纵隔精原细胞瘤案例 (精原细胞瘤影像表现与鉴别诊断)

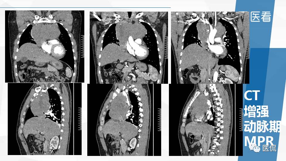
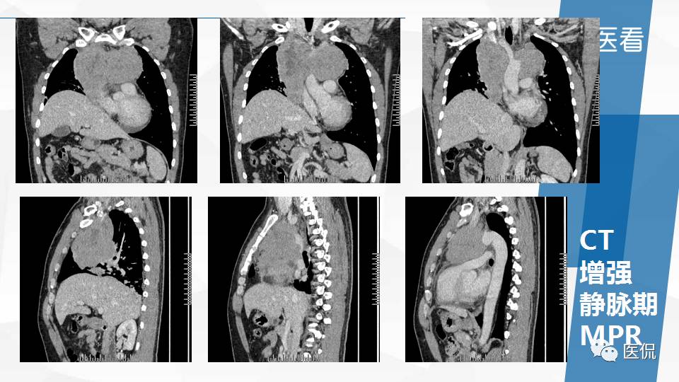
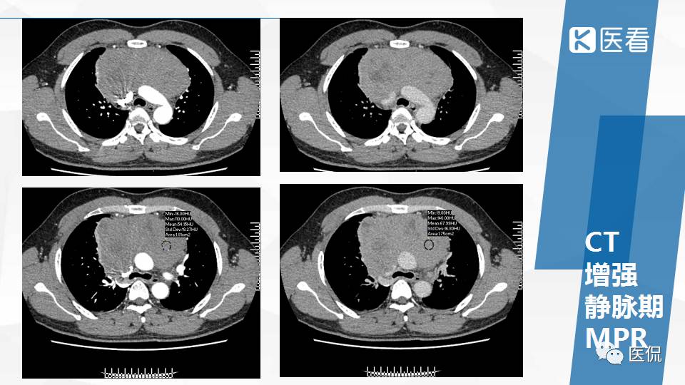
精原细胞瘤ct影像,精原细胞瘤影像特征

精原细胞瘤ct影像,精原细胞瘤影像特征

精原细胞瘤ct影像,精原细胞瘤影像特征

精原细胞瘤ct影像,精原细胞瘤影像特征

精原细胞瘤ct影像,精原细胞瘤影像特征

精原细胞瘤ct影像,精原细胞瘤影像特征

精原细胞瘤ct影像,精原细胞瘤影像特征

精原细胞瘤ct影像,精原细胞瘤影像特征

精原细胞瘤ct影像,精原细胞瘤影像特征

精原细胞瘤ct影像,精原细胞瘤影像特征

精原细胞瘤ct影像,精原细胞瘤影像特征

精原细胞瘤ct影像,精原细胞瘤影像特征

精原细胞瘤ct影像,精原细胞瘤影像特征

精原细胞瘤ct影像,精原细胞瘤影像特征

精原细胞瘤ct影像,精原细胞瘤影像特征

精原细胞瘤ct影像,精原细胞瘤影像特征

精原细胞瘤ct影像,精原细胞瘤影像特征

精原细胞瘤ct影像,精原细胞瘤影像特征

精原细胞瘤ct影像,精原细胞瘤影像特征

精原细胞瘤ct影像,精原细胞瘤影像特征

精原细胞瘤ct影像,精原细胞瘤影像特征

精原细胞瘤ct影像,精原细胞瘤影像特征

精原细胞瘤ct影像,精原细胞瘤影像特征

小看