据媒体报道,一名7岁男童在医院进行全麻拔牙手术后昏迷,至今已经40余天,受到外界大量的关注。很多人认为,全麻手术应该都是比较危重的手术,如骨折手术、心脏搭桥手术、癌症扩大切除术等。很多人有疑问,小孩子拔颗牙怎么也要全麻呢?其实,拔牙并非小事,特别是骨内埋伏阻生的牙齿,为了顺利开展手术就需要在全麻下进行。

下面,作为一名口腔医生,一起来聊聊小孩子口腔全麻的这回事!
为什么儿童拔牙手术要全麻呢?
全麻,顾名思义就是全身麻醉,通过吸入、静脉滴注等让患儿处于睡眠的状态进行相关操作。那么,若是比较重大的手术大家都能理解,为什么小娃娃拔颗牙也需要如此(当然这里指的是埋伏阻生牙,常规的乳牙拔除大多在门诊是可以处理的)。

临床工作中常见的原因如下:
1、拔牙时间长,视野差,小朋友不可能一直配合张口;2、术中需要翻开牙龈及去除部份骨质,局麻达不到镇痛的要求,且术中有可能发生出血等风险,容易误吸引起呼吸困难;3、全麻下可以明显减少小朋友的恐惧心理,使小朋友长大后也能在门诊配合检查及完成相关操作,避免留下不可磨灭的阴影。同时很多研究表明,术前相关检查完善后,全麻是比较安全且风险发生率是很低的。

骨内埋伏多生牙,影像学检查才能发现
不止拔牙,儿童口腔治疗也可在全麻下开展
1.浅谈儿童乳牙
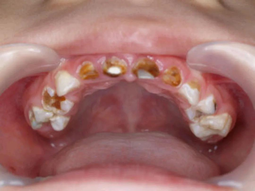
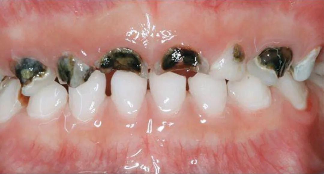
乳牙,很多家长认为小孩子的乳牙都会换,即使烂了也不用管,只要不疼痛都不用处理。其实,这是一个很普遍又很错误的观念。
乳牙发生龋坏后不及时处理,病变会进一步发展,发生牙髓炎、根尖周炎等给患儿带来疼痛,甚至感染加重引起全身发热、抵抗力下降等。值得一提的是:一般情况下乳牙虽然会更换,但其严重的根尖周感染会引起后继恒牙的发育,如迟萌、早萌、牙体形态异常等。

2.乳牙早失的危害
乳牙由于口腔卫生维护欠佳、钙化程度低等原因容易发生龋坏,一旦没有引起重视,牙体组织大面积缺失及周围组织感染严重后就会导致乳牙早失(还有一个常见原因是外伤)。
值得大家关注的是:乳牙对于咀嚼刺激、引导恒牙萌出、保持牙弓长度、促进颌骨发育等都有重要的作用。如果乳牙早失将会导致相邻牙齿失去邻接出现倾斜、对面的牙齿伸长、咬合关系错乱、恒牙萌出异常等各种畸形问题。而且多数乳牙缺失后,上下颌骨长期得不到足够的咀嚼力刺激,会使得颌骨发育不足,会引起地包天、牙列拥挤等现象。

3.儿童口腔全麻
除了前面谈到的全麻下拔牙,小孩子补牙也可以在全麻下进行。因为,小孩子配合程度差,口腔卫生情况不理想者,很多都是满口牙齿龋坏,甚至牙龈鼓包、松动等现象;而且常规的乳牙根管治疗一颗牙就需要3-5次,就诊时间长,治疗过程中也会有不同程度的不适。诸多原因使得小孩子在门诊处理口腔问题带来了困难。
因此,针对全口多发龋齿且不配合的患儿,都可以考虑在全麻手术下一次性完成相关治疗,既省时也减轻患儿的痛苦体验,这称之为舒适化治疗,目前在国内很多三甲医院都已经开展。

总结:正确认识全麻,提高口腔保健意识
全麻的开展,大到治病救人,与死神争分夺秒;小到可以舒适化处理儿童口腔问题。当然,任何操作都有其风险,我们不能因噎废食,盲目放大个例而“畏全麻如虎”。此外,口腔健康与全身健康息息相关,最重要的工作在于提高全民口腔保健意识和预防,如掌握正确的刷牙方法、全口牙涂氟、窝沟封闭、预防性充填等,这都有助于及时遏制病变的发展,维护良好口腔健康。
参考文献:
1.刘冰.冯彩华.张国良等.日间全麻下儿童口腔治疗后恢复及影响因素研究[J]:口腔医学研究. 2021,37(02)
2.严恩石.刘莉.余伊等.七氟烷和丙泊酚在儿童口腔日间手术全身麻醉效果的对比性临床研究[J]:口腔医学. 2020,40(07)
3.刘金蓉.邹廷前.敖川北等:全身麻醉在儿童口腔疾病治疗中的应用[J]:临床口腔医学杂志. 2016,32(06)
#7岁男童拔牙后昏迷40天# #生命召集令超能团##谣零零计划#