供稿:西安交通大学第一附属医院
通讯员:杨静 刘倩
71岁老人,确诊为主动脉瓣重度关闭不全、二尖瓣重度关闭不全,全心衰竭、重度肺动脉高压、持续房颤伴长R-R间期(心室率32次/分)、肝功能不全、肾功能不全、下肢静脉血栓、冠心病、高血压病......
一串串的诊断,个个都是致命性疾病,牵一发而动全身!
“高龄”、“高风险”和“多学科疾病”并存,做不做外科手术?
做:年龄大、体质弱、基础病多,手术风险高;
不做:保守治疗不能解决根本问题,病情发展前途堪忧,可能最终心衰不治。
该如何选择?
近日,西安交大一附院专家团队用西北首例、全球第14例的高难度经心尖“TMVR+TAVR”手术的成功,见证了生命的奇迹。
古稀之年,两“心脏阀门”坏了
2021年3月13日,71岁的陶阿婆被推进了手术室,这是她人生面临的第二次心脏手术。
11年前,陶阿婆因为“风湿性心脏瓣膜病、二尖瓣关闭不全”在外院行“二尖瓣生物瓣置换术”。手术很成功,术后的陶阿婆谨遵医嘱,定期复查,适当锻炼,尽情享受着美好的生活。
2018年初,陶阿婆间断出现胸闷气短,双下肢水肿、消瘦等心衰症状,肺动脉压力也随之越来越高,多次住院治疗效果不佳。
一个月前,症状加重,呼吸费力,不能平躺、腹水、少尿,利尿药效果甚微。家人辗转多地就医,心脏超声提示之前置换的生物二尖瓣已严重衰败,建议手术。孝顺的女儿看着母亲日渐衰弱的身体,曾考虑过“搏一次”,请医生为其进行二次外科开胸手术,但阿婆已年逾古稀,体质弱、心功能差、手术风险太大。
3月8日,阿婆和女儿慕名来到交大一附院结构性心脏病科范粉灵教授的门诊。刚到科室陶阿婆浑身无力,连坐起来都困难。
范粉灵教授充分检查评估,目前阿婆二尖瓣、主动脉瓣、三尖瓣均大量返流,同时合并肺动脉高压(106mmHg)、慢性肝肾功能不全、心源性恶液质、多浆膜腔积液、心室率很慢、常规药物治疗已很难治疗,必须先调整心肺功能,病情稍好转,尽快手术,否则将引起重度心力衰竭,危及生命。
听了范教授的意见,陶阿婆泪眼婆娑地说:“医生,我这么大年纪了,体质又差,经不住二次开胸呀,况且这次还要换两个‘阀门’,我怕我下不来手术台。”闻言,范粉灵教授立即组织了一次MDT会诊,请心血管外科闫炀、郑建杰教授及专家团队进行讨论。

攻坚克难,多次模拟实验,大胆确定手术方案
由于陶阿婆病情特殊,专家团队仔细分析、多次体外模型模拟实验、反复讨论后,决定为其施行目前最先进的“经心尖介入人工二尖瓣(TMVR)+ 主动脉瓣(AMVR)置入术”。
通俗讲就是在心尖上扎个小孔,将新的瓣膜输送到指定位置释放,即可完成心脏瓣膜置换。
与传统的开胸换瓣手术相比,对于高风险或不适合进行开胸手术的终末期心脏瓣膜病患者来说,该技术具有不开胸、创伤小、无需体外循环、无需心脏停跳、恢复快等优点。但困难在于:患者肺动脉压力高、心衰,且极度虚弱、远不能满足心脏大手术要求的心肺条件,加之合并慢性肾功能不全,不适合行心脏、大血管CTA等术前评估检查。
经3D打印心脏模型,同时发现该手术存在以下难点:
1.已衰败的二尖瓣生物瓣位置不佳,如果再植入新的介入瓣膜,可能引起左室流出道梗阻,导致心衰;
2.患者主动脉瓣与二尖瓣夹角较小,同期植入介入瓣膜之间可能出现相互干扰,影响瓣膜功能;
3.患者心尖水肿、且薄,心尖荷包缝合要求高,稍有不慎,会伤及冠脉或造成心肌破裂;
4.双瓣置换,本身就是一个高难度,高风险的手术。困难重重,任何一个细节稍有不慎,都将导致手术失败,甚至患者死亡!
多学科合作,再现精湛技术
针对陶阿婆病情的复杂性,医院专门成立了由心血管外科、心血管内科、结构性心脏病科、麻醉手术部、心超室、放射科以及体外循环、介入手术室等多学科十余位专家组成的介入心脏手术团队。结构性心脏病科范粉灵教授细致评估、精准施治,及时调整患者的心肺功能,为手术的顺利开展奠定了坚实的基础。经过前期精心治疗,陶阿婆感觉比之前状态好了很多,对手术更有信心,进手术室前她说:“我现在感觉好多了,我相信我一定能扛过来,谢谢范教授,谢谢闫教授,我的命就交给你们了”。
3月13日,9:00,带着这份信任陶奶奶被推进了手术室。
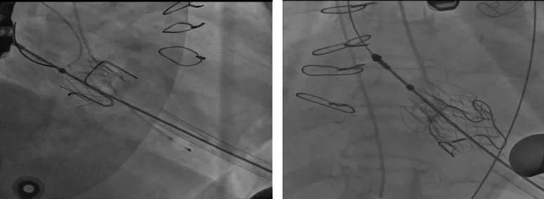
9:30,手术开始,在起搏器保驾护航下,在超声引导下,经左胸心尖切口,由于患者二次手术,加上长期心衰、组织水肿,心包粘连严重,心肌薄,解剖难度大,郑建杰教授与姜益医生精准配合,成功分离组织,在X-线透视下释放定位键,于原生物瓣膜支架凹槽“镶嵌”、释放,几乎一瞬间完成了“25mm 二尖瓣瓣中瓣换瓣”操作。
10:00,进行主动脉瓣置换。导丝避开二尖瓣瓣下腱索及周围定位键,因患者主动脉窦管交界只有28mm,故选择主动脉窦内释放定位键,最大限度将瓣膜降入左室流出道,超声、X-线定位,下拉释放瓣膜,观察位置合适无移位。手术结束,二尖瓣植入仅用时15分钟,主动脉瓣植入耗时18分钟,33分钟创造生命的奇迹。术中出血少、无传导阻滞、无流出道梗阻,生命体征平稳。术后超声显示瓣膜反流消失,新植入的瓣膜运行良好,流速正常。

术后陶阿婆被送入心血管外科ICU,当日13:40,陶阿婆清醒,四肢肌力均可,生命体征平稳,18:00,顺利拔除气管插管,应用双鼻塞给氧。目前陶奶奶恢复良好,可自主进食,辅助床边活动。迎来了重获“心”生的又一个人生新阶段。

依靠过硬技术,心外科屡创辉煌
伴随着心脏微创技术的发展,近年来,交大一附院心血管外科不断突破,精益求精,以病人生命及健康为中心,敢想,实干,先后成功完成多例复杂TAVR/TMVR手术,包括:最大年龄82岁老教授TMVI、主动脉瓣四叶畸形TAVR、复杂经心尖TMVR等。此次高难度经心尖主动脉瓣及二尖瓣双瓣膜置换手术的成功实施,打破常规,突破多个手术禁区,为高龄危重心脏瓣膜病患者带来“心”的希望,开创了西北地区心脏外科介入治疗的新纪元。

#医师报超能团##超能健康团##健康科普排位赛#