癫痫是大脑神经元突发性异常放电,导致短暂的大脑功能障碍的一种慢性疾病。癫痫发作毫无预告,并具有反复性,随时随地都可能出现昏倒在地,四肢抽搐,两眼上翻,口吐涎沫,小便*禁失**,瞳孔放大等症状,对于儿童来讲,频繁的癫痫发作还会造成智力损伤、发育迟滞等。
8岁男孩,8年“癫痫”之苦,医生看遍依然无解!
来自西双版纳的8岁男孩东东,约9个月大时,无明显诱因反复出现发作性意识丧失、四肢僵硬、抽搐等症状,每次持续几秒至几十秒不等,到当地医院就诊,治疗了一段时间,但并没有明确是什么病。
随着东东年龄的增长,他的病情变得越来越复杂,语言发育异常,迟迟不能开口说话,智力似乎也比同龄的小孩低,虽然能行走,但是左侧身体有偏瘫,医生说可能生产缺氧造成一定的脑损伤。
为了治病,他们几乎尝试了所有的方法,西医不行、就开始尝试中医、康复治疗,甚至偏方也不曾放过,遗憾的是他们辗转求医,所能打听了解到的方法用尽,医生看遍,孩子也没有好转,甚至病情还在不断恶化。
治疗过程中,东东的妈妈明显感觉到孩子智力越来越低,小的时候跟他说话虽不会应答,但至少有反应。到现在,别说是外人,就是东东的父母与他都已经完全无法进行沟通。
癫痫,不仅打乱了东东的人生轨迹,让他无法正常的生活,整个家庭也都笼罩在阴影之中,承受巨大的压力。
8年后,精准个体化治疗,半球离断术为其除病魔!
经病友介绍说昆明三博脑科医院有北京的专家专门在这边工作,能手术治疗,可以去试试。
抱着最后一丝希望,东东一家来到我们医院就诊。
入院后,我对东东的既往病史、治疗情况等进行了详细地了解,初步诊断为1、症状性癫痫;2、右侧大脑软化灶、脑萎缩;3、精神发育迟滞、4、左侧偏瘫。
:“癫痫长期频繁发作对孩子的脑功能、智力损伤很大,不但孩子抽搐的时候会引起大脑缺氧与损伤,不发作的时候也会有大量的癫痫放电,放电越频繁,对大脑损伤越严重,制定治疗方案,主要要考虑两个方向,一是重点对癫痫发作本身的控制,二是对孩子脑功能的保护。”
目前,正规的抗癫痫药物已经无法控制癫痫发作,成为药物难治性癫痫,只能寻找外科治疗,癫痫外科治疗包括切除手术、神经调控和姑息性手术。
根据东东的情况、完善影像学检查、电生理评估等相关检查后,我们经过认真研究分析,为东东制定了“右额顶开颅大脑半球离断术”治疗方案,以期达到控制癫痫发作,保护孩子大脑功能,避免继续造成不可逆的损伤。
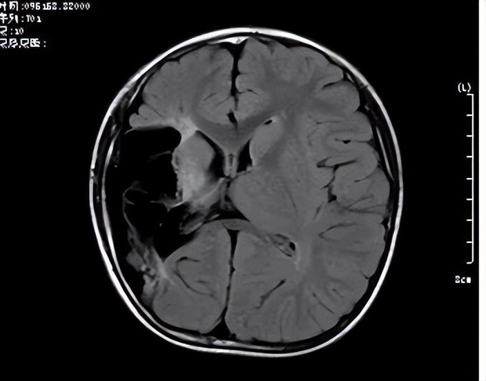
:“头部核磁提示孩子右侧大脑软化灶、脑萎缩,结合脑电图,癫痫样放电也全在右侧大脑,纤维束成像结果显示右侧纤维束明显减少,那么选择右额顶开颅大脑半球离断术,右侧大脑功能部分被左侧代偿,对功能影响不大,又能控制住癫痫发作,这也是难治性癫痫的有效方法。”
术前检查

手术由我主刀,一病区、电生理监测等多学科的配合下,共用3小时50分钟顺利完成手术。
术后,东东癫痫没有再发作,正在逐渐康复。
医生提醒:儿童癫痫发作影响智力,发现要早干预!
大脑半球离断手术,是对致痫灶集中在某一侧大脑半球,另外一侧功能完好的这部分癫痫患儿比较适合的一种手术方式。通过离断,将病变部位孤立成“岛”,隔绝在外,让剩余正常的脑组织发挥正常的作用。
该类手术,通常患儿年龄越小越好,因为患儿年龄越小,脑组织各区域功能区还未固定下来,可以通过后期脑组织代偿恢复部分功能,通过康复治疗,肢体活动可达到或接近术前水平。
就如前文提到的,尽管手术顺利,很好的控制住癫痫的发作,东东依然因为手术时间晚,智力、肢体活动的损害只能靠术后的康复训练一点点的找回。
提醒大家:“婴幼儿癫痫患者,应根据情况到正规医院就诊,一旦确诊应尽快手术,越早手术效果越好,能防止周围正常脑组织发生不可逆损害,防止智力进一步衰退,特别是12岁以下儿童,大脑组织未完全发育成熟,可塑性较强,当一半功能受损后,另一半脑组织会在发育中发挥代偿作用,功能代偿性转移,治疗效果及功能恢复会比较好,如果能在3-6岁以下完成半球离断手术,将会达到最好的功能恢复效果。”
免责声明:
本文部分资料来源于网络,如有侵权,请联系编辑删除。
文章目的是提供一般的健康科普信息,仅供参考,不能代替个人医学诊断和治疗,个人的医学问题请到院咨询医生。