近日58岁的患者咨询我治病,已经患有前列腺增生已有半年了,主要表现就是夜尿多,最多的时候起夜十多次,也吃了好几种药,用了前列之光治疗仪,也做了经络拍打,现在还是起夜四五次,想知道怎么能治愈?诊断是前列腺增生2度。

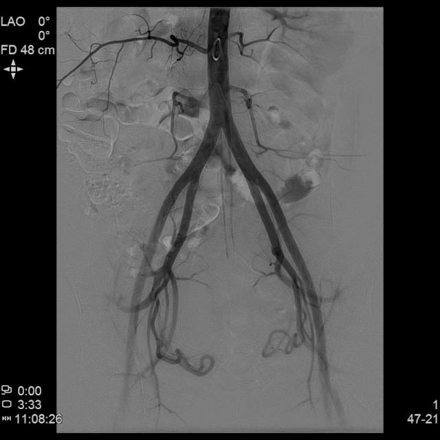
前列腺介入栓塞手术是目前比较新的一种治疗前列腺增生的手术方法。此手术通过患者股动脉穿刺,穿刺成功后置入特殊的导丝、导管,通过造影剂(X线下显影)找到供应前列腺的血管。将供应前列腺的血管通过特殊的弹簧圈或者海绵栓塞。阻断前列腺血管供应,使前列腺缺血、萎缩,改善患者排尿困难等情况。此手术是对高龄、高危的前列腺增生治疗的又一选择。

手术风险非常小,采用局麻,安全性高,患者全程很清醒,创伤较其他微创手术治疗前列腺增生要小。此手术对尿控、性功能障碍影响较小。此手术仍然需要大样本和长期随访的。此手术需要有经验的介入医师来完成。

住院时间较短,做完手术就可以下地。对于不能耐受手术的病人,其是较好的选择。
前列腺动脉栓塞术操作的关键是找到前列腺的供血动脉,以免误栓前列腺周围的正常血管,前列腺由多支动脉参与供血,给动脉栓塞带来了不便。前列腺动脉栓塞术适用于:年龄>50岁,明确为前列腺增生所致的中重度症状、经药物治疗6个月以上效果不佳、前列腺体积>40g、有外科或微创外科治疗指征者。

前列腺增生疾病的出现和人们日常生活有着非常大的关系,对于那些经常存在压力,总是不能自己释放压力,心思重,又总是闷闷不乐的人来讲是很容易出现前列腺增生疾病的,所以对于这样的人群来说更加要重视做好对于前列腺增生疾病的预防。争取能够远离前列腺增生疾病。
