事情是这样的,烟酒都来的我爸在五十出头的年纪掉了第一颗牙,考虑到如果不及时补救这颗牙会导致其他牙齿提早退休,我爸都还没退休牙退休可不行...
于是他自己主动找了身边医生朋友最后消费5400全款种植了一颗牙,经历了种牙基底,长好伤口基底稳定,镶嵌陶瓷牙(质保10年),耗时小半年装上了这颗牙,继续开开心心的吃吃喝喝了。

然后我就注意到了我妈的牙齿,已经坏了三四颗了居然还没治,我很不理解,我爸既然知道牙齿坏了要修为啥能让我妈七八年如一日的顶着一口坏牙进食(我小时候我妈就在治牙了,没想到拖了这么久没有治疗)。
我爸也很无辜两手一摊说:家里钱都是你妈妈在管,再说你妈妈也没找我抱怨过牙不舒服啊...
我又去问我妈,她说想等牙齿治疗进医保,而且这么多年也过来了忍忍说不定忍到牙齿掉完直接戴假牙就好了。而且小时候去的一家小诊所没有治好,后面她反反复复发作治疗的觉得麻烦,就硬忍到我工作后因为老爸种牙的事情才关心到她牙齿的病症...
看牙治病一定要去正规专业的诊所治疗,如果公立医院怕挂号麻烦也需要去找找周围有资质纠纷少的诊所治疗。(可以上天眼查等网站查询诊所公司资质及是否有过往医疗事故法律纠纷,提前查好免得花了钱还耗时耗力治不好)
祝愿医疗行业千万不要出现劣币驱逐良币的情况。
我很无奈,我父母这六七十年代的一辈人对牙齿健康确实不重视,觉得不算病不影响生活忍忍就过去了。但牙齿的健康不仅是口腔进食这一块,可能会导致牙齿过早脱落,进食困难并发胃部及身体其他部位的症状。
但赚钱是为了让家人更好的生活,否则挣钱再多也没有意义。
钱就是该花在有意义的事情上,给爸妈治疗牙齿肯定算一件。然后我就全城找给老妈看牙的诊所。以下是我妈的牙片记录:

一共有两处损坏
右侧拔出一颗牙齿后,空缺处容易积累食物残渣导致蛀牙,损坏了牙齿表面需要进行补牙或者根管治疗装牙冠。
补牙:牙齿仅损坏表面,一般花费一千以内就能补好牙齿表面。
根管:牙齿损坏到牙齿内部神经,需把牙齿萌出的部分打个洞,将最坏的神经清理好后,再补牙甚至替换原先的牙,用制作的牙冠替换原先的牙。正常价格在两千以上一般。
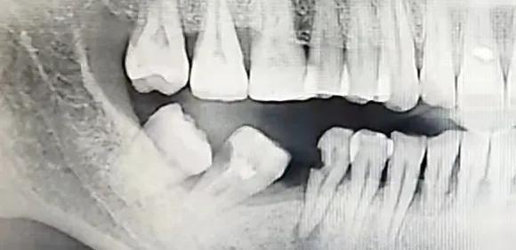
这个是我妈左侧最严重的部分:

左侧蛀牙拔出一颗后,由于常年的牙齿空缺进食导致本来的好牙发生了侧倾,还顶坏了另外一颗好牙。
最后咨询多家诊所后,基本确定了我妈牙齿的治疗情况:
左侧需要根管治疗或者补牙并拔出已经损坏的两颗牙齿,种植两颗牙齿并覆盖一个义体牙冠。
右侧对损坏的牙齿进行补牙或者根管治疗,种植一颗牙齿。
最后我爸托熟人医生订好方案,总共花费了一万八千多,原先正规流程或者大城市估计花费的要更多。

我妈拔牙后种牙记录
可惜我爸妈要是在我小时候能意识到牙齿治疗的重要性,就不会让我妈忍受这么久牙齿损坏带来的不便(仅能用单侧一颗牙齿进行咀嚼,因为另外一边牙神经受损容易被刺激疼痛),如果小时候我父母选择了正规的治疗方案,可能花费也不至于近两万。。
医生也说这样的情况会导致病人进食减少甚至厌食,可能也会诱发一些肠道疾病,损坏的牙齿不及时治疗也会牵连原先正常健康的牙齿。

我妈牙齿种植后的ct图
最后花费半年时间,我妈重新又拥有了一口能够正常咀嚼进食的牙。应该能陪她到六十五岁,但前提是注意牙齿健康...
希望大家能注意小孩老人的口腔健康,免得小病像我妈这样没有观念拖到大钱来治...