急性呕吐很常见,胃肠炎、胆囊炎、饮酒过量、食物中毒等等都可能。但由于肠梗阻导致的急性呕吐是需要急诊处理的。
肠梗阻也很常见,但十二指肠部位的梗阻却很少见。
在教材中,对于十二指肠相关的梗阻的介绍,主要以“十二指肠淤滞症”为一章节。

SMA综合征示意图:十二指肠因SMA肠系膜上动脉与腹主动脉夹角缩小而被压迫形成梗阻
十二指肠第三部,即十二指肠水平部。在第三腰椎水平横跨脊椎与腹主动脉。在此部位肠系膜上动脉从十二指肠上方发出。因此,任何可能导致动脉之间夹角变小的原因,都可能导致十二指肠在此受到压迫。
这种十二指肠水平部受到的压迫导致的十二指肠梗阻,称之为十二指肠淤滞症,或也称之为SMA综合征。
多见于30岁平均年龄,体重偏轻,体型瘦长。夜间或餐后发作,呕吐物为胃内容物,喜欢用俯卧位或膝胸位缓解腹痛。胃肠减压可见大量胃液。短暂缓解后无特异性表现。
可以量化的指标:测量动脉夹角,30-50度为正常。十二指肠与腹主动脉夹角的十二指肠水平部前后径<1cm。而近端十二指肠的前后径可达>3cm。
举例:
接诊一位因暴饮暴食后呕吐来就诊的20多岁男性。
一进门就是非常典型的体位,弓着腰,胸部贴着膝盖,坐在面前。期间不停的呕吐,少量的呕吐物为淡淡的粉色胃液,考虑粘膜应该因为剧烈的呕吐有撕裂。
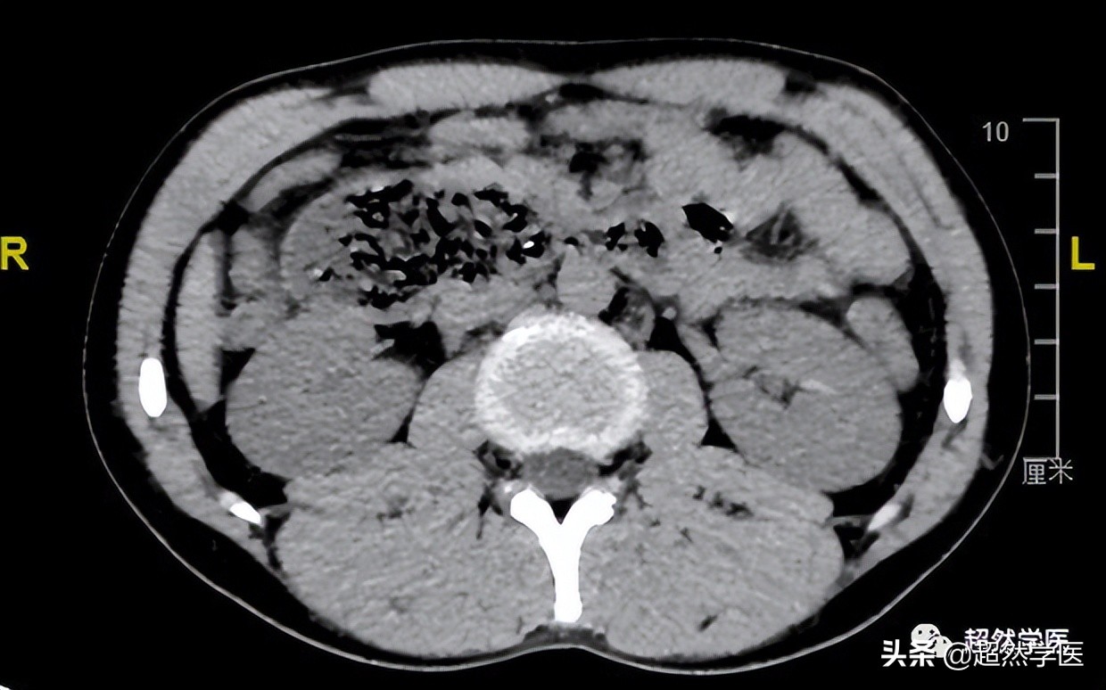
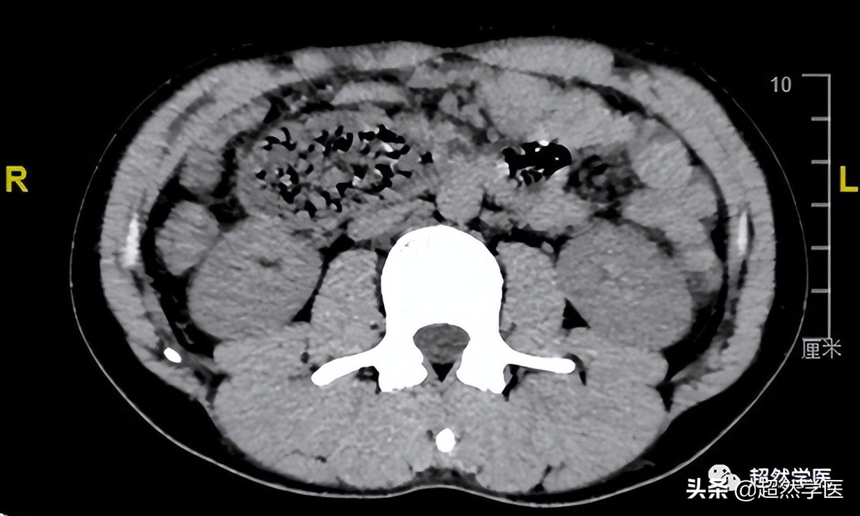
腹部CT的影像非常典型:

