来源:上海交通大学医学院附属第九人民医院
作者:张凯 审稿专家:赵杰 马辉
本文未经授权谢绝转载。


生活中,有这样一类患者,他们大多是40岁以上的中老年人,常被慢性腰痛困扰,当他们*坐静**或休息时往往没有明显的不适,而当他们走一段距离的路后,身体就会出现下肢痛、 麻木、无力等症状,此时不得不停下休息一会儿,等症状缓解了才能继续行走。

随着病情的加重,他们一次能走的距离会越来越短,而需要休息的时间却越来越长。很多人都以为自己只是寻常的腰腿痛,或认为是上了岁数身体功能退化了,没有及时就医。结果症状不断加重,不得不去医院时,检查后才被医生告知患上了“椎管狭窄”。


什么是“椎管狭窄”?
椎管狭窄是指椎管的容积变小,因椎管内壁向内突入导致椎管管腔狭窄,压迫椎管内的脊髓、神经;常见于腰椎和颈椎。


“椎管狭窄”有什么症状?
一般表现为腿部、手臂或躯干疼痛、麻木、肢体无力、走路一瘸一拐、大小便障碍等一系列神经功能障碍。
椎管狭窄根据狭窄部位,分为腰椎管狭窄、颈椎管狭窄和胸椎管狭窄,其中腰椎管狭窄最常见,但颈椎管狭窄更危险。
腰椎管狭窄时,会出现反复发作的腰背部疼痛,臀部及下肢放射痛,腰部后伸受限,随后出现下肢麻木无力,肌肉萎缩。严重者造成马尾神经受压,表现为小便排不干净,大便不能自控,会阴区麻木,性功能下降。

最常见的症状就是走路时出现间歇性跛行,具体为行走一定距离(数米至数百米)后出现一侧或者双侧腰腿疼、下肢麻木无力;当弯腰、站立或蹲坐休息数分钟后又可以继续行走。跛行的间歇距离因病情加重而缩短,严重者行走困难。

哪些人易被“椎管狭窄”找上?
椎管狭窄是一种常见的骨科疾病,病因多和患者的年龄以及生活习惯有关。其中老年男性、有先天发育异常者、有外伤病史、或有脊柱滑脱、肿瘤、强直性脊柱炎等病史的人患病几率比较高。
这种疾病会对患者的身体造成很大的伤害,使得患者出现背痛、腰痛、下肢麻木等症状,严重时会出现站立或行走困难、大小便*禁失**。

需要做哪些检查来确诊?
体格检查:
值得注意的是椎管狭窄的症状与体征多不一致。所谓体征就是医生体格检查的情况。对腰椎管狭窄而言,一般症状重而体征轻,尤其是患者住院后经过卧床休息,往往无明显体征。
这个时候就需要“负荷试验”来进一步检查,即请患者行走,诱发出平时的症状之后再行体格检查,往往能获得定位诊断。

影像检查:
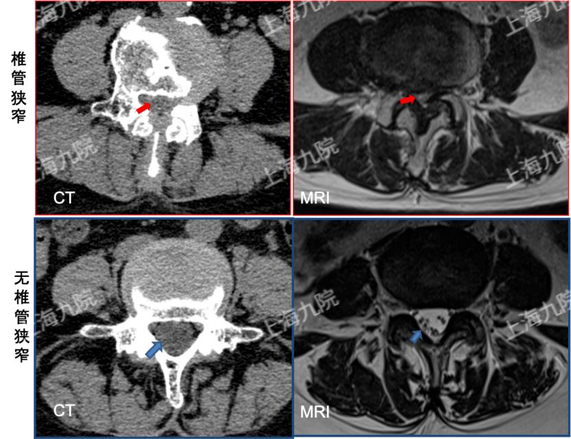
椎管狭窄可以通过X线检查、CT扫描、磁共振成像等来进行诊断。
X线检查:也就是我们平常说的平片,现在的X线检查更多的是作为诊断的辅助检查。X线上可以观察脊柱曲度的改变,椎间高度的变化,有无椎体边缘骨赘,关节突关节形态,有无椎体不稳或滑脱。椎管狭窄患者的椎间关节突通常会变得比较肥大,椎板间的间隙会变得狭窄。
CT扫描:CT有较高的空间分辨力,在横截面上能够清楚地显示骨性和软组织结构,对椎骨、椎间盘、黄韧带的显示可以非常清晰。如果注射显影剂并使用X线生成三维图像,还能显示软组织损伤以及骨骼问题,可以对椎管的狭窄程度进行比较准确的判断。
磁共振成像(MRI):通过电磁波生成脊柱的三维图像,能够显示肿瘤、增生甚至椎间盘和韧带损伤。可以比较清楚地显现出神经根受压的位置和程度。磁共振检查准确率更高,但价格较贵。

