
随着神兽们开学归笼
孩子们安全成了家长们操心的问题
上学放学路上及学校内
孩子们日常嬉戏打闹
上体育课做一些体育运动等等
难免会发生摔跤磕碰的情况
比如最常见的牙齿磕断、脱落
遇到这种情况
大多数人往往把牙齿捡起来
用卫生纸包着就来到医院就诊
这样做究竟对不对呢?
儿童发生牙外伤应该如何处理?
如何预防儿童牙外伤?
协和口腔科专家
为您详细科普!
牙齿这么硬,也会断?
问
牙齿是人体最坚硬的器官,还会折断?
牙齿虽然是人体最坚硬的器官,但是牙齿在受到打击或撞击时依旧会发生折断,甚至是全脱出,就是临床上定义的一类“牙外伤”。

牙外伤最好发的部位为切牙,就是我们通常所说的“门牙”,因为切牙处于面部较为突出的部位,所以更容易发生外伤,尤其是学龄儿童发生率较高。对孩子影响较大,也是家长更为关心的一类牙外伤,即为年轻恒牙的牙外伤。恒牙一般在萌出后3-5年才能完全“成熟”,因此处于萌出至牙根完全成熟这段时期的恒牙我们称之为“年轻恒牙”。年轻恒牙的牙外伤多发生于7-9岁,占恒牙外伤的50%-70%。

牙外伤高发的原因及危害
(1) 7至9岁的儿童正处于活动性强、精力旺盛,但又相对缺乏危险意识及自我保护能力;

(2)随着社会的发展,儿童运动、游戏内容向多样化、刺激性发展;

您知道吗?
年轻恒牙外伤如果不得到及时的治疗,
可能会产生超出家长预期的危害,
甚至后果很严重!
比如以下几种危害:
NO.1

因外伤而导致的牙齿松动、移位或折断影响咀嚼。
NO.2

牙神经的意外暴露及延误治疗而导致的牙髓炎症甚至坏死严重时,可能会影响年轻恒牙牙根的正常发育,甚至导致牙齿的丧失。
NO.3

牙齿的过早丧失会对儿童临近恒牙及咬合等生长发育产生影响。
NO.4

牙齿缺损严重没有进行及时修复时,可导致牙齿三维间隙的丧失,造成畸形,以及成年后永久修复的困难。
所以,友情提示:
别把缺牙不当回事儿!
常见的牙外伤处理原则
牙外伤原来危害这么大
万一发生了有啥好办法吗?

协和口腔科赵医生
给各位家长简要介绍几类
常见的牙外伤预防及处理原则
01
牙齿完全脱出
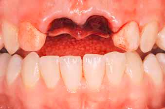
牙外伤中最严重的,也是最会让家长“惊慌失措”的一类就是牙齿的完全脱出。



图1. 牙全脱出示意图及病例展示
临床上在接诊这些小患者的时候发现,家长常常忘记把脱出的牙齿带来,或者虽然带来了但是却用错了保存方式,甚至有家长拖了好几天才来带孩子就诊,因此错过了 “黄金半小时” ,让原本可能保留的牙齿过早缺失。
那么当牙齿发生全脱出时,
家长可以在事故现场做
哪些积极有效的应急措施呢?
“黄金半小时”原则指的又是什么呢?
01
当牙齿发生全脱出时,请家长第一时间小心地把磕掉的牙齿拾起来。拾起来时请注意千万不要伤到牙根,而是 用手捏住牙冠 。

图2.1. “黄金半小时”原则——第一步
02
如果牙齿在地上脏了,请用 清水 温和地冲干净。清洗时千万注意 不要用肥皂,不要擦洗,不要晾干 ,更 不要用纸巾或布包紧 。因为这些不恰当的措施都有可能伤及牙根表面的细胞,最终大大降低再植牙愈合的几率。

图2.2. “黄金半小时”原则——第二步
03
马上把牙齿放回到牙龈的缺口中。可选择轻轻地将牙齿推进牙槽窝中;或者是放在洞口,再用牙齿轻轻地咬住;不管用哪种方式都一定要注意,要轻柔,不能太用力,直到看到医生。

图2.3. “黄金半小时”原则——第三步
04
时刻保持牙齿的湿润。如果实在无法将牙齿放入牙龈,则可以将清洁后的牙齿放在冷牛奶里或者孩子的嘴里(脸颊边或舌底),同时注意不要误吞或误吸。

图2.4. “黄金半小时”原则——第四步
05
30分钟内看牙医——这就是我们通常所说的“黄金半小时”原则。

图2.5. “黄金半小时”原则——第五步
02
牙冠折断
除了牙齿全脱出之外,还有一类常见的牙外伤就是牙冠折断。

图3. 牙冠折断
由于年轻恒牙的牙神经非常靠近牙齿表面,所以往往看似很小的牙冠折断也有伤及牙神经的可能,如果治疗不及时甚至有牙神经坏死,牙根停止发育的风险。

图4. 常见牙冠折断的几种类型
对于这类牙外伤,
家长应该注意些什么呢?
首先,当牙冠折断时,不论折断后缺损的多少都应该 及时来看牙医 ,由医生判断是否需要进行治疗,以及进行怎样的治疗。对于仅仅涉及到牙釉质或者浅层牙本质的牙冠折断,通常只需要进行树脂修复,在恢复牙冠完整的同时,也可以起到保护牙神经的作用。

但是对于牙冠折断缺损较大(特别是牙神经暴露)的情况,除了及时就医,如果有可能,我们还希望家长能把折断的牙冠同时带给牙医,对于完整的牙冠断端,是有可能通过“断冠再接”的治疗方案,恢复牙齿的外形。

图5. “断冠再接”治疗

看到这里,有些家长会问医生:
“牙神经暴露了,是不是就要拔了神经做根管治疗了啊?”
“我听说,做个根管治疗的牙就是死的牙齿了,孩子还这么小,有没有什么不好的影响呢?”
协和专家提醒:
外伤导致的牙神经暴露,如果治疗及时 (24小时甚至72小时之内) ,完全可以通过切除部分暴露神经的治疗方法,也就是通常所说的“活髓切断术”,而保留住大部分牙根神经,从而使尚未发育好的牙根得以继续发育成熟。

图6. “活髓切断术”示意图
即使因为错过了最佳“活髓切断”治疗时机,而发生牙髓坏死的年轻恒牙,也可以尝试“牙髓血运重建”、“根尖诱导成形”等治疗方法促使牙根继续发育。
总之,无论发生什么形式的牙外伤,我们都 建议家长第一时间来医院 ,由专业的口腔科医生进行诊断和治疗,以免延误治疗时机。
牙外伤的预防措施

提问者
那么对于儿童牙外伤有什么有效的预防措施呢?
专业解答

除了需要全社会提供危险事故风险防范,加强未成年人保护措施之外,我们还建议家长注意以下几点:

1. 教育儿童平时最好穿胶底不滑的旅游鞋、运动鞋;
2. 在参加体育活动或游戏时,要先熟悉场地,避免盲目冲撞、奔跑,适当运动;
3. 不要用石子、碎砖等危险用品相互投掷,注意做好保护措施;
4. 在进行高速、高风险、对抗性等运动(如滑板、篮球、滑冰)时,建议最好佩戴头盔、运动防护牙托等防护用具。
图7. 运动防护牙托
新学期,新气象
各位小朋友们
适当娱乐休闲可缓解学业压力
但也要爱护好一口好牙哦
疫情尚未结束,防疫不可松懈
来源:武汉协和医院