一 一般资料
屈某某,女,49岁
主诉:腹胀、腹痛1月余
既往有甲减,一直口服甲状腺素钠片(2片/日),控制可;否认家族史。
体查:ECOG 1分,浅表淋巴结未扪及肿大。头颈部未见明显异常。心肺无异常。下腹部可扪及一约20×20cm肿块,质软,无压痛,活动度可。双下肢不肿。
相关检查:
①三大常规、肝肾功能、电解质、血糖、甲状腺功能、CEA、CA199、β-HCG、ECG、心脏彩超均正常。
②CA125:1114.00 U/mL ↑。
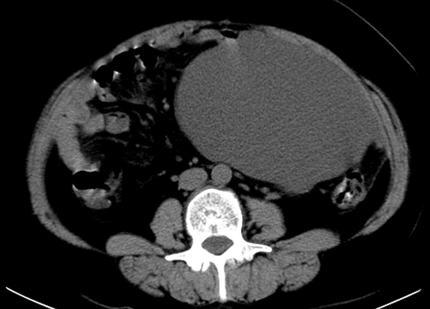
③胸腹部CT(2020.10.27 本院)示:右肺中叶小结节(伴少许钙化);下腹部巨大囊性占位并腹膜结节及絮状改变。

④盆腔MRI(2020.10.28 本院)示:腹盆腔囊实性占位(实性部分及分隔可见强化,部分囊性灶积血可能),考虑囊腺Ca可能性大,建议结合临床及综合病检。 盆腔多发稍大淋巴结,建议结合临床。子宫前壁囊性灶;子宫信号稍欠均匀;建议相关专科检查。 腹盆腔内积液。腹盆腔部分系膜间隙稍浑浊。

二 治疗经过
1)手术治疗
2020.10.30 在全麻插管下行剖腹卵巢癌减灭术(广泛子宫双附件切除+大网膜切除+盆腔淋巴结清扫+腹主动脉旁淋巴结清扫+膀胱子宫凹陷肿物切除+直肠子宫凹陷肿物切除+双侧骶韧带肿物切除+直肠部分切除+肠吻合)+盆腔粘连松解+肠粘连松解+双侧输尿管粘连松解术。
快速病检示:(双侧卵巢)癌,倾向腺癌。
术后予以“顺铂+多西他赛+5-FU”腹腔热灌注化疗。
2020-11-9 病理学检查报告: 1.(双附件):(双侧卵巢及右输卵管)高级别浆液性癌,左输卵管未见癌; 2.(子宫)双侧宫旁组织、子宫浆膜面、右阔韧带根部见癌侵犯;子宫腺肌症;增生状态子宫内膜;慢性宫颈炎; 3.(双侧骶韧带结节、膀胱凹结节、直肠凹结节、左髂旁结节、大网膜)见癌侵犯; 4.(直肠)肠壁及肠旁见癌侵犯;(远近)断端及肠系膜旁淋巴结未见癌转移(0/4); 5.(左、右盆腔,左、右髂总,左、右腹主动脉、骶前)淋巴结未见癌转移(0/11,0/12,0/2,0/4,0/2,0/1,0/3)。免疫组化8#:CK-P(+),WT-1(+),P53(+),Pax-8(+),CEA(-), Ki67(+,60%),ER(+),PR(灶+),CK7(+),NapsinA(-)。
术后诊断:1.卵巢癌(高级别腺癌,IIIC期)术后;2.甲状腺功能减退
2)术后辅助治疗
2020.12.11-2021-04-14 “卡铂+白蛋白紫杉醇”化疗×6周期
化疗副反应:骨髓抑制(Ⅰ-Ⅱ药物性粒细胞减少及药物性血小板减少)
疗效评价
①每周期化疗复查CA125,于2021-1-5 CA125降至正常(11.10 U/mL)。
②每2周期复查影像学未见复发及转移。
③化疗副反应:骨髓抑制I-Ⅱ°,双下肢膝关节疼痛。
④2021.07.13外院PET-CT示:卵巢术区及盆腔未见明显肿瘤复发。
3)一线治疗
定期复查:
2021.10.24 三大常规、肝肾功能、电解质、血糖、心肌酶、甲状腺功能、ECG及心脏彩超均正常。
2021.10.24 CA125:280U/ml ↑。
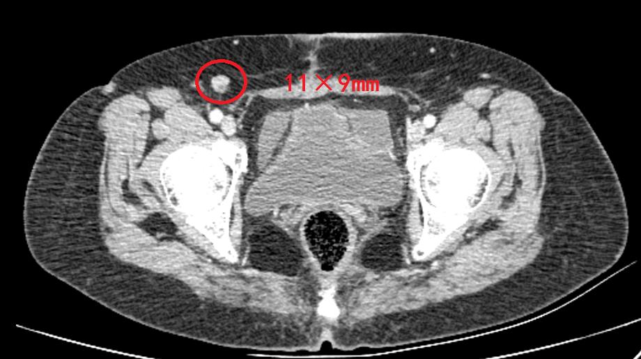
2021-10-25 胸腹部CT示:右肺中叶小结节(伴少许钙化)同前。双侧腹股沟区多发稍大淋巴结。术区结肠壁稍增厚。中腹部脂肪间隙模糊并多发稍大淋巴结(较前相仿):考虑脂膜炎。肝右叶钙化灶。

2021.10.26-2022.01.06行 卡铂+紫杉醇脂质体×4周期。
化疗副反应:骨髓抑制(Ⅳ°药物性粒细胞减少、Ⅱ°药物性血小板减少及轻度贫血)。
疗效评价


患者于2022年1月完善BRAC1/2基因检测

4)一线维持治疗
尼拉帕利 2片/日,因Ⅳ度药物性血小板减少已停药半月
①每月门诊复查CA125均正常。
②每2月复查影像学未见复发及转移。
③治疗主要副反应:恶心、药物性粒细胞减少(Ⅱ°)、 药物性血小板减少(Ⅳ°) 及中度贫血等。
三 总结
尼拉帕利用于初治卵巢癌患者的一线维持治疗(PRIMA研究):该研究证实,对于中国晚期卵巢癌患者,无论患者生物标记物状态如何,在接受含铂化疗有效后(完全或部分缓解),尼拉帕利作为维持治疗可使无进展生存期在统计学和临床意义上均得到显著改善,且安全性可耐受。
该患者为IIIC期卵巢高级别黏液腺癌,经手术及术后辅助化疗后7月出现生化进展,一线予以了TC方案化疗4周期,后因重度骨髓抑制,完善基因检测提示BRAC1突变,改行尼拉帕利治疗至今,但出现严重药物性血小板减少而停药,目前正在进行升血象治疗,待血象正常后拟改行尼拉帕利(1片/日)继续治疗。