正常椎管与椎管狭窄的 CT、MRI影像
椎管狭窄如何治疗?
早期阶段,椎管被压迫不是特别严重时,可以采取非手术的治疗方法,包括卧床休息、腰背肌功能锻炼、中医手法、针灸、牵引、穴位贴敷、理疗等,可联合口服镇痛药物、肌松药物、营养神经等药物对症治疗。

是否需要手术要结合病人的症状、体征和影像学的检查。对于出现下肢持续麻木或者严重的麻木疼痛,或者是肌肉已经萎缩、大小便功能有障碍,甚至出现不全瘫痪这些表现的病人,如果在影像学的检查中发现神经已经有明显压迫,就需要尽早接受手术治疗。

专家 提醒您:
根据您的详细病史、症状和体格检查,以及影像学的辅助检查,椎管狭窄其实并不难诊断。往往耽误您病情的,是平时生活中对身体出现不适症状等“警示信号”的不重视。
同时需要注意,不是所有腰痛及下肢疼痛麻木都是由椎管狭窄症引起的。腰椎间盘突出症、椎管内肿瘤、静脉血栓、感染等疾病也可能引起腰腿痛、麻木症状。所以当您有以上不适症状的时候还是需要尽早地就诊,明确病因,对症治疗,早日解除病痛。

审稿专家

赵杰
赵杰, 主任医师,博导;上海交通大学医学院附属第九人民医院骨科主任,入选2020年上海领军人才。承担国家自然科学基金(重点项目、面上项目)、国家重点研发计划重点专项(课题)、上海市级基金等多项科研项目。
专业擅长:
颈椎病、腰椎间盘突出症、腰椎管狭窄症、腰椎滑脱症,脊柱结核、化脓性脊柱炎等脊柱感染,脊柱畸形等复杂脊柱疾病的诊疗。
社会任职:
中华医学会骨科学分会委员会委员、中国医师协会骨科医师分会常务委员、中华预防医学会脊柱疾病预防与控制专业委员会常委、上海市医学会骨科专科分会副主任委员、上海医师协会骨科医师分会副会长等。
专家门诊时间:
周一上午(特需门诊,上海市瞿溪路500号上海九院南院新门诊楼2楼)
周四下午(专家门诊,上海市瞿溪路500号上海九院南院新门诊楼3楼)
周四上午(专家门诊,上海市宝山区漠河路280号上海九院北院)
审稿专家

马辉
马辉, 主任医师,拥有骨科和康复医学专业双资格证书,上海市卫生计生工作先进个人,国家执业医师实践技能考试考官。曾于美国维克森林大学脊柱外科中心学习,主攻脊柱外科微创手术治疗。
社会任职:
上海市医学会骨科专科分会脊柱学组秘书、上海市康复医学会骨科康复专委会副主任委员及青年学组组长、上海市中西医结合学会骨科 微创 专委会委员、中国医师协会骨科医师分会脊柱疼痛专委会委员等。
专业擅长:
腰椎间盘突出症、腰椎管狭窄症、腰椎滑脱症、颈椎病的微创及开放手术治疗;脊柱骨折、脊髓损伤等创伤疾病的治疗。
门诊信息:
周一上午、周四下午,(专家门诊,上海市宝山区漠河路280号上海九院北院)
周二上午(专家门诊,上海市瞿溪路500号上海九院南院新门诊楼3楼)
作者介绍

张凯
张凯, 博士,主治医师,师从著名脊柱外科专家赵杰教授。主持国家自然科学基金青年项目1项,作为骨干参与国家自然科学基金重点项目/面上项目等多项课题。
专业擅长: 腰椎狭窄症、腰椎间盘突出症、颈椎病等脊柱疾病的微创诊疗,骨科关节、创伤等常见疾病的诊疗。
学术任职: 中国研究型医院学会神经再生与修复专业委员会脊柱退行性变与神经保护学组委员;上海市康复医学会第三届脊柱脊髓损伤专业委员会青年委员。
门诊信息:
周一下午(脊柱术后专科门诊,上海市瞿溪路500号上海九院南院新门诊楼3楼)
END
- 声明:本文未经授权谢绝转载。
- 图片源自网络,如涉及版权问题请联系我们。
- 文章仅供参考和学习分享,一切视患者自身情况和以专业医生诊断治疗为准。