孩子在六七岁左右开始换牙,乳牙脱落,恒牙萌出。但是有的家长却发现,孩子乳牙都掉了三四个月了,怎么还不长新牙呢?是不是缺钙啊?
接下来我们分析一下恒牙不萌出的几个原因以及该怎么处理。

现在我们的生活水平提高了很多,极少有小朋友出现营养的问题,牙齿迟迟不萌出主要有以下几个原因。
- 先天性缺牙
有的小朋友,先天性的缺失某颗恒牙,一般原因是由遗传决定的,由于缺牙胚而造成,有的先天缺牙是胎儿的母体的障碍,另外与婴幼儿期的全身或局部疾病有关。
要确定是不是先天缺失恒牙,就到医院拍一张全景片。只要有恒牙胚牙齿就可以自行萌出或者通过治疗萌出。

全景片
2.萌出动力不足
恒牙的萌出需要两个力量,第一是恒牙牙根发育会促使恒牙萌出,第二需要一定的上方乳牙提供咀嚼刺激。有个小盆友乳牙缺失的很早,或者吃饭太过精细,咀嚼刺激不足,也会造成恒牙萌出的较晚。这个时候要根据具体情况决定是否要进行助萌的治疗。

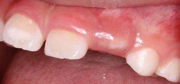
如果恒牙已经顶的牙龈已经发白了,还是长不出来,就需要到医院做一下助萌了。
如果全景片显示,恒牙牙根发育的慢或者恒牙上方还有少量骨组织,就可以继续观察几个月。
3.恒牙周围有多生牙阻挡

由于多生牙占据了原来要萌出恒牙的位置,导致恒牙移位无法正常萌出。
这种情况就要尽早把多生牙拔除,以免造成更大的影响
孩子出现恒牙一直长不出来的情况,不要着急,尽早到医院检查确定下原因。