你看过这张当时火遍微博的照片嘛↓
大S和汪小菲大女儿的
“淑女坐”

腰背挺直,双腿并拢,
真正的『坐有坐相』
网友纷纷夸赞到:
气质和教养拿捏得死死的!
『站有站相,坐有坐相』,很多家庭都是这样要求小朋友的,算是一种基础的礼仪与礼貌。但是很多小朋友的站姿或坐姿却是酱式儿的↓


别不当回事,以为孩子只是偷懒不好好坐和站!
孩子可能已经脊柱侧弯!这可能将会影响他的一生!

啥是脊柱侧弯?
脊柱是身体的中心杠杆,维持着身体平衡。正常人的脊椎是一条直线,并且躯干两侧对称。脊柱侧弯患者的脊柱则呈“C”形或者“S”形弯曲。就像这样↓↓


脊椎侧弯对健康有哪些危害?
01
影响身高
孩子出现脊椎侧弯后,原本挺直的脊椎弯曲了,自然就会影响身高发育,造成发育不良、个子长不高。
02
外观畸形
孩子脊柱侧弯后,会出现两个肩膀高度不一样以及驼背等情况,导致身体外观畸形。
03
影响心肺功能
孩子脊柱侧弯后出现腰背疼痛,产生骨刺,压迫脊髓或神经,引起截瘫或椎管狭窄,导致限制性肺病,影响胸廓发育,压迫心肺,进而引起心肺功能障碍或衰歇。
04
影响女孩胸部发育
对女孩来说,脊柱侧弯会导致双侧乳房发育不均匀、一侧肋骨突出。
其实,脊柱侧弯不仅对孩子身体带来负面影响,同时也会带来心理的影响,很多孩子因为脊柱侧弯孩子羞于见人,产生自卑心理,严重的形成自闭性格。

脊柱侧弯形成原因
相对复杂,一般有如下四个因素
- 先天因素:如脊柱裂、腰骶融合等的患儿,本身脊柱发育过程就有问题。
- 外力及发育等综合因素:受外力影响,如长期书*过包**大、鞋子不合适、课桌椅不适宜,容易出现骨盆倾斜、长短腿等姿势问题;若再合并一些发育问题,或其他综合因素,可能会导致脊柱侧弯。
- 外伤导致的脊柱侧弯:如腰部受到撞击后往往会发生一些改变。
- 营养因素:脊柱侧弯的孩子通常都有的共性:吃饭挑食,不爱运动,心肺功能差。
当然,受先天遗传和外伤导致的两种脊柱侧弯的情况,靠人为干预并不能起到效果,但是由不良习惯和饮食不均衡造成的”侧弯“,是绝对需要及早介入的
所以,比弄清楚原因更重要的是发现。及早发现,可以及早开始介入和防治。
如何及早发现?
可在家自测也可去医院
一、看看孩子肩膀是否等高、胸部是否对称、髋骨是否水平,还可以让孩子站直,后背部弯下,看背部两侧是否对称。

(方法如图↑)
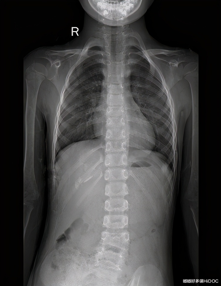
由两条腿不等长引发的脊柱侧弯,发现病因可以骨科矫正。此例孩子两条腿不等长,拍片看得很清楚,肉眼来看并不明显。若家长怀疑孩子可能存在此类问题,可到医院拍片检查。


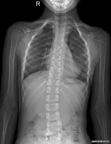
先天性脊柱侧弯站立、躯干前屈图。这例弯曲程度已比较大,一般孩子达不到这种程度,家长如有怀疑,可带孩子到医院拍片就诊。


二、问卷帮助家长做一个自我评估
- 你家族中有人被诊断为脊柱侧弯吗?Y/N
- 你的后背很疼吗?Y/N
- 你的一侧肩膀高于另一侧吗?Y/N
- 当你前倾的时候你的肋骨明显与其他肋骨高度不一致,向一边突出或隆起吗?Y/N
- 你的腰部不等高吗?/你髋部的一侧高于另一侧吗?Y/N
- 你的整个身体倾向于一侧吗?Y/N
- 你脊柱周围出现皮肤或质地的改变了吗?尤其是在基底层(如出现肌肉内凹,异常块状毛发,皮肤表面颜色异常等)Y/N
- 你的一条腿比另一条短吗?Y/N
- 你一侧的肩胛骨比另一侧突出吗?Y/N
- 你曾感到过双臂或双腿无力吗?Y/N
以上如有任一问题你的答案是肯定的,那么孩子就有脊柱侧弯的风险。
三、影像学检查最为精准
自测方法存在一定的不准确性,若要精确,各位家长带孩子来医院骨科,做X线、CT、核磁共振(MRI)等影像学检查来观测孩子的确切情况。


以上两例的脊柱侧弯状况在X光片中已很明显,然而孩子外观的异常肉眼感受并不强烈。如果家长有这个担心,做个检查会更放心。

怎么解决?
脊柱侧弯的问题要怎么解决,还是会根据具体的度数来决定治疗方案
1、小于10°的轻度侧弯:不属于治疗范畴
前面已经讲过了,小于10°的轻度侧弯,在医学上是不做干预的,就是医生不会给你开药,也不会让你去理疗正骨,但是坐姿站姿和平时的体态习惯一定是要注意的。不然10°会慢慢加剧到15°,20°……逐级递增,很快你就会扭成一团麻花。
2、中度侧弯:佩戴矫正器,做康复训练
20~40°的侧弯,属于中度的脊柱侧弯,需要佩戴矫正器,并联合康复训练。过程非常漫长且十分的辛苦。受罪不说,还会给正处在发育期的孩子,极大的心理压力,因为背上支架后的造型就像行走的“哥斯拉”。

3、严重侧弯:手术治疗
如果侧弯超过40°,这就是属于严重的脊柱侧弯,需要考虑要不要进行矫正手术。画面过于血腥,就是切开你的后背,把钉子打到你的脊梁骨里。


如何避免侧弯?
主要靠的还是日常习惯
其实大部分孩子的脊柱侧弯,去医院检查都是属于轻度的范畴,对于大部分的还在萌芽期的孩子,最需要的是在日常生活和学习的习惯中一点一滴注意。
1、“坐有坐姿、站有站姿”
正确的坐姿应为保持自然端坐位,头部略微向前倾,头和胸部保持自然曲线,避免过度前倾或过度后仰。正确的站姿为两脚平站,挺胸收腹,身体直立,额头与下巴保持垂直,颈部保持生理曲度,骨盆保持平稳。
2、加强体育锻炼
平衡肌肉,加强锻炼,提高力量,矫正不良习惯,纠正体态训练,学习正确姿势。游泳、登山等运动不仅能够预防姿势性脊柱侧弯,且对姿势性脊柱侧弯具有较好的纠正作用。
3、饮食营养均衡
积极地摄取均衡的营养,能够有效地帮助学生肌肉和骨骼的发育。保障维生素摄取的同时,饮用蛋奶,保障钙元素的摄入,切实在源头杜绝一部分脊柱侧弯情况的发生。
嘟妈说:
你注意过家里孩子的站姿坐姿问题吗?是不是也曾经像嘟妈一样,娃儿写作业时恨不得拿小棍子在背后敲,后背挺直!zhuan发本文,让更多的宝妈了解到重要性吧!