病例1 男,68岁,因“发热5d,咳嗽咳痰2d”入院。患者入院前5d出现高热,最高体温40.3℃,2d前出现咳嗽咳黄痰,在当地住院予头孢曲松抗感染等治疗,症状无好转,转来我院就诊。入院查体:T39.6℃,R32次/min,BP152/59mmHg,HR110次/min,鼻导管5L/min吸氧时氧饱和度96%;左肺呼吸音粗,右肺呼吸音较低,右肺可闻及湿啰音。胸部CT:右肺为主炎症伴实变、间质炎;血常规:WBC6.4x10^9/L,N 96.1%;hs-CRP:400mg/L;血气分析:PH值7.53,氧分压53mmHg,二氧化碳分压28mmHg,氧合指数200mmHg;PCT:9.34ng/ml。
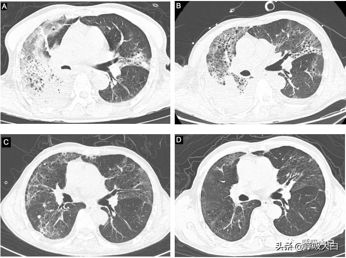
入院后予以哌拉西林他唑巴坦针4.5g q8h联合莫西沙星针0.4g qd,抗感染,无创呼吸机辅助通气。初始治疗后病情无明显改善,仍持续高热且呼吸窘迫,改气管插管下呼吸机辅助通气,床边行支气管镜检查,取肺泡灌洗液送检NGS。2日后NGS报告提示病原体为鹦鹉热衣原体,诊断重症肺炎(鹦鹉热衣原体感染),加用多西环素胶囊0.1g,q12h抗感染。对患者常规病原体检测均阴性。5日后体温正常,症状及复查胸部CT均好转。患者入院及复查见图1:A入院时,BC治疗期间,D出院时。

图1
病例2 男,55岁,因“发热6d,咳嗽咳痰5d,加重伴呼吸困难1d”入院。患者入院前6d出现发热,最高体温39.3℃,5d前出现咳嗽咳黄脓痰,1d前出现呼吸急促、嗜睡,转入我院。患者既往体健。入院查体:T37.4℃,R25次/min,BP164/87mmHg,HR97次/min,储氧面罩给氧(15L/min)时氧饱和度为88%;两肺呼吸音粗,两下肺闻及散在湿啰音。胸部CT:两肺大片肺炎、实变。血常规:WBC 32.2x10^9/L,N 98.0%,PCT:0.42ng/ml;hs-CRP:334.9mg/L;血气分析:PH值7.48,氧分压58mmHg,二氧化碳分压35mmHg,P/F 96mmHg。
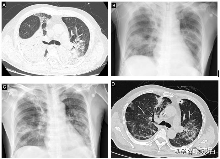
立即予以气管插管下呼吸机辅助通气,给予亚胺培南西司他丁针0.5g q6h联合阿奇霉素针0.5g qd、利奈唑胺0.6g q12h抗感染。第2日床边行肺泡灌洗液送检NGS。3日后提示为鹦鹉热衣原体,患者未能明确有鹦鹉等鸟类禽类接触史。调整抗感染方案为左氧氟沙星针0.5g qd及多西环素胶囊0.1g q12h鼻饲联合哌拉西林他唑巴坦针4.5g q8h。更改抗感染方案6日后体温正常,复查血指标及胸片有好转。患者入院及复查见图2:A入院时,BC治疗期间,D出院时。

图2
鹦鹉热衣原体是一种革兰阴性菌胞内寄生,且适合在体外存活的病原体。流行病学调查发现野生鸟类、禽类是本病的主要传染源,多数病案报道也提示家禽或宠物同样为重要传染源。人类可通过吸入来自受感染鸟类及禽类的尿液、粪便或其他排泄物的受污染气溶胶发生感染,感染后不能持久免疫,易复发及再感染。禽类感染通常是无症状的。每年约有1%的社区获得性肺炎是由鹦鹉热衣原体感染引起。传统病原培养,有较高的假阴性率,耗时且需要高安全等级的生物实验室,不能常规开展。mNGS是一种新的检测技术,能够快速客观的从患者体液、病变组织中检测到病原体信息,细菌、病毒、真菌、寄生虫等多种病原微生物基因序列可同时检测。症状通常在接触病原体5-14d后突然出现。
症状通常包括高热(部分相对缓脉),咳嗽、乏力、纳差、呼吸困难、意识障碍、头痛及肌肉酸痛、其他症状如呕吐、腹痛和腹泻。在极少数情况下,并发症如心肌炎、心内膜炎、脑炎、成人呼吸窘迫综合征和多器官衰竭。通常会出现肺外症状,往往预后不佳。
实验室检查:白细胞计数基本正常,重症患者可能同时合并其他细菌感染,白细胞及中性粒细胞计数可升高。淋巴细胞计数及比例均明显下降,部分患者伴有血小板水平下降,CRP、PCT、IL-6、LDH 等炎症指标升高较明显,大部分患者伴有转氨酶升高,肾功能损伤仅存在于少数患者。重症患者淋巴细胞下降更加明显,肝肾功能损伤及炎症指标升高更显著。
肺部影像学表现为不同程度渗出、实变,为胸膜下淡薄阴影,密度不均,病变呈扇形,肺部炎性浸润伴间质性炎症,单侧下肺叶节段实变多见,双侧实变、多发结节样或粟粒样浸润在部分患者可见,胸腔积液及肺门淋巴结病少见。
2-其他病例胸部CT
治疗前 治疗后

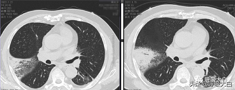
3-其他病例胸部CT
治疗后 治疗前




鹦鹉热衣原体肺炎的推荐治疗方法包括四环素类、大环内酯类(红霉素、阿奇霉素等)和喹诺酮类。人类鹦鹉热最好用四环素类药物治疗,因多西环素和米诺环素的剂量较低且不良反应小,是常用的治疗药物。多数患者治疗48h后发热症状消退,为了避免复发,疗程至少持续21d。而大环内酯类抗生素是四环素禁忌症患者的最佳替代药物,用于儿童和孕妇。喹诺酮类药物可能是一种治疗选择,但它们的活性不如四环素和大环内酯类药物。目前国内对阿奇霉素有较高的耐药率。
