近日,超声(介入)科成功为一名胃癌伴肝多发转移瘤患者成功施行转移灶微波消融术,术中利用超声造影精准定位导航,术后显示所有转移灶均已完全灭活,患者顺利出院。
近年来,胃肠道肿瘤的发病率逐年上升,据权威机构统计,2020年胃肠道肿瘤发病率占肿瘤疾病第三位,伴肝转移的患者约占50%,而发生肝转移的患者生存期明显低于未发生肝转移的患者。因此,根据国际及国内权威的NCCN、ESMO及中国临床肿瘤学会(CSCO)指南,对于胃肠道肿瘤合并肝转移患者建议进行MDT模式,提出以患者为中心,建立多学科诊疗模式,精确全面评估病情,制定个性化综合治疗方案,提高患者生存期。
57岁的杜女士在一年前的胃镜及肝脏CT的检查中确诊了胃癌伴肝多发转移瘤,瘤体最大直径达10cm,无法进行根治性手术。经当地医院会诊后,杜女士随后逐步进行规范化疗。一年后,她的胃镜及腹部影像学检查显示化疗效果显著,原发灶及肝转移灶明显缩小且减少,转移灶最大直径约3cm。患者几经辗转,慕名来到我院胃肠外科,希望进行手术治疗,延长生存期。

化疗前MRI图像显示巨大及多发肝转移灶
化疗后MRI图像显示病灶明显减小
考虑到患者病情复杂,我院组织了MDT多学科诊疗,由胃肠外科、消化道肿瘤科、病理科、放射科及超声(介入)科参与本次讨论。讨论指出,经过系统规范的化疗后,患者原发肿瘤明显缩小,可以进行原位肿瘤根治术;针对近肝表面的转移癌可以进行肝部分切除术,然而对于肝脏深部的转移灶,传统的外科切除创伤较大,并且容易出现肝脏衰竭等严重并发症致患者死亡,因此建议术中联合超声引导下进行肝转移灶微波消融治疗,以达到原位灭活肿瘤的目的。
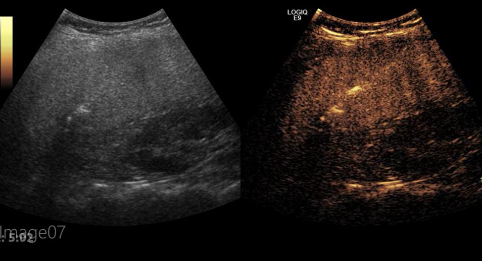
经过系统性化疗后的患者,肝转移灶减少及缩小,对于患者来说是个福音,但是对于超声介入的医生来说是个难题,因为化疗后转移灶明显萎缩,边界模糊,有的甚至在普通超声条件下与周围正常的肝组织表现相近,无法清晰的辨认肿瘤具体位置和范围,对于精准治疗是一个不小的挑战。因此超声介入组进行充分的术前讨论后,对患者进行了超声造影检查,超声造影作为血池示踪剂,能够精确而敏感地追踪肝转移灶,精确评估肝转移灶的数量、位置、范围,为术中提供精确定位及引导。

术前超声造影精确评估肝转移灶的数量、位置及范围
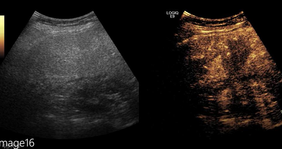
然而普通造影剂显影时间仅有3-5分钟,对于肝脏多发性病变的消融治疗,显影时间显然是不够用的,术中不但要看得准,而且还要看得远,因此超声介入组选择了肝脏特异性造影剂,利用其特有的肝脏kuffer期(肝细胞期),可以实现对转移性病灶长达30分钟的显影,使得整个手术过程都在清晰的造影显影下进行。

在肝脏特异性造影模式下行术中肝脏多发转移灶微波消融术
手术方案制定后,由胃肠外1科任双义主任及张新生副主任主刀,先进行3D腹腔镜远端胃切除术、肝边缘肿物部分切除术,随后超声(介入)科宋宇副主任上台,在肝脏特异性造影模式下进行肝脏左右叶多发深部转移灶微波消融术,术后复查造影显示,所有转移灶均已完全灭活,达到无瘤生存。手术共历时四个半小时,两周后,患者恢复良好,顺利出院。

术后超声造影显示消融区均呈无增强,提示病灶完全坏死

术中超声介入团队与外科团队配合