来自爱家早查
时长21分24秒
✡
以下为视频文字版
普通人也可以读懂结节和囊肿
正文
放射科杨大夫:体检结节那些事儿
大家晚上好,我是广安门医院的放射科杨大夫。非常高兴今天能够跟大家一起探讨一下大家在体检当中可能会经常碰到的一些比方说肺结节、肾囊肿、肝囊肿等相关问题的常识,希望大家能有所收获。
对肺部结节:CT有绝对优势

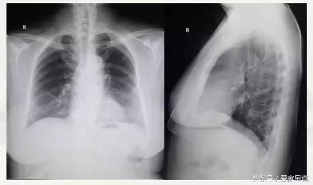
53岁女性正侧面胸片
我们先来看一个胸片(上图),这是胸部的正侧位。这个人是53岁的女性,她是在查体的时候先拍的胸片。其实拍胸片时并没有发现什么问题,这是一个胸部的正侧位,是两张片子。
通常在体检中心或者在体检机构进行体检的时候,都是只拍一个胸部的正位片。这是符合体检的要求,体检都是只拍一张正位片。但是这个人是因为他有其他的症状去医院拍片子,常规拍了一个正侧位。在这个片子上,我们并没有看到什么问题。

53岁女性肺部CT
这是这个人做的CT,几乎是在同一天做的CT。我们可以看到,在这个图上的一个红箭指的那个位置就是一个肺内的小结节。这个小结节为什么在胸片上看不到呢?因为在这个位置有很多的骨头都重叠到一起,这个结节密度又比较大,影子比较大,然后又比较小,所以就被挡住了。
所以这就很好理解,因为胸片是各种组织重叠到一起的,那它的清晰度是不如CT的。后来这个人发现了肺部的小结节以后,放射科大夫根据这个结节的形态、密度这些表现,就考虑是肺癌可能性很大的,后来他就做了手术。做了手术之后呢,发现是一个腺癌。
举这个例子是想说明一件事情,就是对于肺部的这个病变、包括肺的结节来说,CT的优势的是显而易见的。
谁是肺癌的高危人群?↓
现在国内外的很多指南都指出,对于肺癌的高危人群都主张用CT做体检。当然这个CT是低剂量螺旋CT,也就是LDCT。刚才强调的一点的是一定要针对高危人群。对照一下,看看自己是不是属于高危人群,或者你周围的亲戚朋友有没有是高危人群的?

第一种情况是年龄在55~74岁,吸烟史≥30包年。如果他已经戒烟,就是说他吸了30年包以后已经戒烟了,但是戒烟时间的是少于15年,他仍然属于高危人群。但是如果他16年前戒烟的话那就不是高危人群了。
第二种情况是年龄≥50岁、吸烟史≥20包年以及至少另外一项危险因素。而这种危险因素不包括二手烟,那么有哪些呢?包括氡辐射、职业暴露。这个职业暴露比较多见的就是石棉。比方说有的人在石棉厂工作等等这些都属于职业暴露。癌症病史尤其是跟吸烟相关的比如说淋巴瘤之类,有肺癌家族病史,还有一种情况呢就是肺病史比如说慢性阻塞性肺疾病、慢支、肺气肿、肺纤维化等。
这时候可能就有朋友会问,那对于普通人群呢?对于普通人群说实话并没有太多的大规模的证据表明,到底用CT好还是用胸片更好。目前的大部分指南推荐是高危人群才在筛查。
为什么普通人学就不会去做这种研究?因为普通人群还牵扯到一个整体辐射问题、整体的性价比的问题,要考虑社会经济效益等方面。那么针对普通的入职体检等等,胸片也是足够的。
CT筛查剂量高吗?NO
有的朋友可能会关心,那我用CT来做筛查的筛查能辐射剂量不高吗?答案是不高。最新的CT机可以把这个辐射剂量做到约1个毫西弗(辐射剂量的基本单位之一)。
什么概念?如果您在北京,每天都从来不去医院不去照片也不接近核反应堆等,那么其实这样你每年从宇宙当中接受的辐射也是2.4个毫西弗。假如你同时又吸烟,单纯这个吸烟,每天一包的吸烟的话,每年可能也达到好几十个毫西弗的辐射剂量。相对而言,这1个毫西弗的剂量还是很低的!
肺结节就是得了肺癌?NO
不知道各位在体检的过程当中,有没有人拿到CT报告说肺部有小结节?那我是会经常接受各种各样的咨询,比方说我的病人和朋友经常问我,杨大夫我肺里头发现了一个小结节,我是不是肺癌了? 那我出了结节,我是不是一个很不幸的人呢?那么答案的其实你并没有那么不幸!
因为根据一个比较大规模的肺癌筛查研究就发现了用低剂量CT筛查出的肺结节在人群中的检出率是24.2%。也就是说,每10个人里头有将近2.5个人有肺结节。胸片的结节检出率就低一点,大约是6.9%。这个很好理解,因为我们用CT扫描的程度很薄,再一个它没有遮挡,所以对这种结节的检出率必然是高的。
另外一个担心就是发现了肺结节,那是不是就是肺癌呢?有的人体检出肺结节后,吃饭吃不香睡觉睡不稳的就老怀疑自己是肺癌。其实呢,绝大多数的情况不是这样的!同样研究就发现了低剂量CT查出的肺结节最终证实有96.40%是良性的,也就是说只有3.6%最终被证实是肺癌,很少很少,仅仅是比中彩票的几率要稍微高一点而已。那么胸片查出的肺结节有94.5%是良性的,两个差不多。
每年花那么多钱拍片值不值?

