病例一
病史:
男,61岁;主诉:胡言乱语、头痛2天;2月余前曾患脑梗死,表现为胡言乱语,经治疗症状好转。
图像:




影像描述:
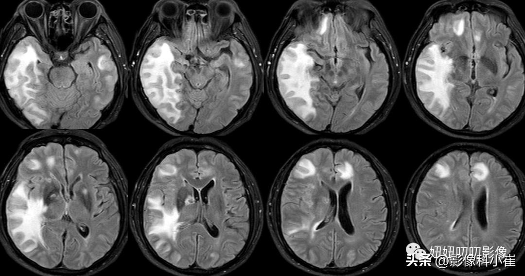
双侧基底节区、侧脑室周围白质、额顶叶皮层下见多发斑点状、斑片状等长 T1、长T2 异常信号灶,T2 Flair呈高信号,DWI及ADC示右侧基底节区病灶扩散受限。脑室系统形态未见明显扩张脑沟、脑裂未见明显增宽。中线结构未见明显移位。
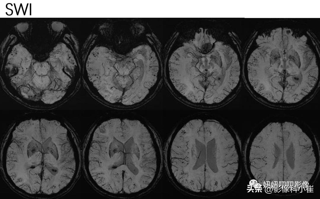
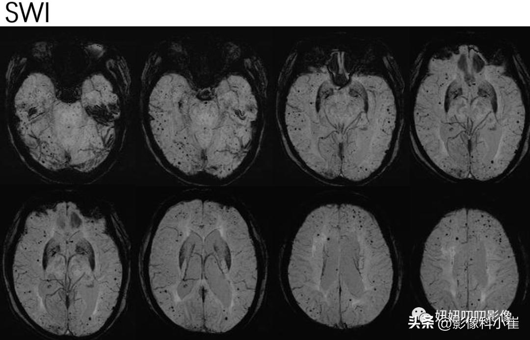
SWI:双侧小脑半球、大脑半球见多发大小不等斑点状低信号,病变多位于皮质区及皮髓质交界区。
MRA示:双侧颈内动脉颅内段及大脑前动脉、大脑中动脉走行僵直,管壁欠光整,管腔粗细不均,双侧虹吸部及左侧大脑中动脉可见多发局限性管腔狭窄。双侧椎动脉、基底动脉、大脑后动脉走行僵直,管壁不规整,可见局限性血流信号减弱。颅内未见异常血管显影。
学生发言:
之前有脑梗,再看平扫,但看T2-FLAIR谁知道是肿瘤、脱髓鞘还是血管性病变,结合之前病史,加上MRA血管狭窄,增强没有强化,还是考虑血管性,但是不做SWI真看不出来这么多微出血灶;
做了SWI就能想到脑淀粉样血管病,如果有痴呆和脑出血的征象就更贴合了,可是常规也就来个MRA,T2出血灶明显会有含铁血黄素可见,一般这种病没SWI还真不好看,所以要有个弦啊,痴呆、血管病变、有出血征象,就要来个SWI看看。
病例二
病史:
女,80岁; 主诉:记忆力下降、性格改变5年,加重3年
图像:


影像描述:
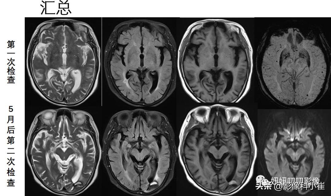
左侧枕叶皮层下见截面大小约 1.6X1.2cm 斑片状短T1、长T2倍号,周围见环状短T2倍号,DWI示病灶弥散受限。耕眠体及双侧大脑半球皮层下、半卵圆中心、侧脑室旁白质、基底节区、丘脑见多发班片状、点状等长 T1 略长 T2 异常信号灶,FLAIR 呈高、低信号,DWI 未见明显弥散受限。脑室系统未见明显扩张,脑沟裂增宽、加深,中线结构未见明显移位。双侧筛窦、上领窦粘膜增厚,呈长T1长T2信号。
SWI:双侧大脑半球表面见多发、弥漫性低信号灶。
学生发言:
第一次的图像,没有SWI打死也想不到脑淀粉样病变;
第二次有脑叶出血了,可以提示做个SWI,然后看到全是微出血灶,所以更提示脑淀粉样血管病了
老师总结:
①:看到SWI能想到,脑淀粉样血管病,出院诊断也是这个;
②:一般临床年龄大,有阿尔兹海默病,建议做个SWI除外下这个病,这个病激素+免疫*制剂抑**,治疗效果还是不错的;
③:原理:Aβ蛋白的清除减少,Aβ蛋白沉积于大脑皮质及软脑膜等处的微小血管,外膜增厚,血管缺血改变,然后又分泌炎性因子,破坏内中膜血管壁,导致出血。
④:影像:脑叶出血+脑微出血+大脑凸面蛛网膜下腔出血+铁沉积——提示 脑淀粉样血管病;临床:阿尔兹海默病+年龄。

#头条文章养成计划##暑假创作大赛#