隐球菌相关,结果又是非常意外的,居然是套细胞淋巴瘤!
#抗击肺癌#