那还有的人可能就会问,做一个CT可能有的地方上千块钱,一个胸片只要几十块钱就行。那么我每年都花那么多钱值不值当?看这个图就证明就低剂量CT的筛查最终的益处是非常高的!
大家一定要注意这是针对的高危人群的筛查,那么这个研究发现如果用低剂量CT来筛查的话,最终可以使因肺癌死亡的人数比普通的胸片要降低20%。
你来告诉我, 哪个是奥巴马 ?
如果在座的您仍然对世界保持着一份好奇心,对大自然或者对科学都能有好奇心的话你可能也会好奇,放射科大夫是怎么在CT上来分析这个肺结节是不是肺癌的呢?
说的简单一点就是从大小、形态、密度来进行分析。很多时候都需要进一步检查,需要回访、复查等来综合的判断。判断的过程说起来总觉起来非常的简单,但其实很多时候都非常地纠结,我可以给大家举几个例子。

这张图那是一张很有意思的图,这个跟我们放射科在工作当中的遇到的困难非常相似。这5张相片里我想问大家哪个是奥巴马?大家很可能会非常肯定的说右边那个肯定是。答案肯定也是,因为他最接近现在的奥巴马。

大家再看这张相片,这又是谁呢?这张照片有可能是奥巴马,也有可能不是,因为他各自占了50%的权重。我们在日常工作当中,在判断一个肺结节或其他疾病时经常会面临到这样一种非常困难的情况,就是在判断疾病的时候它并不是“不是良性就是恶性”,两个之间的界限很多时候并不那么清楚。然后需要我们找各种各样的证据,想各种各样的方法来分析它到底是良性还是恶性。
对肺的结节来说,我们首先第一个就是观察它的大小,除此之外是它的形态、密度等等。那么最常用的一种方法呢,比方对于很小的没有办法判断它性质的这种小结节我们就要进行随访观察,有的时候我们会根据指南的要求追踪3个月或者是半年,有的时候或者甚至1年;对于实性结节,比方说我们就需要至少追到两年;磨玻璃结节的时间会更长一点。
针对各种各样的肺结节,虽然都是一个大夫的主观判断,但是我们会根据很多各种各样的实验研究还有经验来进行综合的分析,在对筛查的结节来说,其中很重要一点就是随访观察。

比方说,我们在统计了很多病例后就发现,体检的时候发现结节,它的大小跟肺癌的关系是这样的,如果这个结节直径非常小,比方说是4~7毫米,那它只有不到百分之一的可能性是恶性的,最终的结果并不是一开始就能决定的,而是需要经过观察。
那么如果它是2~3厘米的话,基本上有50%的可能性。举个例子,也就是说大小和疾病良恶性的关系。当然还有很多其他方面,当然包括它的形态、有没有毛刺、有没有分叶,包括它的密度,里面有没有脂肪、有没有钙化等这些综合进行分析。
甲状腺结节——年轻化高发
第二个话题就是关于甲状腺。我发现大家也有很多的疑问和关心。从流行病来说,甲状腺的结节非常多,包括结节、囊肿和其他各种病变,近几年发现越来越多,而且偏向于年轻化。有的人认为可能跟咱们的饮食习惯是不是有关系,但是这些并没有很多可靠的证据。不管怎么说,面临的现实就是甲状腺结节是越来越多的。

