
在日常生活中,家长可能认为孩子患上“肝癌”的几率较小,时常忽视孩子身体与这方面相关的健康预警讯号。然而肝母细胞瘤俗称为“儿童肝癌”,在儿童常见的原发性肝脏恶性肿瘤中位居第一位,发病率较高。
为了早发现早治疗,今天带大家了解肝母细胞瘤 ......
什么是肝母细胞瘤

肝母细胞瘤常被人俗称为“儿童肝癌”,为儿童常见恶性肿瘤排名第三位,但与“成人肝癌”相比,其预后极好,既往资料显示 5年生存率可以达到80%。江西省儿童医院普外科已治疗近百例肝母细胞瘤患儿,熟练掌握细针穿刺活检、介入、手术、化疗等方法,经过规范治疗,5年生存率高达95%以上,治愈率极高。
肝母细胞瘤 (hepatoblastoma, HB)是儿童期最常见的肝脏肿瘤,在儿童恶性实体肿瘤中约占0.8-2.0%,多见于婴幼儿,尤其是出生后1-2年内多发,3岁以下患者占了85-90%,男性患儿多见,成人偶见。
肝母细胞瘤的临床表现
通常前期可触摸到宝宝肚子上有巨大包块,后期会出现黄疸、腹水、发热、贫血、体重下降、呼吸困难等较严重表现。
诊断检查做到位
肝母细胞瘤“现原形”
初期诊断: 腹部超声+血清甲胎蛋白(AFP) 是肝母细胞瘤初期诊断的两大关键检查。腹部超声显示肝脏单发实质性包块,少数病例可为多发病灶,病灶边缘清晰,回声轻度增强。血清甲胎蛋白异常升高,甚至高达几十万。 CT、MRI 等影像学检查可进一步明确肿瘤位置及转移情况。

确诊: 病理检查是确诊的金标准,我院采用的是无痛舒适化麻醉超声精准定位下肝脏肿瘤穿刺活检技术,整个过程约10分钟,患儿熟睡无痛,伤口仅1mm,即可确诊,相比传统手术活检创伤小、风险低、费用少。
打赢肝母细胞瘤“有方法”
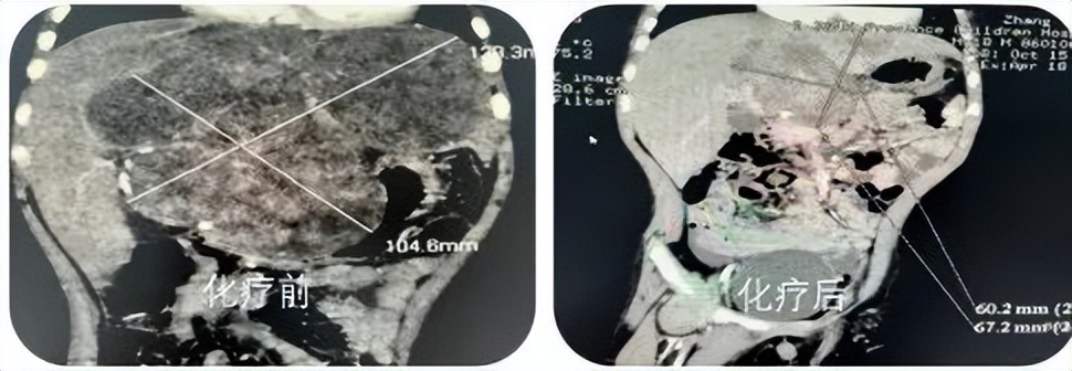
- 新辅助化疗: 与成人肝癌相比, 90%肝母细胞瘤对化疗敏感 ,通常经过1-2疗程化疗,肿瘤可缩小一倍以上,甲胎蛋白呈数倍下降,经过4个疗程化疗后肿瘤坏死缩小明显,再进行手术,切除组织减少,肿瘤活性明显减低,术后肿瘤复发、肝功能损伤等并发症明显减少,再加上术后规范化疗,预后较好。

