美国黑人弗洛伊德被警察跪颈致死,跟年轻人因前倾阻生智齿侵袭邻牙造成的归宿有着太多的相似之处。智齿的科普我曾写过多次,今天,我希望这篇文章能够彻底提高一些年轻人的觉悟,长智齿的小伙伴们,真该警醒了!

颈部,是人体结构中最脆弱和敏感的部位之一。同样,牙颈部也是牙齿结构中最薄弱的环节,牙颈部在解剖学上位于牙冠与牙根的连接区,在口腔内即牙齿与牙龈交界处。为什么牙颈部为薄弱区?因为这个部位牙釉质移行为牙骨质,不仅厚度减小了,而且牙骨质抗龋能力直线下降。

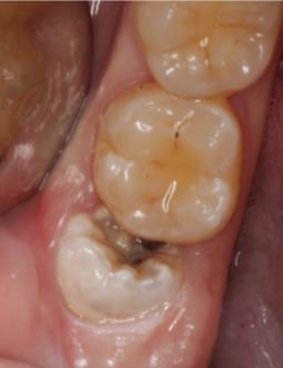
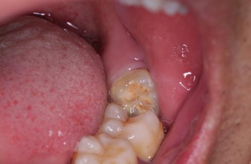
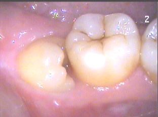
前倾阻生智齿,它的牙冠向前倾倒,直抵邻牙颈部,无论在口腔内还是X线片上都很直观,在形态上,跟警察跪压在黑人颈部非常相似,而且造成的后果也基本相同。






前倾智齿与邻牙形成一个敞开的间隙,经常会残留食物残渣,并且属于刷牙难以清理的死角,因此在邻牙邻面极易沉积菌斑,时间稍长即可形成邻面龋,龋损一旦攻破薄弱的牙骨质进入牙本质,邻牙即进入快速崩解毁灭期,于是产生临床上常见的“拔一送一”现象。

但是,“拔一送一”还不算是智齿最常见的现象,真正最常见的是什么呢?那就是,智齿顶坏了邻牙,它自己却没有大碍,就如同美国警察跪杀了黑人,他自己却并没有因杀人罪而判刑一样。
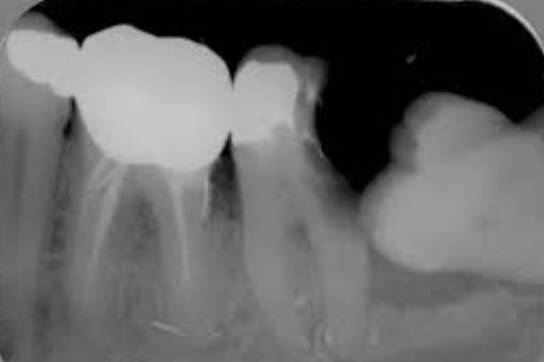
智齿顶坏了邻牙,一般都是因为疼痛剧烈而就诊,不是智齿痛而是邻牙痛,一般需要X线片进行确诊。临床根据邻牙龋损的深度,多半都是进行根管治疗或者拔除邻牙,但智齿本身大多是不治也不拔的,说实话,它真的像美国警察。
智齿顶着邻牙颈部的状况,是阻生智齿中产生危害最多的一种,临床上还有很多阻生智齿类型,前倾智齿冠部如果继续下倾,抵住牙颈部以下甚至牙根部位,乃至智齿全部埋伏在下颌骨内,那么产生危害不可预见,远不比肉眼可见的前倾智齿那么普遍。前倾智齿邻牙颈部菌斑导致龋坏是极大概率事件,而骨埋伏智齿只是可能形成“含牙囊肿”,或者因向前的生长潜力导致邻牙根破坏,它不存在菌斑因素,所以破坏没有那么直接,只能说风险客观存在,并且没有任何医生可以预测。
最后,回到重点,关于前倾阻生智齿,最佳的应对方案是什么呢?除了少数特例可因正畸需求而予以“扶正”以外,绝大多数前倾智齿,只要一发现,早期果断拔除是明智的选择,要尽量在其邻牙受损之前解决,切不可置之不理,任其野蛮生长,那相当于给它一片酝酿和蓄积破坏力的土壤,这种破坏力随着时间的延续将越来越深刻,越来越顽固,越来越难以改变。
如同美国黑人事件,要想得到根治,就必须从警察系统开始,并不是说把警察像智齿一样拔除掉,而是从系统根源开始整治,把种族歧视的根基进行彻底扭转,否则,还会有一个又一个弗洛伊德被跪颈陨命,就如同还会有无数的前倾智齿会扼杀无辜的邻牙一样。
没错,长智齿的小伙伴们,请务必认清前倾智齿“跪颈”这种说不出的痛,还有无法容忍的伤害!那么,请早日从源头治起,拔掉智齿。切记!
健康的口腔需要用心去呵护,安宁的社会需要真诚来维护。