瘤体直径≥5cm的肝癌称为大肝癌,常由于肿瘤体积较大,因肿瘤侵犯脉管系统或肝功能储备不足而丧失手术机会。近年来,局部消融治疗取得了很大的进展,在影像引导下的序贯式联合治疗已越来越受到重视,成为当前临床治疗的热点。
持续性放射治疗能显著降低肝癌微血管的生成,而且不受肿瘤血供的影像。影像学引导下经皮125I粒子植入是逐渐兴起的局部内照射放疗技术,目前已应用于胸部、腹部、盆腔等不可切除实体肿瘤的治疗。体内植入125I粒子能够释放低能量γ射线和X射线,对肿瘤组织进行内照射。125I粒子半衰期近60天,肿瘤细胞接受放疗的时间较常规外放疗更具持续性,对*伤杀**肿瘤细胞更有优势。
与大家分享一个 125 I粒子植入联合微波消融治疗肝Ca的病例。
治疗前
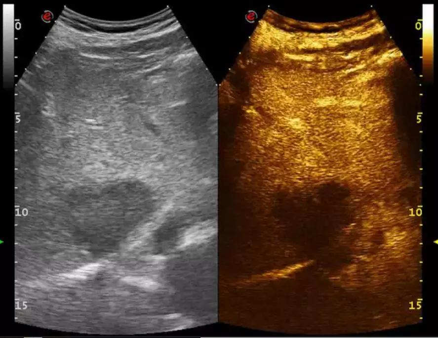
2D:右肝内可见一低回声结节,大小约5.6*4.4*5.7cm。
超声造影:经外周静脉注入声诺维2.4ml,右肝结节动脉期可见稀疏增强,稍高于周边实质回声,门脉期消退,后期消退明显。

超声造影静态图
操作过程: 患者仰卧位,常规消毒,超声择点定位,静脉麻醉下用18G活检针穿刺,进入右肝内病灶,取出实质样组织2条,送病理检查。

病理标本
治疗中
手术时间:2018年8月24日
术前诊断:肝癌
手术名称:肝癌125I粒子植入+微波消融术
手术过程:患者仰卧位,常规消毒,静脉麻醉支持下,在病灶内不同部位共植入34粒放射性粒子。超声择点定位,将2根微波针穿刺进入右肝内病灶不同层面,功率60-80W,连续消融总计24min,见高回声覆盖肿块,停止微波消融;消融针道并退针。
无明显出血,无明显并发症。
视频加载中...

照片(皮肤上的针眼)
治疗后
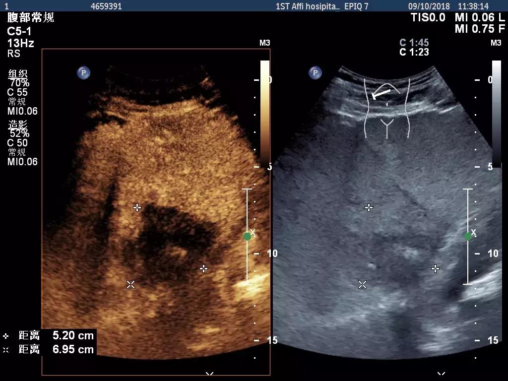
复查超声造影,消融区域未见明显血供,消融范围7.0*5.2cm,病灶完全灭活。

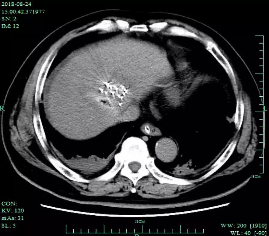
术后CT和MRI复查,显示粒子植入位置良好,消融病灶完全灭活。

术后CT平扫可见粒子植入位置良好

术后MR-增强序列病灶整体无增强
温馨提示:有关肿瘤问题可以点击左下方“了解更多”或私信免费咨询,平时身体有其他不适的话,都可以咨询我。↓↓↓