- 手术治疗: 化疗后再进行手术,手术是治愈肝母细胞瘤的根本,肿瘤的完整切除是关键。
- 介入治疗: 对于少数化疗不敏感、发生肝肿瘤破裂出血的患儿,介入治疗不仅可栓塞肿瘤供血动脉进行微创止血,还可以对肿瘤进行精准药物化疗,全身反应轻,起到*管双**齐下的作用。
预后随访要记牢
- 第1年: 体格检查和AFP每1个月1次,胸片和腹部B超每3个月一次。
- 第2~3年: 体格检查、AFP、胸片和腹部B超每6个月一次。
- 第3~5年: 体格检查、AFP、胸片和腹部B超每12个月一次。
肝母细胞瘤是儿童预后较好的恶性肿瘤,关键是早发现早治疗,儿童肝母细胞瘤和成人肝细胞癌的诊治区别较大,预后差异明显,规范化诊疗方可帮助患儿战胜病魔,打赢肝母细胞瘤这个“小怪兽”。江西省儿童医院普外科是集小儿实体肿瘤科研、教学、临床“三维一体”的肿瘤诊治中心,在肝母细胞瘤的快速诊断、化疗、介入、手术等方面已达到国内先进、同质化诊疗水平,尤其是近些年该科室对肿瘤儿童进行心理疏导、游戏娱乐、人文沟通等方面进行拓展创新,增强“医患一家亲”的体验感,足以让患儿足不出省即可享受一站式肿瘤就医服务。
普外科·专家介绍

冯 亮:主任医师, 擅长小儿普外及新生儿外科疾病的诊治,尤其在小儿腹部外科、小儿疝外科的诊治方面有较深造诣。
出诊时间:【红谷滩院区】每周二上午;每周五上午特需门诊

邓庆强:普外科科主任,主任医师, 擅长腹部疾病、软组织感染、创伤、肿瘤、颈部囊肿及瘘管等小儿普外及新生儿外科疾病的诊治。尤其是利用小儿微创腹腔镜技术在普外方向疾病的手术方面有丰富的临床经验,在省内较早开展食管裂孔疝、胆总管囊肿、先天性巨结肠等复杂性疾病的微创治疗。
出诊时间:【红谷滩院区】每周三下午;每周四上午特需门诊

徐 维:日间病房主任,主任医师, 擅长小儿普外常见疾病的诊治,尤其在小儿斜疝、鞘膜积液、卵巢囊肿、颈部瘘管、腹部疾病等有较深造诣。
出诊时间:【红谷滩院区】每周三上午;【红谷滩院区】每周一上午特需门诊

雷斌:主任医师, 擅长小儿普外常见疾病的诊治,尤其在腹部疾病、软组织感染、创伤、肿瘤、颈部囊肿及瘘管的诊治方面有较深造诣。
出诊时间:【东湖院区】每周一全天;【红谷滩院区】每周三上午特需门诊

张守华:普外科副主任,副主任医师,博士, 擅长小儿普外和小儿肿瘤外科常见疾病的诊治。尤其是神经母细胞瘤、横纹肌肉瘤、肾母细胞瘤、肝母细胞瘤、错构瘤、腹部畸胎瘤、卵巢肿瘤、肠系膜囊肿及网膜囊肿、脾脏肿瘤、胃肠道肿瘤、血管瘤、淋巴管瘤等占位疾病诊治。在小儿实体恶性肿瘤的手术、化疗、放疗、介入、免疫、靶向等综合治疗方面有较高科研及临床经验。
出诊时间:【红谷滩院区】每周二下午;【红谷滩院区】每周四全天

雷俊:副主任医师, 擅长腹部疾病、软组织感染、创伤、肿瘤、颈部囊肿及瘘管的诊治。尤其在胸骨后疝、膈疝(后外侧)、膈膨升、巨结肠、食管裂孔疝、胆总管囊肿等疾病的手术微创治疗有较深造诣。
出诊时间:【红谷滩院区】每周五全天;【东湖院区】每周四全天

谌卫龙:副主任医师, 擅长腹部疾病、软组织感染、创伤、肿瘤、颈部囊肿及瘘管的诊治。尤其对腹腔镜治疗胆总管囊肿、食管裂孔疝、卵巢肿物、腹股沟斜疝等疾病的诊治有较深造诣。
出诊时间:【红谷滩院区】每周一全天;【东湖院区】每周五全天
注:出诊时间仅供参考,具体请以医院微信平台挂号排班为准。