【基本信息】女,4个月
【疾病类型】社区获得性肺炎
【治疗医院】化州市人民医院
【治疗方案】罗红霉素颗粒抗感染、予布地奈德+沙丁胺醇雾化
【治疗周期】1周
【治疗效果】治愈
患儿于2天前出现咳嗽,程度一般般,为阵发性连声咳,间断性,偶尔咳得厉害些,伴痰鸣,无犬吠样咳及声嘶,无气喘,无呛咳,无明显呼吸困难,无烦躁不安,有发烧,低烧为主,无明显时间规律性,无抽搐,无呕吐,无拉肚子,到当地卫生院治疗(具体欠详),症状缓解不明显,现患儿咳嗽、痰鸣仍明显,为进一步诊治到我院就诊,收住我科。患儿起病来,精神、胃纳一般,睡眠可,大小便如常,近期体重无明显下降。
入院查体: 体温:37.5℃,脉搏:120次/分,呼吸:38次/分,Wt 5.5 Kg。神志清楚,精神反应一般。全身皮肤未见皮疹,前囟平软,大小约1.5cmX1.5cm,咽充血,颈软无抵抗,气管居中,双肺呼吸对称,胸三凹征(-),双肺呼吸音粗,双侧肺可闻及少许湿性啰音,心率120次/分,律齐。腹稍胀,腹肌软,肠鸣音未见异常,4-5次/分。四肢肌力、肌张力正常。

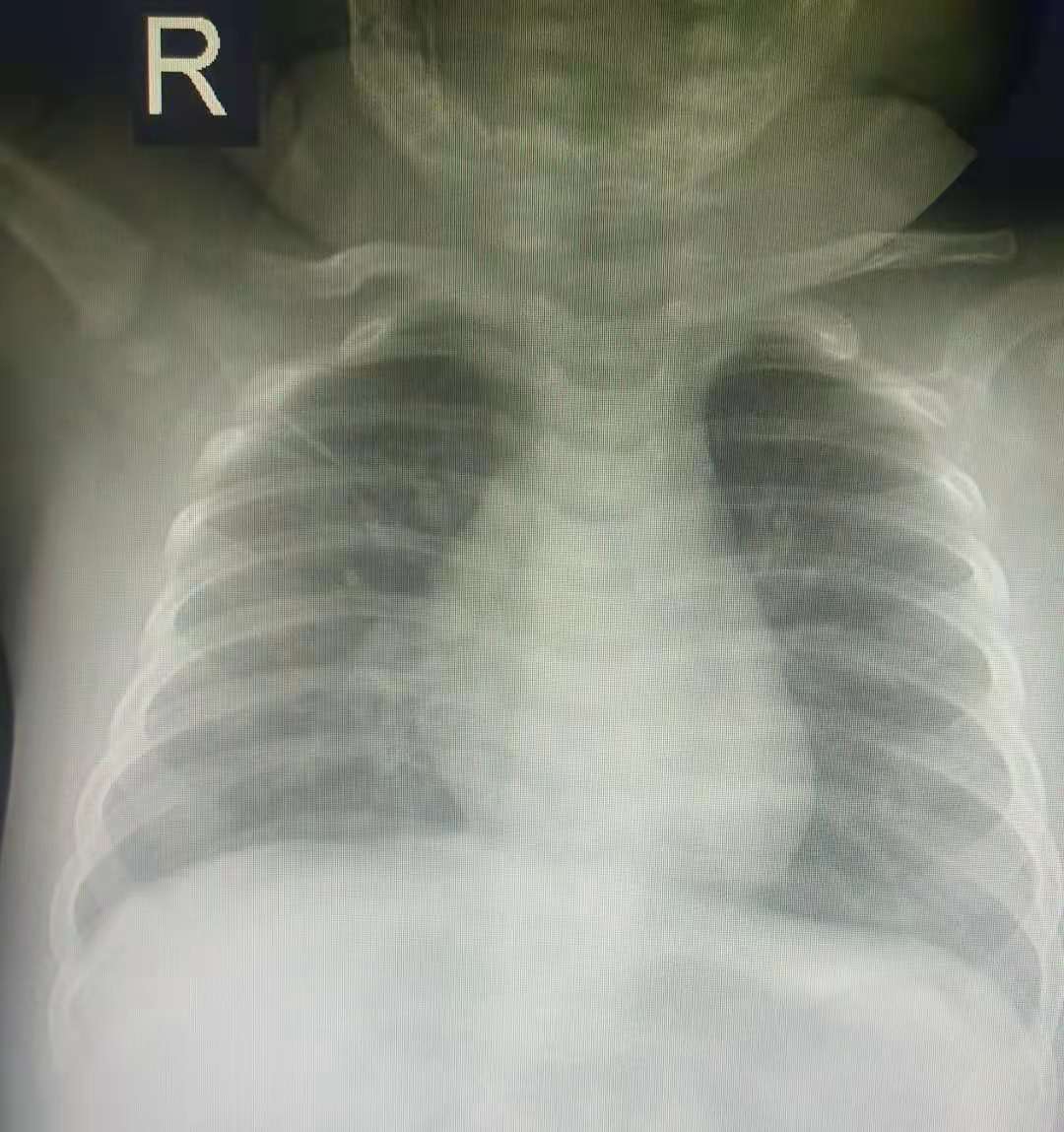
入院后完善各项相关检查,查血常规五分类白细胞数目(WBC),7.81x10^9/L,L;嗜酸性粒细胞百分比(EO%),0.3%,L;血小板数目(PLT),418x10^9/L,H;血小板压积(PCT),0.410%,H 。胸部正位平检查意见:符合支气管肺炎改变。肺炎支原体IgM抗体检测、降钙素原、CRP、心肌酶谱六项、血清铁未见异常;尿常规+尿沉渣:正常。
患儿是在医院外感染引起的肺炎,目前诊断: 社区获得性肺炎明确 ,鉴于患儿CRP、PCT、血常规、肺炎支原体抗体均未见明显异常,目*考前**虑病毒感染引起可能性大,可予干扰素雾化抗病毒治疗,患儿为小婴儿,口服氨溴索时呕吐厉害,予静滴氨溴索化痰,予布地奈德+沙丁胺醇雾化等对症治疗,完善痰培养,嘱加强呼吸道护理防窒息;指导家长多帮孩子翻身拍背处理。
