【基本信息】女、6岁。
【疾病类型】左臀部静脉畸形
【治疗方案】硬化治疗
【治疗周期】3天
【治疗效果】好转
【推荐理由】静脉畸形经硬化治疗联合口服利伐沙班,凝血功能异常得到改善,疼痛症状明显缓解。
一、病史概况
患儿家长近期发现孩子说左侧屁股疼痛,肉眼可见左侧臀部肿胀,鼓包。家长先后就诊于多家医院行超声,X线等检查,超声提示左臀部髋关节后方肌层内低回声肿物,考虑血管瘤。核磁检查提示左髋后侧股方肌见不规则团块状占位性病变,大小约39*25*48mm。考虑血管瘤?通过网上查询,发现我院在血管瘤和脉管畸形治疗方面很有经验。遂来到我门诊看病。在看过病人后,结合超声,MRI以及化验检查,考虑患儿应该是左臀部的静脉畸形。这种低流速的血管畸形表现为静脉扩张或局部海绵状肿块,涉及多个组织和器官。在早晨起床、寒冷天气或长时间运动时出现疼痛。当合并局限性凝血功能异常时,则表现为更明显、更持久的疼痛,并伴有明显的肿胀和异常感觉。立即安排了相关术前检查,并抓紧安排住院治疗。

左侧臀部肿物 按压疼痛

MRI提示 血管畸形

MRI提示 血管畸形

MRI提示 血管畸形
二、治疗过程
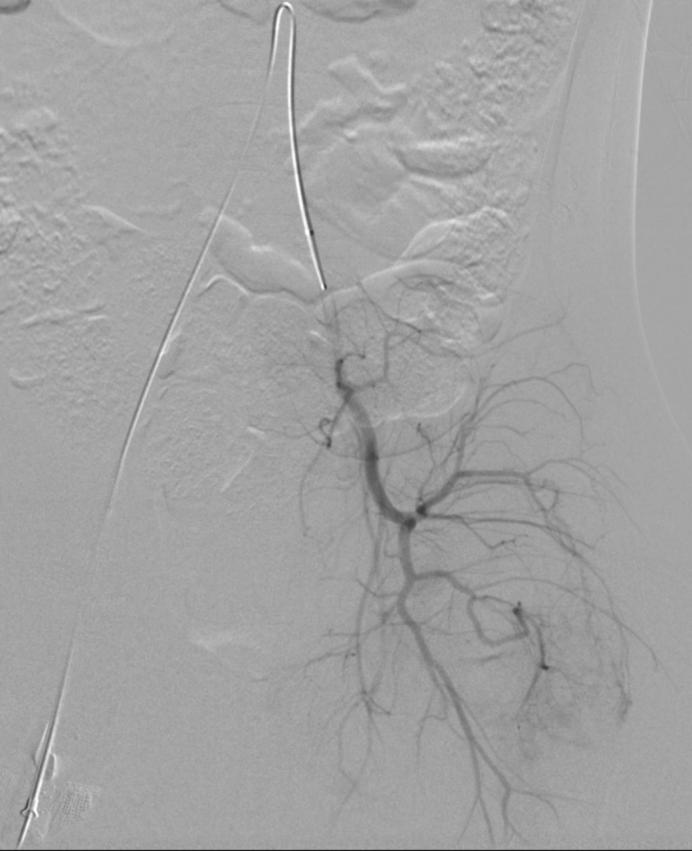
患儿全麻后,进行了经动脉的穿刺造影,可见臀部病灶处可见异常染色,经皮穿刺造影可见病灶处造影剂弥漫分散,诊断静脉畸形明确。进行了硬化治疗。术后第二天出院,出院后口服利伐沙班药物治疗。

经动脉造影提示病灶处异常染色

经皮穿刺病灶处,可见异常染色

术前凝血功能异常 LIC

术后1月凝血明显改善

术前

术后