今天,小编给大家带来一个病例分享,病例中的猫咪是一只1岁9个月的雌性布偶猫,体重3kg。

【主述】 18号生完小猫,当时吃得不多,到21号什么都不爱吃,喝水喝的,尿垫上发现流了很多白色分泌物,于21号前来就诊。
【现病史】
阴部有乳白色带红分泌物 。
【既往病史】无既往病史
【一般体格检查】
体温:40.3℃
心率:180次/分钟
呼吸:35次/分钟
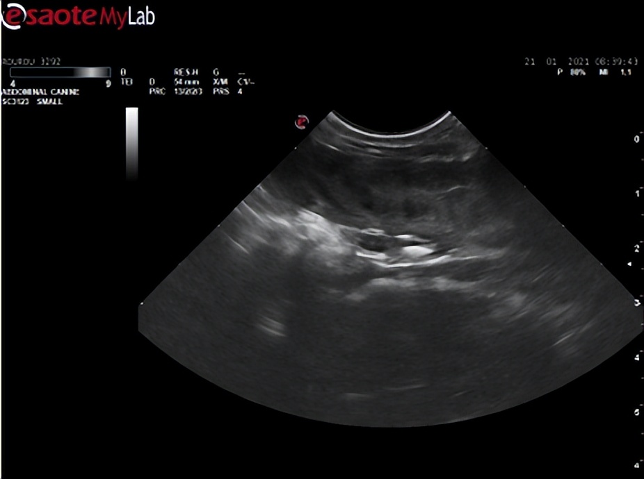
【超声检查】

超声检查,子宫内回声不均匀,有少量液性暗区不规则分布。
【宠物治疗前后对比】
治疗前

治疗后

【治疗过程】
抗生素搭配 益可舒
第一天,皮下注射速诺针剂0.3ml 早晚口服 益可舒1包
第二天,皮下注射速诺针剂0.3ml 早晚口服 益可舒1包
吃完药后下面分泌物明显减少,精神食欲恢复
第三天,皮下注射速诺针剂0.3ml 早晚口服 益可舒1包
后面抗生素停用,每日口服 益可舒一周后猫咪一些正常。阴部未见分泌物


【初步诊断】 恶露不尽
【最后诊断】 子宫内膜炎
【治疗方案】 抗生素搭配 益可舒中西医结合,宠物还在哺乳期,不宜长期注射抗生素,前期先抗生素于益可舒搭配着使用,好转之后再多吃一段时间益可舒巩固
【临床病例治疗方案跟踪】
7天后:治疗后电话回访猫咪一些正常,口服药饲喂正常,猫咪接受度良好。