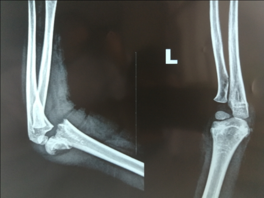
儿童肘关节附近是骨折的多发地方。近日我们科室骨科治疗组赵大夫进行了2例肱骨髁上骨折微创手术,感觉不错。
例一:肱骨髁上闭合复位,外固定。几乎解剖对位




例二:闭合复位,经皮穿针固定



中远期情况继续报导。
坚持:精准微创,无痛无痕
让儿童健康快乐
#平原医声#
儿童肘关节附近是骨折的多发地方。近日我们科室骨科治疗组赵大夫进行了2例肱骨髁上骨折微创手术,感觉不错。
例一:肱骨髁上闭合复位,外固定。几乎解剖对位




例二:闭合复位,经皮穿针固定



中远期情况继续报导。
坚持:精准微创,无痛无痕
让儿童健康快乐
#平原医声#