怀孕前建议到口腔科检查,做好牙周护理,以防怀孕期间牙齿出了问题又不能治疗,不能随便吃药,应该提前把可能发生的问题最小化。

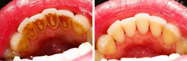
洁牙,俗称洗牙,专业术语龈上洁治术,是指用洁治器械去除牙龈上牙石、菌斑和色渍,并磨光牙面,以延迟菌斑和牙石再沉积。牙菌斑和牙结石是牙周病最主要的局部刺激因素,洁治术是去除龈上菌斑和牙石最有效的方法。

常见的误区
1.刷牙很认真,不需要洗牙
有人认为每天认真刷牙,就不用洗牙了,这是不对的。因为菌斑的生成速度很快,在彻底清刷后的半小时内即会有新的菌斑形成,更何况多数人并没有掌握正确的刷牙方法,只是根据自己的习惯进行牙齿的清洁,难免有些部位刷不到位,尤以牙缝处和下前牙里面为甚,久而久之即成为牙结石,因此,成年人如果没有洗过牙,尽早到医院做一次洁治,而且最好半年做一次。

2.洗牙后牙齿会变白
首先要纠正一个误区:有的人认为健康的牙齿是纯白色的,就像牙膏广告中模特的牙齿一样。事实上这是错误的。正常牙的结构是一层较为透明的牙釉质内包含有淡黄色的牙本质,因此能够透出部分牙本质的颜色,所以正常牙的颜色应该是略带黄色的。在日常的使用中牙齿表面肯定会积累一些色素,这些色素会使牙的颜色看起来更为不美观。洗牙的一个重要目标就是将这些色素最大程度地去掉,所以在经过完善的洗牙后,由于这些沾上去的色素被很好地去除,牙齿会暴露其本身的颜色,即淡淡的黄色。

3.多久洗一次牙
在发达国家,洗牙已成为很普及的常规口腔保健,人们每年一至两次定期找自己的牙医去洗牙。而有些人口腔卫生保持的比较好,可能两三年洗一次牙也可以。
4.洗牙对牙齿有损害
正确的洗牙对牙齿是没有损害的。正常的牙齿表面是一层牙釉质,硬度非常高,完全可以忽略洗牙造成的影响。抛光用的橡皮轮材质较软,更不会对牙齿造成磨损。

5.洗牙会导致牙缝变大
这种担心使很多人拒绝洗牙。实际上,牙石的堆积、牙龈的炎症会导致牙龈的局部肿胀填塞牙缝,而洗牙后去除了牙石,牙龈肿胀逐渐消退,所以牙缝就变得明显了,舌头舔起来牙齿的轮廓也更加明显,感觉牙齿变长了,这是目前牙齿真实面目的还原,绝非洗牙所造成的。
6.洗牙会导致牙齿敏感
牙石就像一层厚厚的棉袄,包裹在牙齿的外层。通过洗牙去除牙石后,牙齿暴露在久违的外界环境内,会产生种种异样的感觉。如果是健康的牙齿,这种敏感症状通常在洗牙后一到两周内会逐渐消失。

孕期为什么容易牙龈肿痛出血
1.孕期激素水平会不断提高,收到激素影响牙龈就会出现充血的情况,每次刷牙时就有可能出血,而且在孕期有的人孕吐反应较重,胃酸反噬牙齿会出现牙齿酸软明感。
2.因为孕期需要大量摄入营养,除了一日三餐还有水果等,有的还会夜里起来加餐,进食的次数增加,但不能做到每次餐后都好好清洁牙齿,久而久之就会积攒牙石,如果孕前没有做过洁牙,牙结石就会更多。

小编说:
很多人和我说“孕前做了洁牙孕期依旧会牙龈出血”,这样的情况是会有的,这有可能因为激素水平变化造成牙龈肿胀变的脆弱,刷牙时就容易触碰出血,这样的情况在孕期结束就不会再有了,而牙结石造成的压迫出血是会影响牙齿和牙周健康的,所以建议在孕前做好口腔护理。