南医大发现一种与焦虑症相关的蛋白
有助于研究更有效的抗焦虑靶向药

课题组。南医大供图

实验照片。南医大供图
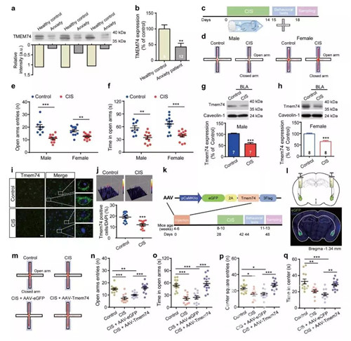
南报网讯(通讯员 张彦会 蔡心轶 记者 谈洁)当下,焦虑已成为人们最常体验到的一种情绪。针对我国人群的流行病学调查显示,焦虑障碍的患病率高达5.6%。南京医科大学教授课题组研究发现大脑区域中的一种蛋白,它可对焦虑行为进行调控。这一成果近日在《分子精神病学(Molecular Psychiatry)》在线发表。
大脑有许多的独立的功能区域,每个区域“分管”不同的心理能力,大家“各司其职”。有研究发现,大脑中有一个叫做“BLA(基底外侧杏仁核)”的“专管”焦虑相关行为的区域。南医大韩峰教授课题组与基础医学院卢应梅教授、浙江大学药学院陈忠教授合作,筛选出了一种Tmem74蛋白,它能够影响BLA区域的神经机制,对焦虑行为进行调控。
“我们发现,Tmem74蛋白在成年人脑内高度聚集,焦虑发生时,Tmem74蛋白量显著下降。”论文第一作者、博士研究生邵玲小介绍,课题组从小鼠身上发现,焦虑一旦发生,小鼠脑中BLA区的Tmem74蛋白表达会明显下降;相反,如果在该区域中想办法让Tmem74蛋白过表达,小鼠就会出现抗焦虑行为。
Tmem74为什么会直接影响到焦虑行为呢?这就好比,BLA是一条水泥路,Tmem74蛋白是水泥,水泥一旦减少或者缺失,小路上的石子这些神经元就“鸠占鹊巢”活跃了起来,小路的功能就破坏了,表现在人身上就可能会导致情绪的不稳定等焦虑行为。
研究人员进一步监测发现,小鼠的运动协调性等其他行为,不会受到Tmem74缺失或过表达的影响。另外,有研究已提出,BLA锥体神经元对神经元活化的敏感性是决定生物体情绪和焦虑状态的重要因素,但具体机制并未阐明。该课题组把BLA区域锥体神经元上的Tmem74蛋白敲除掉,也会引发小鼠的焦虑,明确了Tmem74蛋白在调控焦虑行为中的重要作用。
研究为推进临床治疗焦虑的药物新靶点研究迈出了重要一步。“目前虽然临床有一些抗焦虑作用的药物,比如大家很熟悉的安定等,但这些药物都不是单纯针对焦虑症的靶向药,服用后头晕、乏力、嗜睡等副作用很多,且会形成对药物的依赖性。”韩峰说,这是因为对焦虑症的发病机制仍不完全了解和药物靶标不够精准。靶标的精准是研发新型创新药物和实现临床精准治疗的基石,团队的这项研究成果叩响了抗焦虑药物新靶标发现的大门。