小葉子 葉子口腔科普
这是小葉子经常在后台和葉粉们的对话:
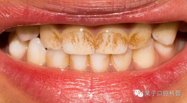
“我家宝宝的牙齿这样黑漆漆的,很难看,怎么办?”

“带孩子去洗牙吧。”
“什么?孩子能洗牙?家里人都说了,洗牙对牙齿不好。”
“……”

孩子能不能洗牙?
能!但一般孩子的洗牙方式与成年人不一样。

手工洁治工具
如果孩子每3-6个月洗一次牙,牙石不多的话,手工洁牙是首选。
而对于要不要使用超声波洗牙,就需要看孩子牙齿的具体情况,医生再来做决定。

超声波洁治工具

孩子为什么要洗牙?
即使孩子每天都有刷牙,但是牙齿上难免还是会积聚色素、沉积的牙垢、甚至是牙结石。尤其是家长刷牙操作不正确、孩子不合作刷牙时,牙齿上积聚的“脏东西”就更多。

by @济南牙医正好妈
要彻底把“脏东西”清除干净,就需要牙医出手了。

@济南牙医正好妈

孩子能配合洗牙吗?
当孩子尝试过洗牙后,配合医生和家长的正确引导,一般都会愿意接受洗牙,因为他们知道洗牙不疼,洗牙很享受,洗完之后牙齿会漂亮。


孩子是怎么洗牙的?
给孩子洗牙的基本流程是:
(1)用手工洁牙工具,清除牙齿上的牙垢、牙结石


(2)当医生给牙齿的“脏东西”清洗干净后,就会用橡皮轮杯加磨砂膏进行牙面抛光。

家长不用担心在这过程中孩子的口水往哪里吐,因为旁边都会有助手用工具帮助孩子吸去多余的口水。

为了让孩子熟悉洗牙的流程,家长可以给孩子看看这个视频,这名只有3岁的孩子在洗牙中是多么的享受!
洗牙不是成人的专利,孩子也值得拥有。
猜你喜欢:
洗牙很疼?洗牙伤牙?孩子不能洗牙?你对洗牙的误解都在这里解开
图片 | www.google.com
参考资料 | 《儿童洗牙》(葉子张野)
编审&排版 | 牙医麻麻Debbie
分享 让更多的孩子拥有一口小白牙
投稿、合作、加入:dentalleaf@gmail.com
