常看我的朋友都知道,贴面在我修复的案例中出现的频率是很高的,它的确能解决不少问题,如牙齿缺损、牙齿染/变色、牙形态/排列异常、以及牙间隙增大和轻度的中线偏移,是微创和高效的牙齿美容方式。

贴面为什么那么贵?
常见贴面种类,根据材料可以分为:树脂贴面和瓷贴面;根据完成方式可以分为:直接贴面和间接贴面。
直接贴面修复没有取模这一步,牙医直接在口内操作,牙体处理后,涂粘接剂或遮色剂,覆盖复合树脂,最后修形、抛光就能完成。但由于口内操作十分受限,贴面的边缘外形和表面质地都很难达到原生牙的自然状态。
如果有取模这一步,那结果就完全不一样了,牙医可以像打造艺术品一般精心计算雕琢,最后获得和原生牙相似度99%(我吹牛的)的贴面。

贴面是按颗收费的,但很难用具体统一的收费标准去衡量,千元以内,万元以上都有可能。除了本身材料的成本,与模型制作技师,以及专业医生的设计与操作,甚至使用的装备也有关。
树脂贴面相对瓷贴面来说更便宜,直接贴面这种方式多采用树脂贴面,如果经济较为困难,希望进行美学修复的愿望又比较强烈,也可考虑此种方式。
瓷贴面到底哪种好?
目前来讲,瓷里面还分为:
全瓷贴面
特点:薄,最能重现牙釉质的光泽和通透感。最微创,操作精度要求最高;需精密粘接于牙体上才能得到最佳强度和耐久性。
市场价格参考:3k-10k/颗

铸瓷贴面
特点:需要有一个全瓷基底,再在上面烤上烤瓷,比较厚,但是,适合于恢复长度,比其它贴面有强度。
市场价格参考:2k-5k/颗

CAD/CAM贴面
特点:也是全瓷的,但是是一体切割出来的,计算机切的,有精确的好处,但略缺少烤瓷贴面的通透感。
市场价格参考:4k-9k/颗
高强度树脂贴面
特点:树脂里面加了瓷颗粒的高强度树脂贴面,比如3M的优韧瓷,强度和透光性没有瓷好,但优点在于万一崩掉,容易补。
市场价格参考:4k-9k/颗
不适合贴面修复的4种情况
贴面虽然在美学修复中使用频率高,但也有不宜选用贴面修复的情况,总结为以下4种情况:
1、严重的错位牙(牙齿不齐,先问正畸)
2、骨性前突(就是看起来凸的除了牙原因,还有颌骨发育过突的原因)
3、严重磨损但没有空间(勉强贴上去,也会很快咬碎)
4、牙间隙过大、中线过度偏移、牙列严重拥挤排列不齐等。(超过贴面微创的要求和能力)

最后特别想讲的是,如果在朋友圈微博看到的那种所谓的5D、6D纳米炫齿浮雕,冰瓷美牙之类的贴面,请注意,都是不专业的!!! 应该都是一些没资质的美容院黑诊所和工作室在做,像这样:

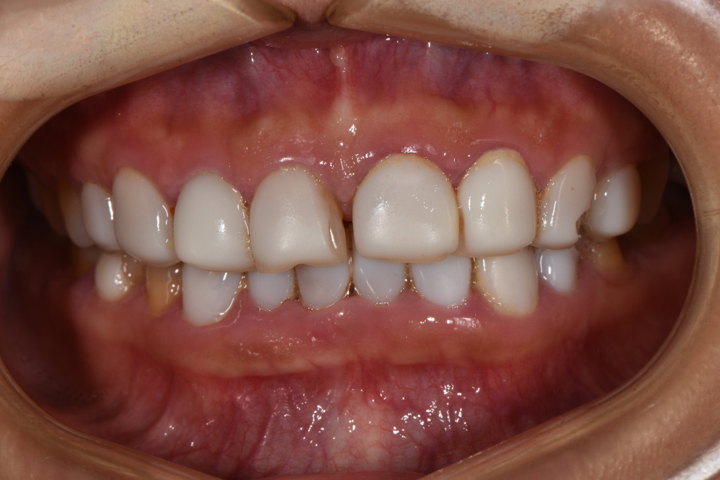
她们像做美甲一样,把流动树脂片,或者成品树脂片贴上去,因为属于直接法制作,没有取模型这一步,所以对于牙龈边缘的形态都没有处理好,很快容易引起牙龈红肿,贴片脱落各种问题。
另一方面美观度也会欠缺,泛着不正常的死亡马桶白不说,连牙缝隙都透着一股廉价的塑料感,更别提什么个性化保留。

美容院5D树脂贴面老化后,一年就泛黄变色,刺激牙龈,还有局部剥脱。
美容院5D树脂贴面老化后,一年就泛黄变色,刺激牙龈,还有局部剥脱。
我是蔡亚龙医生,有任何口腔上面的问题,大家都可以来到我的头条下方私信,我会为大家一一解答。
