#牙齿上有黑黑的东西,该怎么办#
平时笑起来牙齿白白的,整整齐齐的
这样子的牙齿应该很健康吧?
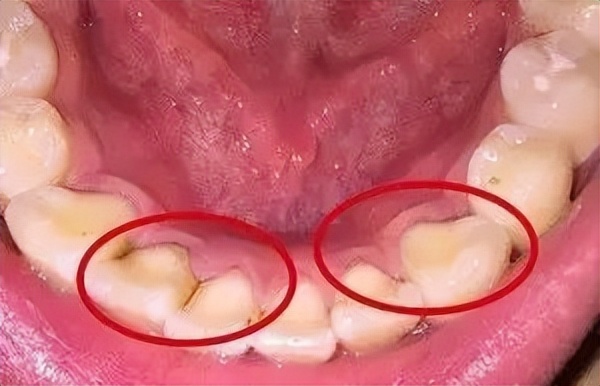
但是一照镜子,不少人会发现牙齿上有【 黑黑 】的东西。
有些附着在牙龈下面,有些会在大牙(磨牙)上面的沟沟里。

虽然看起来丑,但是不痛不痒,所以很多人没有放在心上,觉得无关紧要。
但其实,这些黑黑的东西隐藏着大问题,预示着牙齿有健康的隐患。
不及时处理,会让你的牙齿在不知不觉中 烂掉
黑黑的东西到底是什么?
这些黑色的东西,其实是我们经常遇到的东西
1、 牙结石:牙结石有黄色或者黑色,但是不管黑和黄,它都是一种不好的东西。是由于口腔环境长期不佳,细菌和色素沉积之后,附着在牙齿上,有些在牙齿根部与牙龈相连处,有些在大牙(磨牙)上面的沟沟里
2、 龋齿(蛀牙):当牙齿发生龋坏之后,牙齿的表面会被腐蚀,发展到一定程度,会形成黑色的龋洞(蛀洞),而这个时候,必须马上治疗。
黑色只是表面,里面隐藏着“虫子”?
它没有藏着虫子,但是它长着病变(龋齿)?别有洞天,这个词最适合描述这种现象

从图中可以看到,牙齿表面上的黑点,我们看到的都是一样,但是牙齿里面的腐蚀已经慢慢的深入,进入到了牙髓。这是一个完整的龋齿演变过程。

龋齿分为三个程度
浅龋 :早期的蛀牙,细菌附着在牙齿表面,这个时期的牙齿不会感觉到疼痛。
中龋 :已经侵蚀到牙本质,牙齿会感觉到疼痛,但是不明显,过一段时间疼感消失。
深龋 :这时期的牙齿已经病入膏肓,牙髓已经被侵蚀,牙齿会出现剧烈的疼痛。
这么危险的黑色东西,怎么去除?
早发现早去除 - 洗牙
如果是牙结石,简单的通过洗牙的方式即可去除,洗牙之后,要保持良好的口腔卫生习惯,勤刷牙,多漱口。
晚发现有龋齿 - 补牙
如果已经发展成为龋齿(蛀牙),那么就应该尽早找牙医治疗,轻微的可进行补牙,当然最坏的情况就是做根管治疗后戴牙冠了。
你看到的龋齿可能不是全部
一般我们看到的龋齿是长这样的↓↓

运气好的话牙齿里面是这样的↓↓

运气不好的话,它可能是这样子的↓↓

还有一种情况,它的名字叫“奶瓶龋”。为啥叫这个名字,因为它里头长这样子↓↓

所以眼见不一定为实,肉眼见到针孔大小的一个龋洞,可能牙齿里面已经被掏空。非专业人员请勿自己判断龋齿的情况, 就算再小的龋洞,都应该立刻补上。小洞不补,大洞吃苦。
温馨提示:
牙齿小问题要及时发现,并及时处理,所以,牙齿的常规检查必不可少,建议每年定期到正规的口腔医院进行口腔检查!