今天在透视室值班,下午过来一位82多岁的老太太,胸闷反酸多日,50多岁的儿子带她过来做钡餐。
下午做钡餐效果不好,我们一般不做!
但老太太是外县市过来的,不方便再跑一趟,本来她上午就来了,做了一些化验检查耽误了。

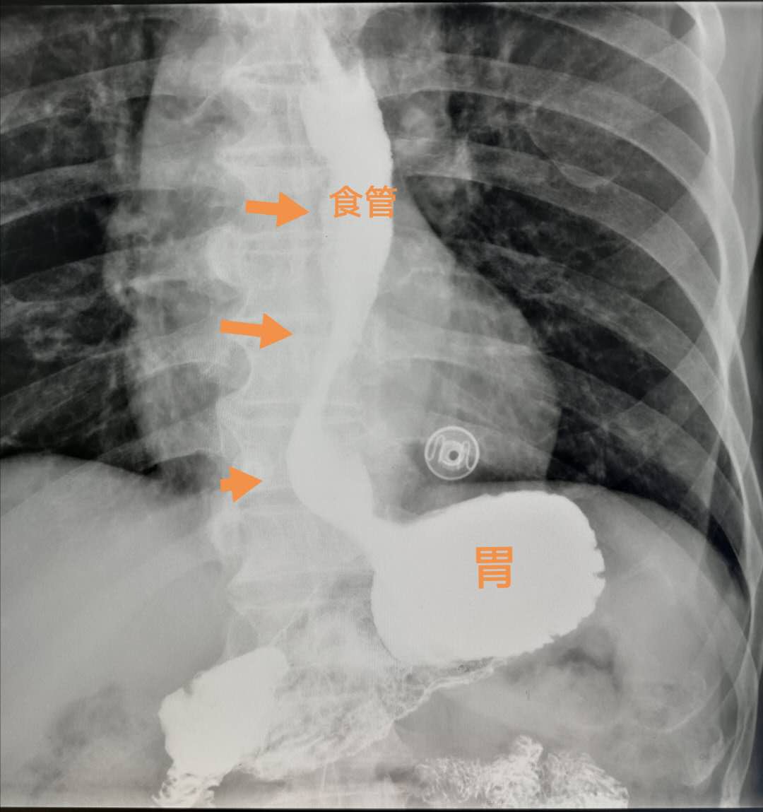
检查结果是胃食管反流。
老人喝下白色的硫酸钡之后,我们卧位观察,可见大量的硫酸钡从胃里反流进入食管,提示她胃上口(贲门)关闭不严。
这种来自胃里的食物反流因为含有胃酸,会反复腐蚀食管,引起胸闷、反酸、胸疼症状,有时候夜间发作可以反流到咽喉部甚至进入肺内,引起反复慢性咽炎、咳嗽、哮喘、发低烧等症状。

做完检查我跟老人详细解释了注意事项,那位50多岁的儿子神情放松下来,开玩笑地说:大夫,早知道就先来您这做检查啦,我们上午化验血花了不少钱呢,哈哈!谢谢您嘞!
呵呵,不是这个道理!做个小排查是对的!临床医生都比较谨慎,因为很多疾病会有相似的表现!
在老年人群,胃食管反流是比较常见的!

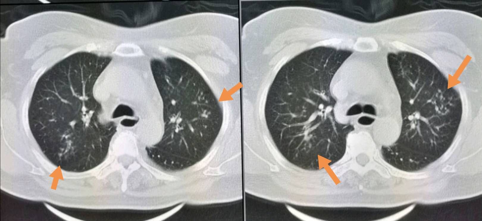
像这位62岁的小老太,就是食管反流引起的反复咳嗽、喘憋、发热,胸部CT发现双侧多发的小炎症,都沿着支气管分布。
两年里住院3回了。
怎样治疗胃食管反流?
1.注重饮食习惯的调理。
包括少食多餐,吃饭不要过饱(减少胃内压力),减少刺激性食物,餐后不要马上平卧,晚上临睡前两小时不要吃食物,保证空腹入睡。
有些人习惯吃完饭眯一会,有食管反流的病人要稍微改改这个习惯,因为平卧的时候胃里最好不要有食物。
2.配合口服促进胃动力的药物(如西沙地利),胃酸过多的人要服用抑制胃酸药物(如兰索拉唑)。
3.可以尝试一些中药治疗。有读者反馈,刺梨果和焦山楂水煎服,可以明显改善症状(仅供参考)。
上面那位老太太经过饮食调理和药物治疗,二次复查时肺部病灶已经明显吸收:


相信她经过这种针对性治疗,以后就不必反复住院了。
要过年了,重点强调一个胃食管反流发病诱因:
有些人爱喝酒,喝大了会忍不住吐掉。
猛烈的恶心呕吐会破坏食管下括约肌,诱发贲门关闭不良,引起胃食管反流。
实际上很多青壮男人都是这样诱发的经常胸闷、反酸、爱打嗝、有异味……
马上过年了,山珍海味、五湖四海的老友相聚,喝酒切记悠着点!

这倒不是危言耸听,最近几年统计发现,我国胃窦癌发病率在逐步下降,但胃上口的癌症(如胃底贲门癌、食管下段癌)发病率有上升趋势,这可能是其中一个原因。
最后简单解释一下,为什么放射科下午不做钡餐检查?
钡餐应当预约上午、空腹来检查,上午胃液较少,硫酸钡可以均匀涂抹到胃表面,清晰显示细微结构,减少漏诊和误诊。
有良好的对比保证,钡餐检查甚至能发现5毫米左右的早期小胃癌。

我是影像科豪大夫,谢谢阅读,欢迎点击关注!
#健康过大年# #吃在四海八方#