甲状腺结节其实跟肺结节一样绝大多数都是良性的。所以说,第一点你不是说B超一发现甲状腺结节就先考虑是恶性,这是不对的一个思维。
那么对甲状腺的诊断来说,目前这些检查方法里首推的也是B超。CT和核磁目前在临床上最多见的是用甲状腺癌的术前分期,也就是已经确认下是甲状腺癌了,我要做手术之前要先看看它有没有转移、有没有淋巴结肿大、病变的范围等等,主要是用来干这个事儿的,所以在这个方面B超是最好的。
那么,B超的报告上通常会根据结节的回声和血流动力学特征等等来对这个结节做出一些良恶性倾向性的诊断。 比方说如果考虑是高度可疑恶性的话,这个时候它的处理原则是根据它的大小来定了:如果它的直径小于5个毫米,这个时候只需要密切随访,如果是5个毫米-1厘米之间也是随访,但是这个时候比较积极的时候也可以做细针的穿刺,如果最大直径大于1个厘米,也要做穿刺。如果说B超怀疑是高度可疑恶性的话,恶性机率是70%~90%。

中度恶性可能和低度恶性可能,这个时候也分别是根据它的大小来决定它下一步的处理原则。我们可以发现中度的恶性可能性已经到了10%~20%,而这个低度恶性的就只有5%~10%。
在B超上也可以根据各种各样的特征来诊断良性,那么一般的良性结节随诊就行,但是如果特别大的话,也可以考虑做细针穿刺,但是一般的话是没有必要,因为这种结节的恶性可能性非常小。
但是甲状腺的B超或者是其他部位的B超检查来说,对于诊断医师的水平要求非常高。因为它的片子不像CT或核磁那样,可以做出来拿给大家一起看。基本上他在做的时候就要同时进行诊断,所以对于操作者的要求是很高的。
肾囊肿——最复杂
下面我们来说一下非常常见的一个叫肾囊肿。肾脏的发生率非常的高,非常常见,而且随着年龄的增长会越来越多。肾脏的囊肿还有肝脏囊肿一样,实际上如果是单纯的囊肿,你可以把它通俗的理解就是一个水泡,水泡有多大危险?其实是没有太多危险性的。
但是在肾脏来说,情况稍微复杂一点。肾脏的囊肿可以是良性的,就是一个小水泡,也可以是恶性的,又叫囊性肾癌。所以说,如果B超体检第一次发现肾囊肿,比如说你以前从来没有见到过,以前检查没有,后来出现了一个囊肿,这个时候我还是建议大家做一个CT或者是核磁的增强扫描。为什么这么做呢?

因为肾脏的囊肿实际上可以非常复杂,根据囊液到底是水、血、蛋白还是脓,或者是这个囊肿到底有多少实际成分等等,实际上它的良恶性都不一样,实际上为了搞清楚这个,或者是为了让放射科大夫跟泌尿科大夫之间有一个很好的沟通。
我们现在临床上采取的一个方法就是把各种各样的不同类型的囊肿,把它归成不同的分型。这个分型比较公认的一个分型叫Bosniak。 这个分型为什么被接受呢?是因为它跟临床的契合度非常好。比方说,如果我诊断是BosniakⅠ型,那就认为这是一个单纯囊肿,而单纯囊肿的恶性可能性几乎是零。如果是一个诊断为了BosniakⅣ型,可以认为它是囊性肾癌,看起来很好,但有一个前提,你要去做这个分型,必须要做增强扫描。

比方说这是Ⅰ型的,那么我们做了增强扫描以后发现没有血崩,边界很清楚,密度很均匀,又比较小,所以说这个就是Ⅰ型,单纯囊肿,只是个小水泡而已!对这种囊肿当它又不是很大的时候,就不需要管他,不需要处理。

