金华的某A,女性,今年61岁,在近2年半前曾在左肺下叶肺癌以及左肺上叶挺大的支气管囊肿伴囊内真菌感染进行了“左肺下叶切除+左肺上叶部分切除(因病灶大且位置靠中间,基本切除了绝大部分固有段)+纵隔淋巴结清扫术”。我们先来看当时的左侧病灶:

上图是左上叶的病灶,有4-5厘米左右,而且位置挺靠中间,但因为左下叶是肺癌,恶性的,已经要切肺叶,则上叶不能行叶切,虽做了大的楔切,其实范围基本上与固有段类似了,所以留下的只有舌段那么一点点,而且因上部与下部都肺组织被切除,术后左肺留下的那点膨胀也差,术后胸闷气促明显,伴喘憋,恢复很慢。

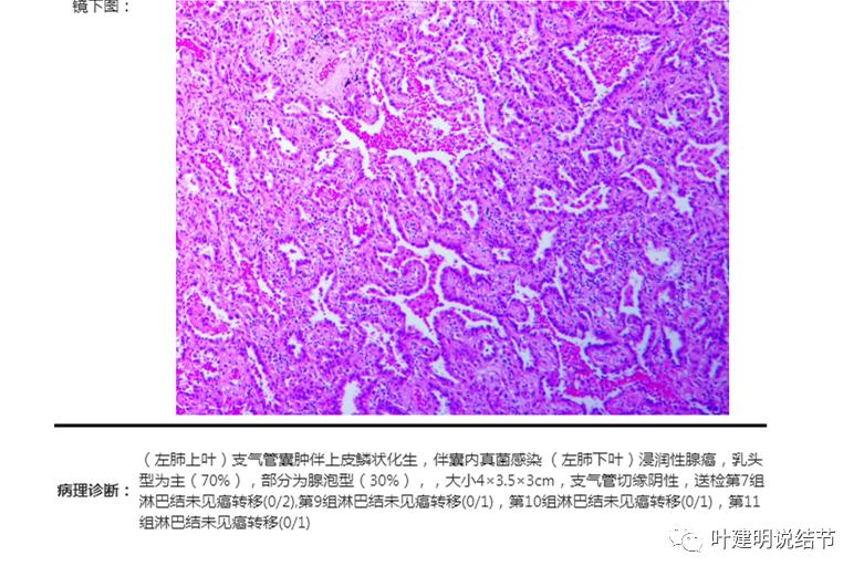
上图是当时左下叶的浸润性腺癌病灶,位置也不好,而且大于3厘米,有实性成分,只能做肺叶切除的。

上图是当时的病理报告。上叶是支气管囊肿伴上皮鳞状化生,伴囊内真菌感染;左下叶是浸润性腺癌,乳头型为主,部分腺泡型,淋巴结是阴性的。但她的肺确实是影响大,下面是术后左肺的样子:

就留这么点肺,还是膨胀开了,虽然恢复慢,最后终于逐渐好转了一些:

到了当年8月,残肺张的好了点

到了术后一年左右,左残肺膨的大多了,关键时积液明显吸收好转,纵隔也移过来,肺功能逐渐有所改善。
近日某A来复查,见右下叶结节较前有所增大进展。某A告诉我,2年多前已经告诉她右下结节也可能是恶性的,但特征还不够典型,需以后随访对比。另外即使恶性,也要拉长两肺手术的间隔才有可能切除,否则肺功能也无法耐受再次手术。这我倒真有些记不清当时具体的*法讲**了呢。我们先来比较下右下肺这结节每次复查时的对比:

前次手术时右下结节偏实性,不太致密,边缘显模糊,还不能认定为恶性,但需随访观察对比

到了一年后,这结节没有吸收好转,反而边上较前清楚了一点起来,仍像磨玻璃过渡到实性的阶段(偏实性,但又不是很密实)

到了今年1月份时,结节还在,瘤肺边界似较前清楚了点

这是最近一次平扫的片子,此结节感觉有膨胀感,边界较清,位于肺底,贴膈面。我们从数次复查的对比,看来该结节是缓慢进展的,不吸收也不钙化,也不是纤维增生或条索状瘢痕的样子。在门诊我仔细对比了这些不同时间的片子后,认为右下这结节也极可能是恶性的,该干预。所以我们进一步查了靶扫描:

病灶出现,与膈肌间隙欠清

病灶呈实性密度,与膈肌间在此层面上看,并不侵犯或粘连,还是有缝隙的

上图粉色箭头示与膈肌间的缝隙,紫色箭头示病灶有细毛刺征,红色箭头示病灶实性密度

上图见病灶较为典型的恶性征象,边缘有细毛刺,也有少许磨玻璃(绿色所指),还有血管进入(桔色),总体上看,像颗杨梅

上图也是较为典型的恶性样子,有血管征,有边缘细锯齿状,且存在2年多不吸收好转,也不钙化或成疤痕样收缩

病灶似有毛刺,部分偏长

病灶有毛刺或牵拉的样子,也有少许磨玻璃密度(在边缘部位)
但她的左肺已经剩下没多少了,右边还能开刀吗?不开有没有其他办法?这个位置穿刺活检或消融大概都因过于靠近膈面是有一定困难的,取不到病理,化疗或放疗也不妥,况且目前理论下,手术以外的其他治疗还不是首选的方法。而若手术,因结节位置在外周部位,不到2厘米,若非高危亚型,局部切除倒肺功能损失并不大。于是收住入院先查查肺功能与血气分析等指标评估下:

肺功能是不理想的,重度混合性通气功能障碍;MVV也中度下降。

氧分压也低于正常值的下限

肿瘤指标中的CEA也有异常
如此的左肺放在那,血气分析与肺功能也都不理想,手术能不能做?术中左侧单肺通气是肯定不能维持氧合的。我们经过与手术室、呼吸科以及手术组人员的讨论,认为手术时只能间歇暂停通气获得操作时间,当皮氧不能维持时又停止操作让先通通气,等皮氧上来又停几分钟,如此反复把手术做下来。另外不管病理是什么,局部切除完全去除病灶并取得病理结果是最重要的,不能进一步切肺叶。但若胸腔粘连的话,这手术得不知道要费多少周折与时间!
经过与患方的充分沟通,决定拟行单孔胸腔镜下右肺下叶部分切除术。其实对于这样的病人,即便是楔切这样的小手术,也需要患方的充分理解,更需要医生团队的责任担当。开这样的手术,对技术上的提升没什么帮助,但围手术期及术中均要担风险的。体现的应该是作为医者的担当与仁心,毕竟对于发展缓慢的早期肺癌,手术完整切除应该是最恰当、最有效的治疗方式。大体标本见病灶处肺表面显灰黑,剖开后剖面灰白,质较硬。术中送快速切片确认是浸润性腺癌:

电话报告是腺泡为主型。我想对于发展缓慢的非高危亚型,才约1.5厘米左右的结节,局部切除的效果肯定好于化疗或消融等其他治疗措施。当然好在,进胸后发展,某A的上叶与中叶均与胸壁粘连,下叶的背段与后基底段也是粘连的,但内、前、外基底段却基本不粘连。运气还真不错!
(此处已添加医疗卡片,请到*今条头日**客户端查看)