
作者:李新明,董欢欢,宋立刚,马宁

单位:首都医科大学附属北京天坛医院

本周我们汇报一例右椎动脉V4段狭窄支架治疗的病例,诊治过程具体如下。

病例详情
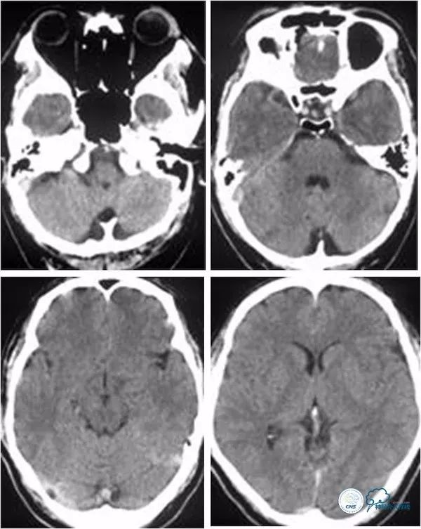
患者,男,49岁。主因“头晕、视物重影17天”入院。17天前患者无明显诱因突然出现头晕、视物重影,伴行走欠稳,就诊当地医院,行头颅CT平扫未见明显异常(图1)。

图1
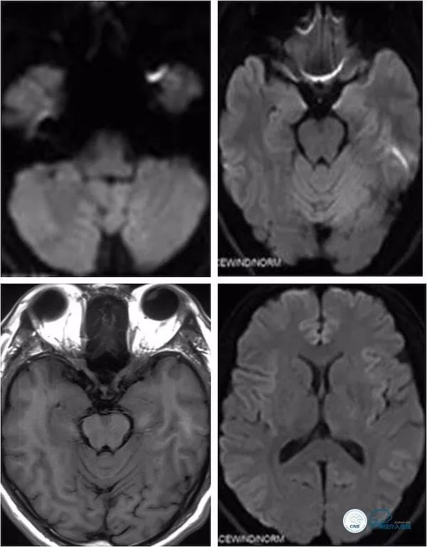
头颅核磁检查:未见明显新近梗死(图2)。

图2
头颅MRA:右椎动脉V4段及基底动脉狭窄(图3)。

图3
头颈部CTA:左椎动脉闭塞,右椎动脉V4段狭窄,基底动脉局限性狭窄,双侧后交通动脉开放(图4)。

图4
诊断为后循环短暂性脑缺血发作,给予抗血小板聚集,调脂稳斑等治疗后症状有好转。为进一步诊治就诊我院。
既往史:高血压病史2年。有吸烟饮酒史。
查体:NS(-)。
化验检查:LDL:1.03mmol/L,TG:1.82mmol/L。
入院后给予双联抗血小板聚集(拜阿司匹林肠溶片100mg 1次/日+氯吡格雷片75mg 1次/日)、降脂(阿托伐他汀钙片20mg 1次/日)等治疗。
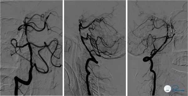
DSA:双侧颈动脉系统未见异常,双侧后交通动脉开放,右颈动脉造影可见基底动脉中上段显影。左椎动脉闭塞,右椎动脉V4段重度狭窄,基底动脉中段偏心重度狭窄(图5-8)。

图5

图6

图7

图8
CTP:脑干、小脑低灌注(图9)。

图9
高分辨核磁:右椎动脉V4段斑块形成并狭窄(图10)。

图10
术前讨论
1.患者有后循环缺血症状,影像学示右椎动脉V4段重度狭窄,基底动脉中段重度狭窄,前向血流较差,椎基底动脉为责任血管,有介入指征。
2.治疗策略:患者为椎基底动脉串联狭窄,拟解除右椎动脉V4段狭窄,考虑到基底动脉中上段经前循环代偿显影,故暂不行基底动脉支架置入术。
3.右椎动脉V4段狭窄远端毗邻穿支,拟选用稍小直径球囊预扩张,再放置自膨式支架。
4.相关风险:扩张困难,穿支闭塞,急性、亚急性血栓形成。
治疗过程简述:全麻下右股动脉入路, 6F Guiding导引导管至右椎动脉V2段远端,术中造影示右椎动脉V4段重度狭窄,基底动脉中段中重度狭窄(图11)。

图11
将Transend微导丝(0.014″,300cm)通过狭窄,放置在左小脑上动脉,沿微导丝送入Gateway球囊(2.0mm×15.0mm)于狭窄处预扩张(图12)。

图12
撤出球囊导管,沿Transend微导丝送入Wingspan自膨式支架(3.0 mm×20.0mm),释放后造影示支架贴壁良好,前向血流TICI 3级(图13,14)。

图13

图14
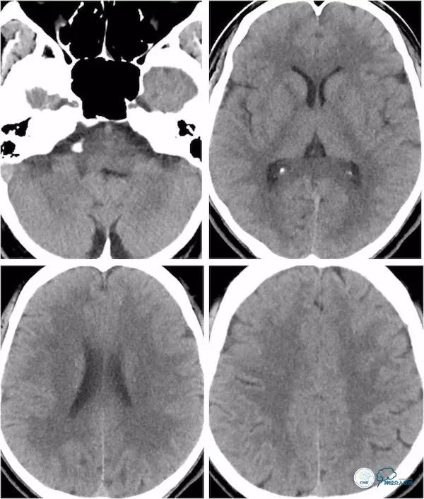
术后CT:未见出血(图15)。

图15
术后CTA:右椎动脉V4段支架内通畅(图16)。

图16
后循环CTP:灌注较前明显改善(图17)。

图17
讨论
本例系右椎动脉V4段及基底动脉串联狭窄,但基底动脉狭窄远端侧支代偿,未予以同期处理;右椎动脉V4段狭窄系偏心分布,毗邻穿支且斑块波及范围较广,故球囊预扩张后放置了一稍长长度的Wingspan支架。
•
我们下周继续~
大家都在看
┣ 王拥军教授:中国脑血管病疾病疾病负担和对策
┣ 高峰教授:颅内动脉狭窄支架成形中的边支保护技术
┣ 蔡艺灵教授:急性缺血性卒中超时间窗患者的选择和策略
┣ 焦力群教授:颅内动脉支架的亚洲发展

急性缺血性卒中血管内治疗培训班
颈动脉支架植入技术培训班
颅内动脉狭窄血管内治疗培训班
脑静脉及静脉窦病变诊断和治疗培训班