十二指肠近端扩张明显,而中间部分极为狭窄,约0.5cm左右


胃腔大量胃液。没有明显的胃肠型体征和其他部位的梗阻或结石征象。
反复体检后,对发病过程又进行了详细的询问。间歇呕吐,经常暴饮暴食,腹痛就喜欢胸贴膝盖俯卧着等等特质。
病人外形也属于消瘦类。
在复查血常规和电解质后,并没有发现明显的异常。
综合以上资料,目前在判断SMA综合征上,还是证据不足,因为,没有明显看到动脉夹角小于25度以下以及十二指肠受SMA压迫。
但是判断十二指肠扩张是明确的。接下来需要补充的检查包括腹部X线和CT+口服造影。
最好是能补充一个胃十二指肠镜,明确有无肠内问题。引用自Claro M et al. Wilkie's Syndrome: An Unexpected Finding. Cureus . 2021;13(12):e20413. 如下图,A为正常的胃内情况;B为扩张的十二指肠球部;C为狭窄的十二指肠第三部分,狭窄难以通过。

在鉴别诊断上,需要类型考虑的问题包括:消化道溃疡、胆道、胰腺炎症。
只要在影像学上看到十二指肠第三部分的梗阻,往往是高度怀疑SMA综合征。因此从病因学讲,在这个部位的其他原因梗阻非常罕见。
此外,对胰腺十二指肠肿瘤的分析也必不可少。比如胰腺囊肿、环状胰腺、肠系膜根部淋巴结肿大、克罗恩病等等也是会导致十二指肠出现梗阻的原因,但较少影响到第三部分。
有不少案例分析的研究对Wilkie综合征(SMA综合征)进行过详细的描述。


治疗上,对病人留置胃管。迅速引流出近800ml粉色胃液,未见胆汁及食物残渣。
一般来说,通过内镜留置通过Treitz韧带的胃肠营养管将非常有助于患者的肠内营养供应和体重的保持,通过提高体脂,增加十二指肠与腹主动脉间的脂肪含量,能有效改善症状。因此保守内科治疗可用取得不错的疗效。
