近期收到关于颈动脉狭窄的问题有点多,我这里以一则临床治疗实例给大家讲述下这个疾病。
以下为5年前的病情介绍:
患者为一66岁老年男性,1年前无明显诱因出现头晕头重,未予重视,三月前头晕加重,不堪忍受,遂于1月前就诊于其他医院,入院行颈动脉彩超示:左侧颈内动脉起始部软斑,重度狭窄;双侧颈总动脉粥样硬化伴斑块形成;双侧颈内动脉起始部、颈外动脉起始部斑块形成。行CT检查提示陈旧性脑梗塞。保守治疗效果不佳,为进一步诊治,转到我院就诊,门诊以“左颈动脉狭窄”、“陈旧性脑梗塞”收入我科。
入院后完善相关检查,全脑血管造影示:两侧颈内动脉起始部重度狭窄,以左侧尤甚,左侧颈外动脉起始处1cm管腔向心性狭窄,程度80%。右侧颈总动脉末端管腔不规则轻度狭窄,右颈内动脉起始处2cm管腔狭窄60%,同侧颈外动脉起始处狭窄50%,远端右侧大脑前、大脑中动脉显示未见异常,左侧大脑前动脉借前交通动脉由右侧颈内动脉供血。
相关术前准备后,于2015年4月27日行手术治疗:患者仰卧位,心电监护,吸氧,麻醉师控制血压在130mmHg左右,尼莫同2.5ml/小时持续泵人,麻醉后穿刺右股动脉,引入8F鞘,并以Telescope技术(同轴法)引入5F/125cm椎动脉导管及8F MPA1指引导管在左颈总动脉远端,然后在路图下,送入0.014导丝,通过左颈内动脉近端狭窄段,然后以快速交换方式沿导丝引入保护伞至狭窄段远端,并张开伞。然后沿保护伞导丝送入4mm*15mm Quantum Maverick Monorail快速交换球囊,以压力泵预扩张至球囊内压16ATM后迅速释放球囊,然后沿导丝送入8mm-6mm*40mm Protégé锥形支架,定位后准确释放,造影复查见颈内动脉闭塞段开通满意,支架位置良好,颅内血流增加,原未显示的左侧大脑前动脉充盈满意。手术顺利,病人安返。
影像资料如下:

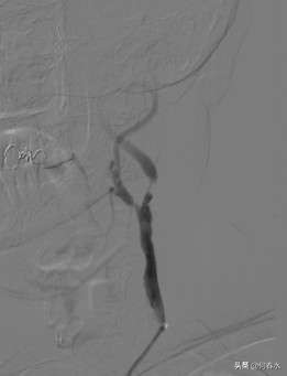
图片说明:造影显示,颈内动脉起始段重度狭窄,狭窄率达95%

图片说明:在远端保护伞的情况下,送入支架

图片说明:支架植入后,狭窄完全消失,远端保护伞随后取出
患者至今随访5年,支架通畅,头晕等脑缺血症状完全消失。但是春节后再次出现头晕不适,在职工医院检查发现右侧颈动脉重度狭窄,右侧颅内梗塞病灶,左侧颅内未有梗塞病灶。入住我科后,造影检查发现:右侧颈动脉重度狭窄伴有溃疡形成,左侧颈动脉支架通畅,右侧肾动脉重度狭窄。



右侧颈动脉重度狭窄且伴有溃疡,若采用保护伞类远端保护装置极有可能在通过保护伞的时候将狭窄处的血栓或斑块碰落引起脑梗塞,所以我们采用最先进的近端保护装置—MOMA阻断球囊技术,有效提高了手术的安全性。



从这则病例得到的启示:
(1)颈动脉狭窄与脑梗塞的关系:5年前左侧颈动脉重度狭窄,左侧颅内梗塞病灶,现在右侧颈动脉重度狭窄,右侧颅内梗塞病灶,说明颈动脉狭窄是脑梗塞的重要原因;
(2)颈动脉支架预防脑梗塞的有效性:患者5年前左侧颈动脉重度狭窄,左侧颅内梗塞病灶,5年来植入颈动脉支架通畅良好,现在CT复查未见左侧颅内梗塞病灶,有力地证明了颈动脉支架预防脑梗塞的重要作用;
(3)血管健康管理的重要性:患者有糖尿病、高血压、吸烟,5年来血管病变不断发展,直至累及右侧颈动脉和右侧肾动脉,面临再次脑中风及右肾功能丢失的风险,右侧颈动脉支架及右侧肾动脉支架避免了风险的发生,但是患者必须戒烟及严格控制血压,血糖,以防血管病变累及更多的血管;
(4)患者需要更加清楚认识支架的作用:作为一名临床医生,我也不愿意轻易为患者植入支架。需要严格掌握指针,该名患者双侧颈动脉及肾动脉严重狭窄,若不及时植入支架,脑中风和肾功能丢失的风险极大,这种必要性已经被多项临床研究和实际例子证实。
所以,患者一方面不要抱有侥幸心理,若血管病变达到需要植入支架的指针时,一定要积极治疗
另一方面,并不是支架植入后就万事大吉,支架只是解决的局部的血管病变,全身血管病变的进程仍在发展,需要血管健康管理阻断血管病变的发展。