牙齿非常硬,但却阻挡不了细菌地侵蚀。当我们疏于清洁时,细菌就会破坏我们的牙齿。

初期我们很难发现被细菌“盯”上的牙齿,等牙疼了才能明白,原来小黑线、黑块是龋齿(蛀牙)的表现。
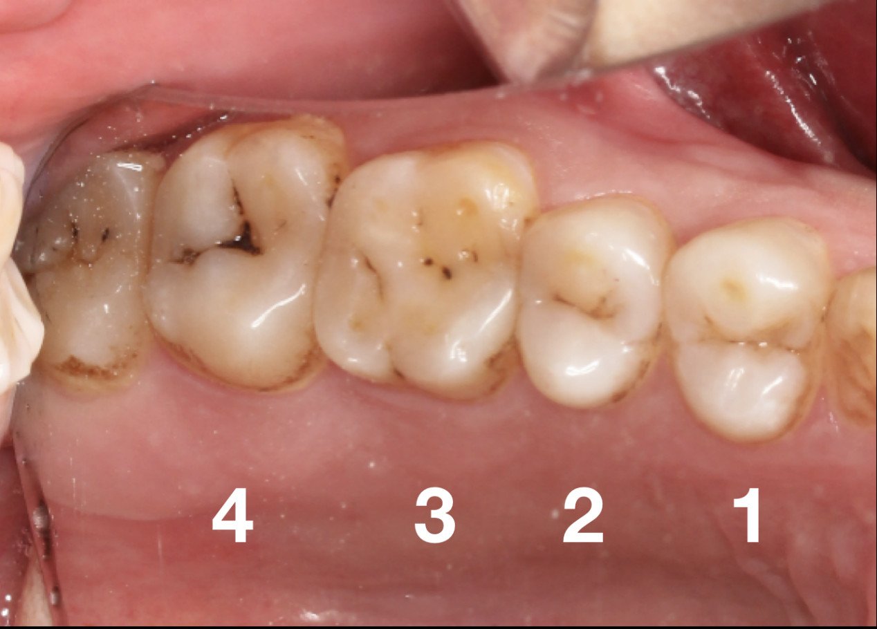
牙齿有黑线!快来认识
牙齿黑线通常有两种可能,一种是健康的色素沉淀,像喝茶,抽烟,嚼槟榔都是容易有色素沉淀的。

另一种就是细菌的腐蚀,啃咬造成的蛀牙。
想要知道到底是龋齿,还是色素沉着,还是比较难分辨的。但色素沉着一般会导致多颗牙齿被染色,染色是比较均匀的。

而蛀牙一般只有一两颗牙齿会显示出黑线。但是当色素牙和蛀牙同时出现时,我们就很难辨别出来了,只能通过医疗设备X-光检查。
牙齿龋坏疼痛发展过程
浅龋。牙齿表面有黑线,最表层牙釉质被破坏,初步形成蛀牙。
中龋。龋坏加重,牙齿第二层牙本质被破坏。遇冷热酸甜食物牙齿会敏感,冷刺激尤为明显,可出现疼痛反应,当刺激源去除后疼痛立即消失。

深龋。龋坏到达牙本质深层,一般表现为大而深的龋洞,或入口小而深层有较为广泛的破坏。对外界刺激反应比中龋重,但刺激源去除后,仍可立即止痛,无自发性痛。

牙髓炎。龋坏导致牙髓发炎,这时不但会有刺激性痛,还会自己一阵一阵地疼,晚上疼得更厉害。
牙髓坏死。继续发展就会出现吃东西咬合痛,牙齿根尖痛、牙龈有脓包、牙齿变色等相关症状,且疼痛加重。

龋坏毁牙,挽救方式
浅龋治疗:可以把有龋坏的物质挖掉,通过简单补牙就可以。
中龋治疗:可通过补牙/嵌体修复完成,具体需要医生根据牙洞大小决定,前牙可做牙贴面。
深龋治疗:需先进行根管治疗,然后通过补牙/嵌体/冠修复,前牙可做牙贴面。

牙髓炎症、牙髓坏死:需先治疗,治疗结束补完牙后再戴牙冠。如果牙齿已经没有保留价值了则需要拔除。
怎么防止蛀牙
认真有效地刷牙是保证不长蛀牙的前提。对于牙齿有缺陷,牙齿发育不全的人,应该尤为注意饮食中酸和甜少摄入。
防蛀需早晚刷牙,每天不少于3分钟,舌苔也别忘清洁。高纤维类食物有助于带走食物残渣,可以合理增加食用。

如果是小朋友,可以通过涂氟、窝沟封闭保护牙齿。成年人非高氟类地区,可用含氟牙膏,这样即可以抑制牙菌斑,还能促进牙齿矿化,让牙齿更坚固!
牙齿掉了后的危害
缺牙的危害很多人并没有真切了解过。其实缺牙不但会让吃东西变得不方便,还有更多深层的身体健康方面的影响。
缺一颗牙,会导致旁边的牙齿倒向缺牙处,时间久了相邻的牙齿也会松动掉牙;

缺牙还会让食物咀嚼不充分,出现偏侧咀嚼;
增加肠胃消化负担,导致肠胃变虚弱,营养吸收变差,营养跟不上加速人体衰老。
缺牙的危害,是潜移默化的,因此一定要好好地保护牙齿。

福州福能海峡口腔提醒:牙齿缺失,一定要尽快修复。别让牙齿缺失影响生活质量,影响身体健康!