这张片子上这两个囊肿虽然也叫囊肿,但是它跟刚才那张片子上的那种不太一样的。你这个囊肿看到箭头所示是有一些分隔,还有一个稍微厚点儿的壁。但是它又不那么大,那我们就把它划成BosniakⅡ。BosniakⅡ的恶性可能性有多少呢?是小于0.5%,几乎是不太可能是恶性的,如果它最终变成恶性,就跟中彩票差不多。这种当它也不太大的时候,也是不需要处理的。

还有Ⅲ型,Ⅳ型(囊性肾癌),我们有一个判断标准,主要是它的实性成分比较大。Ⅲ型也是恶性可能性比较大,当我们诊断Ⅳ型的时候,基本上恶性可能性是90%以上,这是我们自己的经验,我们诊断Ⅲ型的话恶性可能性就是70%以上。如果你拿到我们的报告,上面写的肾囊肿是BosniakⅡF型的话,那就意味着需要随访观察。这个随访观察你可以选择各种影像手段都可以,你可以做增强的CT或者核磁。
肝囊肿——病变需增强扫描

另外一种是发生在肝脏的,肝囊肿和肾囊肿比起来就相对来说没那么复杂,大部分的肝脏囊肿都是单纯的囊肿,可以理解为肝上长了个小水泡。如果位于肝实质里头,离得表面又很远,大概5~6厘米,那也没什么问题,不需要处理,它生长的非常慢,你只需要每年B超观察一下它的大小及变化。但是如果它紧挨肝表面,又比较大的时候,就需要去咨询一下肝胆外科的大夫,听听他们的意见到底该怎么处理。
肝上的这类病变诊断,我们常规需要做增强扫描。为什么做增强扫描?

举个简单例子,比如说啊看这片子上一共有三个箭头,所指的都是三个很白的,我们管它叫高信号的囊性病变,但是你只靠这张片子你没办法诊断的它到底是什么。这三张片子是三个不同的病人三个不同的病。那我们下面看看他打了药之后,也就是做增强扫描之后的表现。

打了药之后,我们就能看到最左边这个是一个囊肿,而中间这个是血管瘤,右边这个是一个脓肿。这个简单的例子只是告诉大家对于肝脏的病变常规的检查是做增强扫描,也就是要做打药的。
尤其是当你第一次诊断的时候,也就是你想定性它到底是什么东西的时候,一定要做增强。当然,对于囊肿或血管瘤这两个比较常见的良性病变来说,当你第一次用增强扫描定了性之后,假如你只是随访观察它的大小的变化可以只做平扫,针对核磁而言。
总结
好,那么稍微总结一下。我想大家在体检的时候可能对于肺来说呢,基本上就是胸片或者低剂量的CT。对高危人群来说,我建议的检查是LDCT。如果说发现了结节,第一点要做的是不要紧张,第二点要咨询放射科大夫的意见。他们通常会根据个人指南给你一个建议,比如你要多久来复查。
对于肝或者肾上的囊肿,尤其是肾脏囊肿,如果是第一次查到的话,我仍然建议要做一个CT或者是核磁增强扫描,因为能够给你提供一个极限值。
你在将来随着年龄的增长,然后你不停地用B超随访。随访过程中如果发现真的有变化的话,那个时候估计还得重新做CT或者核磁增强。因为这两个检查是做一个诊断性的检查,地位还是很重要的。
通常我们放射科大夫会在报告上提到Bosniak分类,这时如果大家如果拿到这样的报告之后建议可以去找泌尿科大夫。但是如果这个身上的小囊肿很小,又是一个Ⅰ类和Ⅱ类,是不需要处理的。但是如果有的地方它不按照这个规则来写报告的话,你发现了,最好还是去泌尿科大夫咨询下他的意见。
甲状腺的结节处理就比较简单,你第一次发现甲状腺的结节的话,要根据给你做B超大夫的意见来做处理。如果他觉得很有把握是一个良性又比较小的话,你可以观察,前提是你没有任何的症状,甲状腺相关的一些现在检查都没有问题,这个时候你可以只做随访。一旦甲状腺相关的一些基数出现了问题和异常,B超又发现了一些问题,这个时候一定要及时到普外科就诊。
往期医学大咖课程(点击图片查看)
往期主讲人:中国医学科学院肿瘤医院 影像诊断科 副主任医师 唐威

往期主讲人:北京协和医院 内分泌科 主任医师 潘慧
