吃不下,喝不了,难道只能被饿死?
70岁的梁伯一向身体很好,常在老友面前自豪地宣称:从来不需要打针吃药。然而,近几个月来吃饭却成了麻烦事,不是没得吃,不是不想吃,而是“顶”在胸口久久难以下咽!先从普通饭菜,再到稀粥,每况愈下。老友都说他瘦了,是不是该看病了,但他却说:“人老了就要服老,看什么医生?”
可是,最近一周愈发严重,喝点水都下不去,还会引起急剧的咳嗽。无奈,梁伯只好由家人陪来求医。检查的结果是梁伯的食管因癌肿而阻塞,与食管相邻的气管壁也受到侵犯,还形成了一个异常通道(食管气管瘘)!如此一来,吃下去的东西不是进入胃肠道内消化吸收、营养身体,而是经过瘘道进入气管和肺,所以才会引起剧烈的咳嗽。医生说,漏到肺内的食物极易引起肺部感染,还不好治疗,必须尽快处理。
不是不想吃,而是咽不下;不是不想喝,而是会呛咳!本身饥渴难耐,但就是“望食物而兴叹”!这个问题不解决,其他治疗都免谈。怎么着,也不能接受“做饿死鬼”吧?

已经是胖墩,还是不停地想吃,如何是好?
28岁的小赵又是另一种情况,3年前的那一场失恋,似乎将他对女孩子的兴趣,完全转移到食物上面来了。这不,体形就象吹胀的气球日渐臃肿,越来越不想出去见人,发展到后来日常生活自理都有了困难。然而,一见到食物,他就两眼放光,风卷残云般,吃得停不下来!假如哪一顿餐食准备得少些,或者晚了一点,竟然还会“嗷嗷”叫唤,说快要饿死了!

小赵的父母看在眼中,急在心里:工薪家庭的这么些个家底,真的会被这“吃货”“坐吃山空”呢!而且,作为一个大男子汉,总不能靠父母来养活一辈子吧?这可如何是好呀!
没有想到有关吃的问题还这么复杂吧?
俗话说:“民以食为天”,如何解决食物的数量和质量,事关“国计民生”,当然是大问题。不过,这不是本文关注的重点,也不去深入探讨。只是前面说到的两个有些极端的个案,无关食物来源,无关如何去“揾两餐”,仅仅是解决“如何进食”的问题都很麻烦。吃不进去怎么办?吃得太多还停不下来又怎么办?
无疑,梁伯和小赵的状态,已经成为“病态”,有病就得治呀!
对于梁伯来说,诊断明确是有食道癌,要考虑放疗、化疗,但一时半会解决不了吃饭的问题,身体状态已经接受不了,营养不良靠输点液也无法纠正。想手术切除吧,外科医生评估认为按他的身体状态接受不了这么大的创伤,预后也不良。这就棘手了!

全靠输液难以解决营养问题
而对于小赵来说,他父母请过心理医生辅导,也强制过让他“管住嘴、迈开腿”,他也刻苦地去遵循过,但饿得头昏眼花、累得疲惫不堪,仍然没有见效。无奈之下也想去“抽脂减肥”,或做个外科手术缩胃、缩小肠,但在咨询过程中,又担心手术创伤和并发症。这可就左右为难了!

管住嘴、迈开腿,不一定适合每个人
还有简便安全而且有效的解决办法吗?
还真有!
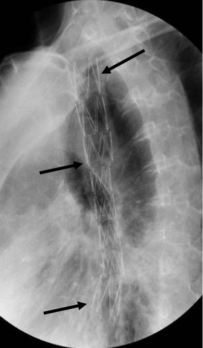
故事中的梁伯,后来请了介入科医生会诊。介入医生征得梁伯及其家人同意后,在电视透视引导下,顺利地植入了食管带膜支架。所谓带膜支架,也称“覆膜支架”,是在金属支架上覆盖了一层或双层的高分子耐腐蚀薄膜,可以起到腔内隔绝作用。食管带膜支架的植入起到了“一石二鸟”的作用,即支架的支撑恢复了食管通畅,支架的覆膜又成功地封闭了食管气管瘘——吃饭的问题很快就解决了!有了饮食调理,梁伯的身体状况逐渐好转。再次出现在老友面前,达观的梁伯说道:不听老友言,吃亏在眼前;不过好在做了介入,至少不会成为“饿死鬼”了!

食道内已经植入支架
不过,文中的小赵还在犹豫之中。因为,“介入减肥”还是新事物,开展得不多,小赵不讳言有“是不是在做人家小白鼠”之类的顾虑。而且这么些年过来了,生活方式习惯了,暂时又没有生命之忧,对要不要治疗以及对新疗法的接受都没有像梁伯那样的紧迫感,我们都表示理解。

介入减肥真的靠谱吗?
目前,有关介入减肥的理论已经确立,动物实验和初步临床应用已经完成。其基本做法是通过微创介入的方法,插管到患者的胃左动脉,对其实施栓塞。原理在于抑制生长素释放肽(或称饥饿素,能刺激食欲的激素)的产生。人不觉得饿了,不那么想吃了,自然会收获减肥的效果。
“胃左动脉栓塞术”是治疗上消化道出血的常用方法,对于介入医生来说没有什么技术难度。国外学者通过回顾性研究,发现胃左动脉栓塞术在有效止血的前提下,竟然有降低患者体重的“副作用”。受到启发后,我国著名的介入专家滕皋军教授于2011年成功地进行了动物试验,并于2016年5月开始进行了严格而科学的人体研究,证实介入减肥确实有效,还能改善脂肪肝症状,而且很安全,没有出现严重并发症(只栓塞这根血管不会引起胃的缺血坏死)。

胃左动脉与相关动脉造影图示
减肥的事,从来都是完全由患方说了算,医生们绝对不会去催促。不过,从原理和实践结果来看,这个新疗法应该会逐步被大众所熟知,所接受,能够看到我这篇文章的朋友也算是最先接收到这类资讯的一群了。作为有缘人,我想再送各位一首顺口溜:减肥路上传福音,轻松脱帽“小胖墩”;食不甘味“吃货”瘦,不知是喜或伤心?
#介入# #微创治疗# #减肥# @南方健康 @*今条头日**青云计划