半月板钙化
- 半月板钙化偶尔可见。
- 可能与各种病因的软骨钙质沉着症有关。
- 通常由CPPD(焦磷酸钙二水合物)组成。
- 钙化的半月板更容易退化和撕裂。
- MRI可能显示代表钙化的半月板内高信号(图7.38)。

图7.38半月板钙化。60多岁的男性。(a)前后位x光片和(b,c ) PDWI。关节间隙可见双侧钙化(箭头a)。MRI显示内侧半月板后段的退化性撕裂(箭头,b)和外侧半月板的前段撕裂(箭头c)
游离体(Ossicles)
- 半月板骨化在人类中很少见(常见于啮齿动物如大鼠)。
- 常见于内侧半月板的后角。
- 在男性中更常见。
- 在X线照片上,它可能被误认为是一个游离体。
- 如果骨化变得足够大,可能会出现周围信号空洞(代表骨皮质)和来自脂肪骨髓的内部脂肪信号(图7.39)。

图7.39半月板骨化。一个40多岁的男性。(a ) PDWI,(b)冠状T2*WI,以及(c)常规X线照片。内侧半月板后角有骨化,包括脂肪骨髓(箭头)
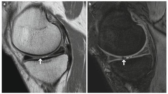
真空现象
- 关节间隙内的少量气体通常是医源性的(例如,关节镜检查和关节穿刺术)。
- 当气体分子(如溶解在关节液中的氮气)由于对半月板的负压而变成气态时,就会产生半月板内气体。这是一种类似于椎间盘中真空现象的机制。
- 可见于患有疼痛的年轻人和运动员,但关节镜检查不会产生病理结果。
- 在MRI上,它被视为半月板内的线性信号空洞。该信号空白区域在梯度回波序列中变大(易受磁场均匀性的影响),并造成图像伪影和失真(图7.40)。

图7.40真空现象。一个70多岁的男性。(a ) PDWI和(b ) T2*WI。在内侧半月板前段的游离缘附近,存在看起来像虚线的离散信号空隙(箭头)。这在梯度回波序列(b)中更为明显。