#头条创作挑战赛#
反复高热咳嗽,吃药后不轻反重
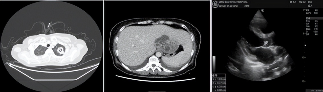
54岁的李女士既往有 糖尿病 病史多年,血糖未控制。因反复 发热、咳嗽 就诊于外院,体温高达 39℃ ,伴寒 颤、胸闷、憋气 。胸部CT提示双 肺水肿、双侧胸腔积液、左肺尖占位、肝左叶占位,考虑脓肿 。应用广谱抗生素抗感染治疗后,患者仍发热,咳嗽胸闷症状加重。

通过转诊绿色通道,患者被第一时间转入我院本部呼吸与危重医学一科。入院后复查影像:胸部左肺团块、斑片灶,考虑肺脓肿;肝左叶团状蜂窝,考虑肝脓肿;心脏超声示主动脉瓣赘生物。

肝脓肿一“针”见血,围剿病菌“大本营”
医生立即进行病情分析:患者因长期未能有效控糖,导致身体免疫力低下,而营养丰富的血液却成了细菌培养基,起初一点点的感染逐步加重至严重感染,肝脏内形成接近一个拳头大小的脓腔,肺部病灶均位于胸膜下考虑血源性感染,疑惑的是左上肺病灶呈现“鬼脸征”,同时还伴有感染性心内膜炎及瓣膜赘生物形成。
是否有金黄色葡萄球菌、草绿色链球菌或者隐球菌感染的可能呢?科室立即组织肝胆外科、心外科多学科会诊,专家讨论认为,脓肿治疗的关键在于引流,外院应用广谱抗生素治疗效果不好的原因在于未引流脓肿。为了更快揪出致病菌,急请B超室在超声定位下进行了经皮肝脓肿穿刺引流,不断有砖红色的脓液排出患者体外。穿刺液中白细胞高182279.00×10^6。

“高”在哪里?毒性傍身且阴险毒辣
在焦急的等待中,微生物室回报:肝脏穿刺液细菌培养结果为肺炎克雷伯菌,拉丝试验阳性。医生查房指出:患者免疫力受损,肺炎克雷伯菌感染明确,拉丝试验阳性代表菌株为高黏表型并具有高毒力。
肺炎克雷伯菌可以自然存在于健康个体的肠道和呼吸道中,具有健康免疫系统的人很少发生感染疾病。高毒力肺炎克雷伯菌感染以肝脓肿最为常见,并可转移到肺、脑和眼等部位,称之为侵袭性肝脓肿综合征,病情凶险,死亡率高。不仅如此,患者入院还出现了感染性心内膜炎及瓣膜赘生物的征象,hvKP感染导致心内膜炎罕见。

本部呼吸专业:以仁心妙术护航畅快呼吸
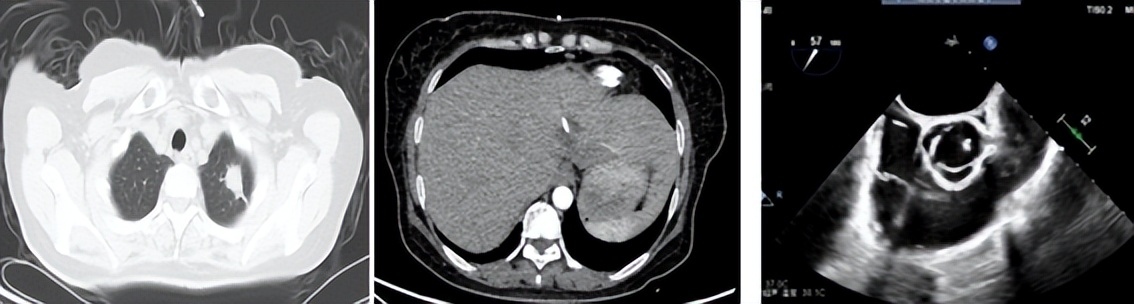
有了病原学和药敏的支持,医院立即调整抗生素方案并充分引流,规范管理血糖,患者体温很快降至正常,各项生命体征及指标达临床稳定;仅1周的时间患者肺部病灶、肝脓肿及心脏瓣膜赘生物均明显缩小;引流1月后复查肝脓肿明显缩小,引流液消失,拔除引流管,顺利出院。

高毒力肺炎克雷伯菌(hvKP,以下简称“高毒力肺克”)是一种新型肺炎克雷伯菌,可在年轻和健康个体引起多种严重感染,导致发生严重致残、致死事件。在我国,由高毒力肺克感染引起的侵袭性综合征呈现增多趋势,而临床对其的认识还远远不够。我院本部呼吸与危重医学科精准识别并成功救治一名病情危重的高毒力肺克感染患者,再次以满分答卷展现了我院呼吸系统疾病强大的疑难危重症救治实力。
近年来,青岛市市立医院本部呼吸专业脚踏实地精进医术,以仁心妙术优质服务患者,让医学的温度延展患者的生命,学科影响力逐步扩大到周边市县,多次从周边地区转入并成功救治疑难危重患者,不断为全市呼吸系统疾病诊疗事业作出新贡献。
我是刘学东医生,下期我将继续为你能带来健康科普,喜欢我的文章,点赞关注我!