常年在广东务工的巫先生,今年57岁,此前因胆石症做了2次开腹手术胆管取石和2次经十二指肠镜行胆总管下段取石术,近30年来巫先生深受病痛折磨,开腹手术带来的并发症,也困扰着他的生活。然而不幸的是,近两个月来巫先生再次出现上腹痛症状,到医院一检查,果不其然又被诊断出肝内多发结石,且已发展致肝硬化,辗转广东中山、梧州等多地寻求诊治,由于肝内胆管结石位置深,取石困难,医生均建议他再次接受开腹手术治疗。

▲开腹手术留下的疤痕
前几次手术带来的痛苦让他心有余悸,结石的反复发作更是让他和家人饱受折磨,再次接受手术,身体能吃得消吗?术后恢复会好吗?……这些问题困扰着巫先生和家人,因此他迟迟没有到医院接受开腹手术,选择继续观察保守治疗,晚上经常需要口服止痛药才能入睡,严重影响他的日常生活。

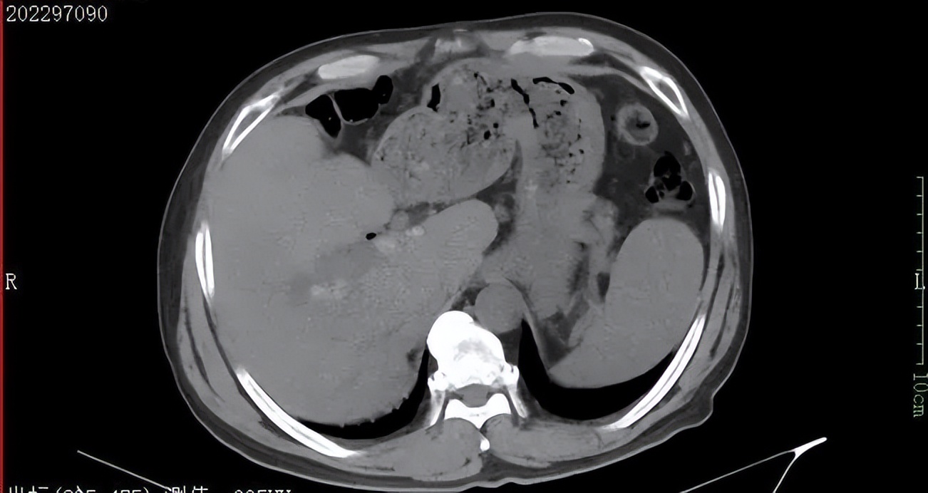
▲术前CT检查
正直清明时节,巫先生从广东返回平南时朋友告诉他,平南县第二人民医院普通外科可以用微创手术就能取出肝内胆管的结石,巫先生将信将疑来到我院寻求诊治。普通外科主任黄明柱了解了他的病情和顾虑后,完善相关检查后,第一时间组织了科室讨论。经过科室的评估和讨论,结合病人的意愿,决定予以实施经皮肝穿刺胆道硬镜碎石取石术,无需开刀,只需要在病人的右侧胸壁上开一个筷子粗的口子,就可以取出结石,引流感染的胆汁。

▲经皮肝穿刺胆道硬镜碎石取石术后
一切准备就绪,黄明柱带领手术团队在手术室、麻醉科、超声科的协助下,成功为巫先生施行经皮肝穿刺胆道硬镜碎石取石术。术后第二天巫先生就可以下床活动和进食,目前巫先生恢复良好并顺利出院。

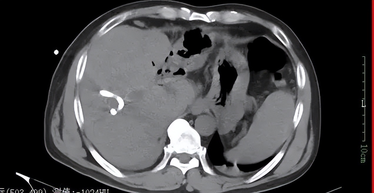
▲术后CT
我院普通外科开展经皮经肝硬质胆道镜技术,在治疗肝内外胆管结石,特别是对有多次开腹手术史或胆肠吻合口狭窄的病人,有独特的优势。创伤小、恢复快,并且符合现代医学的精准外科及快速康复理念。目前此项技术在区内处于领先水平。
来源:普通外科
编辑:宣传科 核对:尤雄民 审批:梁家美