“青春痘”又称*疮痤**是多种因素所致的毛囊皮脂腺的慢性炎症性疾病,具有一定的损容性,是皮肤科常见的皮肤病之一。各年龄段人群均可患病,以青年男女发病率为高。

*疮痤**的发病主要与皮脂腺功能亢进、毛囊皮脂腺导管角化堵塞、*疮痤**丙酸杆菌感染和炎症四大原因有关。另外与环境因素,精神因素,饮食,睡眠等也有关系,这些因素相互作用,共同决定病程的长短和严重程度。

由于其病因复杂,*疮痤**容易反复发生,就需要经常的口服药物及一些外用药治疗,这使得患者对药物治疗不良反应比较关注,例如对胃的刺激性,甚至肝毒性和致畸性等,导致这些传统治疗方法应用受限。因此,各种物理治疗应运而生,作为近年来新的治疗方法,对于不能耐受药物治疗或不愿意接受长期药物治疗的患者,物理治疗是最好的选择,其中红蓝光成为*疮痤**的基础治疗。红蓝光皆为可见光,无辐射、安全有效,目前临床上主要使用单纯红光,单纯蓝光、蓝光与红光联合疗法。
蓝光治疗1
主要用于治疗轻中度*疮痤**。*疮痤**丙酸杆菌在自身代谢过程中产生原卟啉与粪卟啉,卟啉吸收蓝光后产生单态氧和自由基,迅速杀死*疮痤**丙酸杆菌,同时抑制皮脂腺细胞分泌油脂、降低炎症反应。但蓝光的穿透深度有限,故需要多次连续治疗,也因此蓝光适合于:皮肤油腻、浅表炎症丘疹、脓疱,而对较深在的囊肿和结节效果不佳。为了增强疗效,还可以采取联合治疗,例如中药倒模联合蓝光、局部封闭联合蓝光治疗中度*疮痤**。
红光治疗2
主要用于较深的*疮痤**炎性丘疹和*疮痤**后皮肤修复的基础治疗。红光较蓝光穿透更深,可以进入真皮层,在抗炎治疗同时,刺激巨噬细胞释放各种细胞因子从而促进成纤维细胞的增生以达到皮肤修复的作用,治疗后可以明显改善皮肤纹理和色素沉着,组织学上表现为基底层色素颗粒减少,真皮胶原纤维排列整齐、紧密,可以起到美白、嫩肤,治疗光老化的作用。红光治疗无痛苦,费用低廉,简便易行,适应人群广。
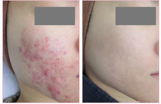
蓝光和红光的联合治疗3
能同时具有抗菌、消炎和修复作用。对于轻中度*疮痤**有很好的疗效。我科室建议患者每周接受2次治疗,治疗4周后,患者的粉刺及炎性皮损明显减轻,疗效优于单纯使用红光或蓝光。每次20分钟,6-8次为一个疗程。
红蓝光为广大*疮痤**患者提供了一种安全有效的治疗选择,可以单独使用,也可以联合使用,也可以与药物或其他物理治疗同时进行,对于轻中度*疮痤**,早期运用红蓝光治疗有助于缩短疗程,减少复发、预防瘢痕形成。