第二天查房患儿仍有咳嗽、痰鸣,而且痰鸣较明显,间中气喘,无发热,无抽搐,精神、睡眠、饮食一般,大小便无异常 。查体:体温:36.5℃,脉搏:130次/分,呼吸:40次/分,Wt 5.5 Kg。神志清楚,精神反应一般。全身皮肤未见皮疹,前囟平软,大小约1.5cmX1.5cm,咽充血,颈软无抵抗,气管居中,双肺呼吸对称,胸三凹征(-),双肺呼吸音粗,双侧肺可闻及大量痰鸣音及少量喘鸣音,心率130次/分,律齐。腹稍胀,腹肌软,肠鸣音未见异常,4-5次/分。四肢肌力肌张力正常。 毛细血管充盈时间1s。
患儿痰鸣音明显,可予酚妥拉明改善肺部微循环,加强呼吸道吸痰护理,注意防返流、窒息,继续予干扰素,布地奈德、沙丁胺醇雾化等对症治疗,患儿为小婴儿,顺产出生,未排除衣原体感染,可予罗红霉素或阿奇霉素颗粒抗感染治疗。
第三天时咳嗽、痰鸣较前明显好转,无气喘,无发热,无抽搐,精神、睡眠、饮食可,大小便无异常 。双肺呼吸对称,胸三凹征(-),双肺呼吸音粗,双侧肺可闻及少量湿性啰音,心率128次/分,律齐。腹平,腹肌软,肠鸣音未见异常,4-5次/分。四肢肌力肌张力正常。毛细血管充盈时间1s。痰培养未见异常。患儿病情好转,继续雾化、化痰、呼吸道护理等对症治疗;密切观察患儿病情变化。
到第7天时患儿精神好,无明显咳嗽、痰鸣了,也不见气促,无腹泻,查体各生命征稳定,病情治愈,予以办理出院手续。
从该病例我们知道社区获得性肺炎是在院外由细菌、病毒、衣原体和支原体等多种微生物所引起的。小婴儿由于免疫系统发育不完善,更容易感染引起社区获得性肺炎,主要临床症状是咳嗽、痰鸣、气喘。该 患儿CRP、PCT、血常规、肺炎支原体抗体均未见明显异常,考虑病毒感染引起可能性大,予干扰素雾化抗病毒治疗,化痰及予布地奈德+沙丁胺醇雾化等对症治疗,并加强呼吸道吸痰护理,注意防返流、窒息等,经治疗1周后病情治愈。 对社区获得性肺炎采取综合预防措施是很重要的。婴儿应该按时接种疫苗,家长及孩子平时需要勤洗手,增加孩子体质等可以对该病起到很重要的预防作用。