患者男,63岁,山西省永济县人。
一、李小勇脑脊液科入院前病史
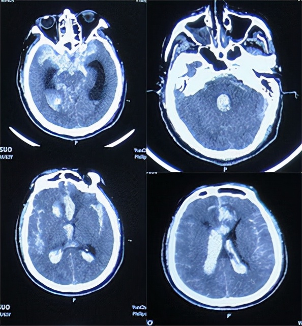
患者2020年10月16日6时30分晨起突发头晕呕吐,伴有意识不清,家属拨打120,将其送入山西省运城市某医院,急诊查头部CT示额叶脑出血伴广泛蛛网膜下腔出血、脑室内铸型( 图-1 );住入重症病房。

图-1: 2020年10月16日头部CT:额叶脑出血伴广泛蛛网膜下腔出血、脑室内铸型
住院次日即2020年10月17日3点行全脑血管造影术示前交通动脉瘤(片子遗失);但当天晚上22时左侧瞳孔散大到边缘,急诊复查脑CT示动脉瘤破裂二次出血( 图-2 )。

图-2: 2020年10月17日头部CT动脉瘤破裂二次出血
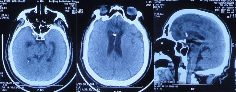
入院第一天(2020年10月17日)23时50分,急诊行动脉瘤栓塞术+右侧脑室外引流术。入院第二天(2021年10月18日),复查头部CT示动脉瘤栓塞+脑室外引流术后,脑室内血肿铸型( 图-3 )。

图-3: 2020年10月18日头部CT
术后患者发热37-38℃,但是术后3天体温38-39℃。留取脑脊液培养结果是表皮葡萄球菌,诊断颅内感染,静脉点滴万古霉素+美罗培南。
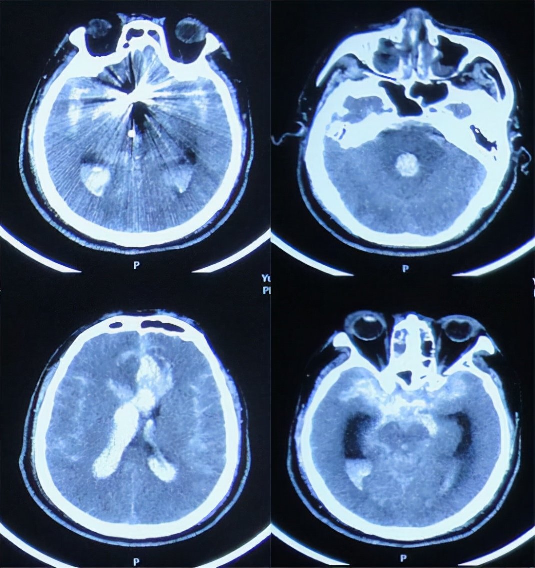
2020年10月20日,10月22日两天复查头部CT示颅内出血逐渐减少(引流)( 图-4、图-5 )但双侧颞角稍有扩张。

图-4: 2020年10月20日头部CT

图-5: 2020年10月22日头部CT
入院第8天(2020年10月24日),侧脑室外引流术术后6天,为预防颅内多重感染,拔除侧脑室外引流管。拔除引流管后复查头部CT显示颅内血肿明显减少( 图-6 )。医师考虑患者长期昏迷,便于管理气道,当天气管切开。

图-6: 2020年10月24日头部CT颅内血肿明显减少
拔出脑室外引流管后多次行腰椎穿刺放脑脊液,脑脊液化验白细胞,蛋白逐渐减少。入院第10天(2020年10月26日)腰大池持续引流术,一直持续到转入李小勇脑脊液科前1天拔出除引流管。
2020年10月30日-2020年11月7日,一周期间共复查4次头部CT,颅内血肿逐渐吸收,但脑室略有增大( 图-7、图-8、图-9、图-10 )。

图-7: 2020年10月30日头部CT

图-8: 2020年11月1日头部CT

图-9: 2020年11月3日头部CT

图-10: 2020年11月7日头部CT
患者一直昏迷,体温波动在37.2-37.4℃。家属通过网络查询联系到北京北亚骨科医院的李小勇脑脊液科,于2020年11月13日转来我院。
二、李小勇脑脊液科治疗过程和结果
患者于2020年11月13日(脑动脉瘤栓塞术后27天,脑室外引流、腰大池引流共持续20余天)住入李小勇脑脊液科。入院时:睁眼昏迷,强刺激有痛苦表情但双上肢不能动,双侧下肢稍微活动( 图-11 )。

图-11: 2020年11月13日入院时
入院当天查头部CT示脑积水,前交通动脉瘤栓塞术后的金属影( 图-12 )。

图-12: 2020年11月13日头部CT
入院后完善检查,于2020年11月14日,脑室外引流术,流出黄色脑脊液。术后当天复查头部CT( 图-13 )脑室明显缩小,引流管位置满意。

图-13: 2020年11月14头部CT
2020年11月14日-2020年11月26日(术后12天)引流出的脑脊液由黄色逐渐变为淡血性( 图-14、图-15 )。

图-14: 2020年11月16日

图-15: 2020年11月26日
2020年11月30日(入院17天,术后16天)脑脊液多次培养无细菌生长,行脑室长程引流术,术前复查头部CT( 图-16 ),脑室周围水肿变淡,正常脑室。

图-16: 2020年11月30头CT
2020年11月30日(入院17天,术后16天)病人意识有所恢复,可简单遵嘱活动。
2020年12月8日(入院24天)患者意识明显好转,右侧上肢可以触摸鼻头,左上肢活动差但能够抓握( 图-17 )。

图-17: 2020年12月8日
2021年1月17日(入院后63天),常规复查头部CT,引流术后脑室,大小正常( 图-18 )。

图-18: 2021年1月17日头部CT
2021年1月25日(入院后71天),患者意识清楚,右侧上肢可随意活动,但左侧上肢肌力3级( 图-19 )。

图-19: 2021年1月25日
2021年1月28日(入院后74天),患者可坐在轮椅上活动( 图-20 )。

图-20: 2021年1月28日
2021年2月5日(入院后82天)患者自行进食,双侧上都可以活动( 图-21 )。

图-21: 2021年2月5日
2021年2月13日-2021年3月4日,近1月期间复查两次头部CT脑室大小,没有变化,引流管位置良好( 图-22、图-23 )。

图-22: 2021年2月13日头部CT

图-23: 2021年3月4日头部CT
2021年3月15日(入院120天),进行了脑室腹腔分流术;术前复查头部CT( 图-24 )。

图-24: 2021年3月15日头部CT
2021年3月24日(入院130天)患者治疗满意出院,出院时情况,气管切开套管堵塞后可以正确对话,在家属的搀扶下可以行走( 图-25 ),复查头部CT脑室正常( 图-26 )。

图-25: 2021年3月24日

图-26: 2021年3月24日头部CT
三、出院后随访
出院后138天即2021年7月9日,通过微信随访:患者恢复良好,拄着拐杖能行走( 图-27 )。

图-27: 2021年7月9日
出院后155天即2021年7月26日,患者身体恢复很好,家人再次发来视频:患者已完全恢复自理能力,且能独立行走( 图-28 )。

图-28: 2021年7月26日
(完)