许多口腔疾病患者对看牙心理上存在“三怕”:怕疼、怕交叉感染、怕疗效不理想。想挽救自己的坏牙,却一直没有勇气去听牙科诊室高速涡轮机的转动声。想为自己的牙齿锦上添花,却又担心遇到“交叉感染”反而招来大堆麻烦……而这些,在临夏州人民医院口腔科不再是“问题”。
口腔科业务范围及诊疗特色:
一、口腔内科方面:常规开展牙体牙髓病、牙周病、粘膜病、儿童牙病的治疗及光固化美容修复、牙周病手术治疗及牙周病松动牙固定术等。近年来新开展了热牙胶垂直加压充填技术,使根管治疗工作更加规范,极大地提高了患牙保存率。进一步加强了老年牙病和儿童牙病的治疗工作。将口腔新技术、新理念、新材料应用于临床工作中,同时做好牙病宣教工作,使广大口腔疾病患者得到更加规范和人性化的服务。

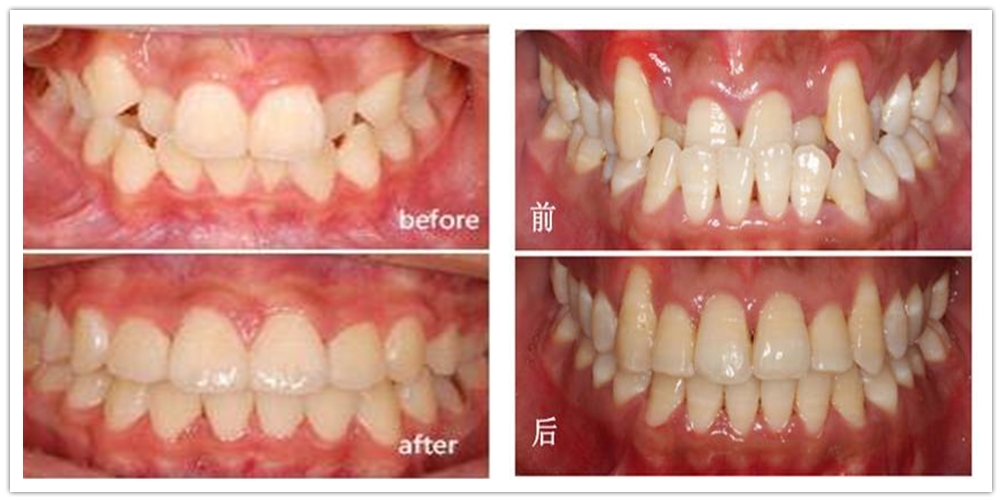
二、口腔正畸:不断提高、完善各种矫治方法(预防矫治、阻断矫治、一般矫治)和矫治器(固定矫治器、活动矫治器、功能性矫治器)的使用。特别是“微种植支抗技术”工作开展以来,极大地缩短了整牙疗程,提高了正畸治疗效果。

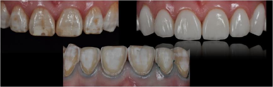
三、口腔修复:开展全瓷牙、烤瓷牙、瓷贴面、嵌体、桩核冠修复治疗、种植牙、局部活动义齿、全口义齿、咬合重建、精密附着体等修复技术,使我院义齿的功能性、美容性修复工作取得了满意的临床效果。精密附着体修复技术、种植牙技术的开展,满足了不同层次的口腔医疗需求,使修复治疗工作提到一个新层次。

贴面修复前后对比


种植牙术前术后
四、口腔颌面外科:常规开展阻生牙、埋伏牙拔除术,自体牙再植及移植术,颌面部血管瘤平阳霉素注射术,唇腭裂修补术,腮腺、颌下腺、舌下腺摘除术,颌面部间隙感染脓肿切开引流术、颌骨骨折切开复位内固定术等。另外承担着我州口腔颌面外科急诊、急救工作,成功就诊了很多颌面部创伤患者。自2008年起,我院被“国际微笑列车”和“国际微笑行动”定为唇腭裂修复的定点医院。

为了保障医疗质量和医疗安全,在工作中严格执行《医疗机构口腔诊疗器械消毒技术操作规范》,预防和控制因口腔诊疗器械消毒问题导致的医院感染和医源性感染。
我们的团队:
临夏州人民医院口腔科是集医疗、教学、科研、预防为一体的口腔疾病治疗中心。现有医护人员19人,副主任医师4人,主治医师2人,住院医师5人,医生助理5人,护士3人。编制床位10张。设有口腔内科、口腔颌面外科、口腔修复科,口腔正畸科等专业亚科。拥有口腔综合治疗台14台,数字化CBCT,全景X光机,牙片机各1台,种植机1台,德国VDW根管马达3台。近年来全科共发表学术论文20余篇,先后发表于国家级及省级刊物。2004年由刘志寿同志主持的《坚强内固定技术治疗颌面部骨折的临床应用》获州科技进步一等奖,2011年由刘志寿主持的《单侧完全性唇裂修复术改良方法的临床应用研究》获州科技进步三等奖,2016年由刘志寿主持的《CBCT在儿童上颌前牙区埋伏多生牙定位中的临床应用研究》通过省州专家鉴。2003-2017口腔科连续被甘肃省团委表彰为“青年文明号”。2013年和2015年参加由省卫计委主办的“省卫生技能口腔行业的技能大赛”,乔长河、陈贵霞、他光朝、马晓晴获得三等奖及优胜奖。

为更好地发挥口腔科在我州口腔卫生事业中的龙头作用,我们将不断提高医疗技术水平,狠抓医疗质量及服务理念工作,坚持“以病人为中心,以质量为核心”的原则,严把质量关。以三级甲等医院要求为标准,将口腔新技术、新理念、新材料应用于临床工作中,做好牙病宣教工作,使广大口腔疾病患者得到更加规范和人性化的服务和治疗。
供稿:口腔科 摄影:口腔科
审核:医务科 发布:信息科