生完宝宝后,不少妈妈出现不同程度的 颈腰背痛 等症状。很多人以为,这是坐月子没注意而留下的“月子病”。
但是在已生育的女性中还有一种比较普遍的现象,就是生产过去了几年,还是会感觉腰酸背疼。这是什么情况?

病例分享
王女士今年30岁,是一位大学教师。
在她三年半前生了第一胎,和一年半前生了第二胎后,长期感到 腰背疼痛不适 ,而且还失眠了几个月,近一周左侧 偏头痛 明显,严重时还要服用止痛药来缓解;背部肌肉也有酸累感,偶尔有 心悸胸闷感 ,骶骨久坐后感觉疼痛,感觉蹲下来再起立时 身体会向前倾 。

由于身体多处不适,于是前来龙脊康就诊,我们用三步定位诊断后,发现是脊椎病问题。
检查
1、体格检查
C2/3左、C3/4左,T7-9棘突右压痛、L4/5右、S2右侧压痛。
经过测量,血压、脉搏、体温均正常。
末次月经:2021年10月上旬。
2、放射诊断
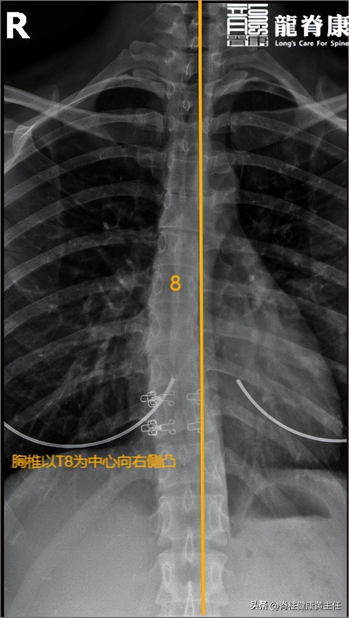
颈椎寰齿间隙不等宽,右宽左窄;颈椎多个棘突偏右,颈椎生理曲度变直;胸椎以T8为中心向右侧凸;腰椎多个棘突偏右。

左图颈椎张口位,右图颈椎侧位片

胸椎正位片

左图腰椎正位片,右图腰椎侧位片
治疗方案
针对患者的情况,主要采用龙氏治脊疗疗法--放松手法+复位手法:颈椎、胸椎、腰椎、骨盆(包含骶髂关节的手法复位);中频电疗:双侧肩井穴、腰骶两侧肌肉;通络宝:颈部、腰部。
病情变化
经过治疗1次后,患者觉左侧偏头疼基本消失,仍有胸腰交界处疼痛不适,双侧肩胛内上角疼痛感。
第3次来治疗时诉,平躺时右侧的腰骶部不能完全贴紧床板,伴有疼痛感,偏头疼再发,但较前轻;检查后发现骨盆右高左低,C2/3左侧压痛明显。
所以第三次腰椎复位前,先复位了骶髂关节,手法完成后患者平躺,右侧腰骶的不适感 已经消失 。

经过5-6次系统治疗后,患者症状基本缓解,2-3个月偶发1次左侧偏头疼, 定期巩固治疗 为主。
医生总结
王女士连续生育两胎,在刚生完第一胎后,没有充分休息的情况下,再次怀上二胎,脊椎 一直没有 得到调整和休息。而且两次怀孕的中后期,腰痛明显。
在看诊时,王女士还曾问到:出现这些症状,是不是因为月子没坐好,属于产后风?
其实,在孕晚期,孕妇会分泌两种激素:孕酮和松弛肽,它们会让骨盆 韧带松弛 ,以便胎儿顺利娩出,而颈椎、胸椎、腰椎等韧带也因为激素水平的增加,而处于松弛的状态,关节的 稳定性减弱 ,如果轻微扭伤或姿势不良,很容易发生 脊椎关节错位 。

产妇在正常分娩过程中,由于疼痛难忍,可能会因为产床上过度 扭曲身体 ,而导致本身已经松弛了的颈、胸、腰椎关节错位。
除了在分娩过程中的 姿势不当 引起脊椎问题外,在照顾新生儿的过程中,姿势不良,也容易发生关节错位。

因为有些产妇的激素在分娩后很快能恢复到正常水平,而有一些人常常需要一个月甚至更长的时间。
因此,激素水平和韧带松弛表现也需要一段时间才能修复。而在此期间, 不良的哺乳姿势、枕头过高或过低、长时间低头弯腰弓背 等都容易导致脊椎关节错位。

因此,在怀孕前,女性应注意 锻炼身体 ,加强核心肌群锻炼,这样不但可增强体质和肌肉力量,便于日后分娩,也可减少怀孕时的腰酸背痛。
怀孕后,可以做一些颈椎和腰椎的 自我活动 ,或者进行局部热敷等都能锻炼肌肉和保护关节。
如果经过检查,这些颈腰背痛是由 关节错位引起 的,经过专业的医生/治疗师进行小关节复位和调整,症状是可以痊愈的,而且越早治疗效果越好。