右手拇指间歇性麻木,颈椎病,颈椎失稳的保守治疗
患者男性,青海人,第一次就诊时间是2016年4月6日, 当时55岁。
患者因为右手拇指间歇性麻木1月就诊,双手精细动作无影响。
查体双上肢肌力感觉正常,双侧Hoffmann征阴性。
自带颈椎MRI提示颈5-6退变性滑脱,颈5椎体后移,不稳,但患者临床无神经损伤表现,且病程较短,暂不考虑手术治疗,病情变化请随时来就诊。
诊断:颈5-6退变失稳,神经根型颈椎病。
诊疗建议:保守治疗,随诊,病情加重则手术。

图1. 20160320-QHM-C-A医院颈椎MRI01

图2. 20160320-QHM-C-A医院颈椎MRI02

图3. 20160320-QHM-C-A医院颈椎MRI03

图4. 20160320-QHM-C-A医院颈椎MRI04

图5. 20160328西宁骨伤烧伤专科医院颈椎6位X线片

图6. 20160406门诊病历

图7. 20171016门源县中医院腰椎CT
2019年6月26日,患者又来就诊,一晃三年过去了,第二次来就诊。
第一次按照神经根型颈椎病,行保守治疗后,右手麻木减轻,症状明显缓解至今。自2019年3月开始右腿痛,晨起痛醒, 右下肢睡觉后活动不灵活,起床活动后症状减轻。
查体:双上肢肌力感觉正常,双侧Hoffmann征阴性,跟行,跖行,起跳,弯腰活动无受限。
自带颈椎MRI颈5-6退变性滑脱,颈5椎体后移,不稳,但患者无明确的神经损伤表现,且保守治疗有效,暂不考虑手术治疗。腰椎MRI及CT未见严重之椎间盘突出及椎管狭窄,腰椎失稳。
诊断:骨质疏松症,颈5-6退变失稳,神经根型颈椎病。
建议患者做骨密度检查,然后患者就消失了,未再来就诊,可能觉得不是啥大事儿,颈椎和腰椎都不需要手术,就直接回去了,我查了一下我们医院门诊部医生工作站,此后,这个患者没有再来就诊,当然也有可能患者到其他医院就诊了。

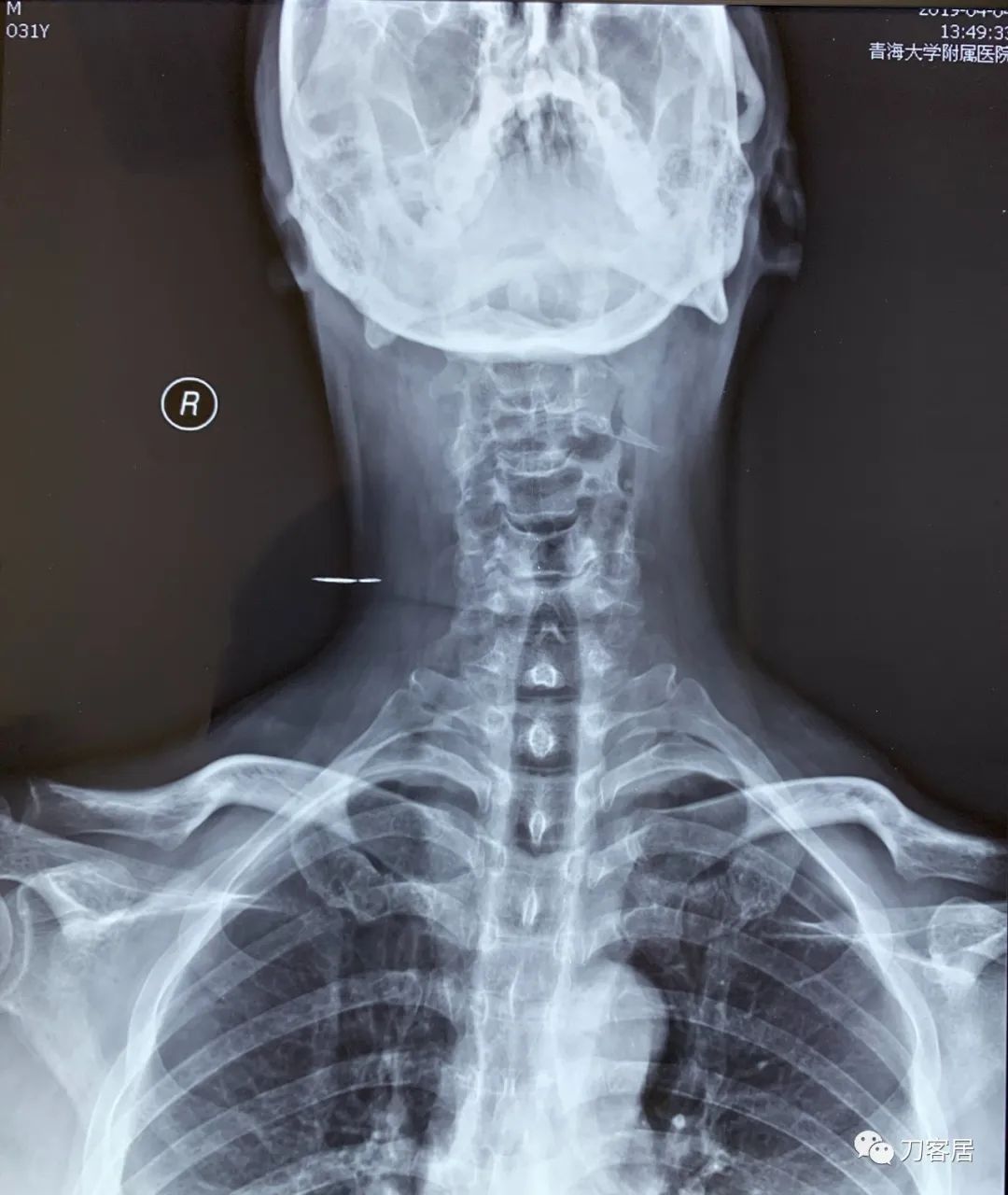
图8. 20190404青海大学附属医院颈椎正位X线片

图9. 20190404青海大学附属医院颈椎侧位X线片

图10. 20190404青海大学附属医院颈椎过屈位X线片

图11. 20190404青海大学附属医院颈椎过伸位X线片

图12. 20190409-QHM-C-A医院-颈椎MRI01

图13. 20190409-QHM-C-A医院-颈椎MRI02

图14. 20190409-QHM-C-A医院-颈椎MRI03

图15. 20190409-QHM-C-A医院-颈椎MRI04

图16. 20190409-QHM-C-A医院-腰椎MRI01

图17. 20190409-QHM-C-A医院-腰椎MRI02

图18. 20190626门诊病历
收录于合集 #颈椎病
28个
下一篇 我的门诊病历: 近10年的看病经历,颈肩部酸困,无力,僵硬,按照颈椎病治疗,抑郁了,咋办?