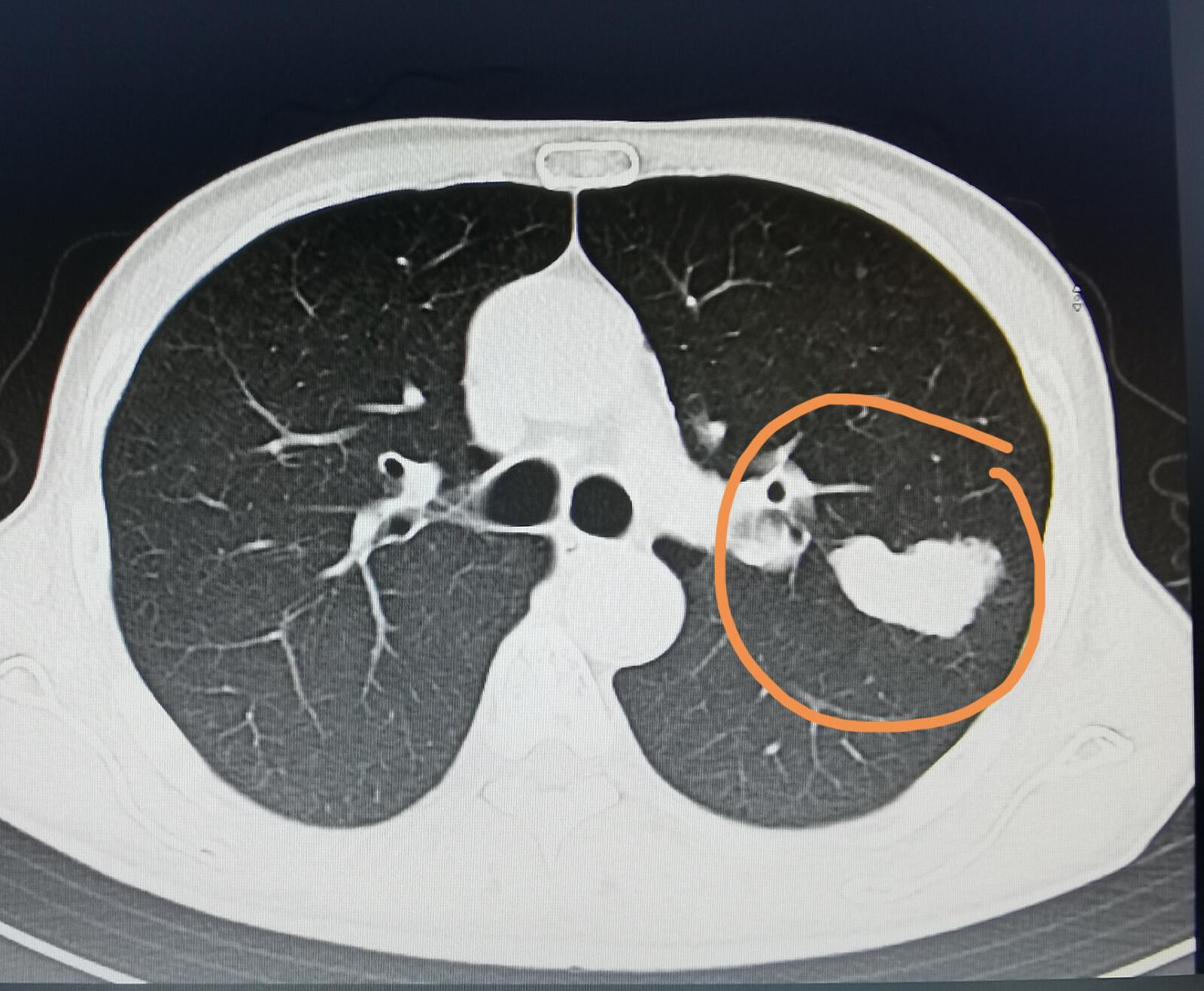
有一位家住河北省57岁的男士,近两个月来出现了上腹部疼痛,这种疼痛比较轻微,可以忍受,不是那种特别剧烈的,应该叫做隐隐作痛。刚开始的时候,他以为是胃口的问题,但后来这种感觉一直存在,他到我们医院来检查,发现了胰腺有一个占位,考虑是胰腺癌。同时一侧肾上腺和脾脏里面也都有占位,有可能是胰腺癌的转移。他在我们医院还做了一个胸部CT,结果发现了在左下肺也有一个占位。
他的儿子想知道左肺这个占位和胰腺癌有没有关系?我仔细阅读他的片子,觉得肺部这个占位恶性的可能性非常大,但考虑原发性肺癌,不太考虑胰腺癌的肺部转移。当然,最终还要以病理报告来决定到底是什么病。从他儿子那里我知道,这位患者抽了很长时间的烟,但之前从来没有做过体检,这还是他第一次做胸部CT和腹部的检查。
在这里,我提醒各位朋友,如果您和您的家人长期吸烟,要每年到体检中心来做体检,任何部位的癌症都是早期发现,早期治疗,效果才好。

编辑

编辑

编辑