
▌作 者:李 岩 西京医院骨科
这是一例采用骨段滑移修复长骨节段骨缺损的成功病例,对于长骨节段骨缺损,治疗方法有那几种?手术时应重视哪些问题?出现问题时要怎么解决?通过李岩医师经典病例,结合刘建、袁志、庄严、赵广跃等专家精彩点评,这些疑问迎刃而解。
1. 患者信息
王某,女,20岁,车祸致左胫腓骨中上段开放骨折,外院多次手术后行走困难1年。

2. 专科查体
扶双拐行走,左小腿短缩,大片贴骨瘢痕,中上段明显异常动度,膝关节屈曲受限10~75度,肌力感觉无明显减弱。
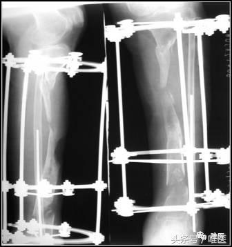
3. X线片示
左胫骨中上段节段性骨缺损,断端骨质长节段萎缩,骨质硬化。

4. 讨论问题
临床诊断?手术方案?
5. 临床诊断
左胫骨中上段节段性骨缺损
6. 手术方案
一期:左胫骨全环外架固定,远端截骨,术后骨段逐渐滑移,克服骨缺损。

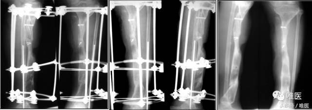
二期:一期术后6个月,两骨断端逐渐靠近、重叠到位后,再行左胫骨中上段断端修整、重叠对合,髂骨植骨螺钉固定,继续外架保护固定。

7. 术后随访
二期术后12月:骨缺损完全修复,外架拆除后。

二期术后12月:功能恢复良好

【作者对于长骨节段性骨缺损的治疗体会】
-
外架骨段搬移是一种较理想方法。
-
重视断端处理:认真修整断面,使其密实、直接对合。
-
强调断端间植骨。
-
必要时改善周围软组织床的血供。
-
合理的功能锻炼:逐渐积极负重,增加断端间有效应力。
【点评专家】
刘建、袁志、庄严、赵广跃
【记录整理】
袁志、罗鸣
【点评要点】
这是一例采用骨段滑移修复长骨节段骨缺损的成功病例。对于长骨节段骨缺损,治疗方法主要有三种:
(1)大段骨段移植
-
对于节段骨缺损,常规大段植骨是很难愈合的。
-
常常需要带血循骨段植骨,吻合血管的游离腓骨移植是最常采用的方法。但缺点是腓骨较细,在受区愈合后,往往达不到负重支撑的力学要求。
-
赵广跃教授改良的“三节棍”吻合血管腓骨游离移植,将腓骨截成等长三段,但保持骨膜血循相连,将其并联重叠移植到受区,很好地解决这个问题。但这需要非常高的显微技术,在基层难以普遍开展。
(2)一期短缩固定,一期或二期肢体截骨延长
-
多用于骨不连或小节段骨缺损的治疗。
-
当短缩过多时,要注意神经、血管及软组织局部折叠、堆积的问题。
-
要承受腓骨截断的付损伤。
(3)骨段搬移
-
是治疗节段骨缺损较理想的方法。
-
先一期截骨,使用外固定架进行骨段滑移。
-
当两骨断段逐渐靠近接触后,二期行断端清理和修整,造成新鲜骨创面,并使断端良好对合,同时植骨,继续外架固定。
对于此病例,你如何看待?欢迎在下方留言说说你的观点!
