鲫鱼水花阶段饲养过程中寄生虫病害经常发生,其中以车轮虫和指环虫这两种寄生虫最为常见,经常会给养殖户们带来一定的损失,如何做好科学的管理以及及时的诊断治疗最为关键。接下来给大家介绍一下车轮虫和指环虫的预防和诊治方法,希望能给大家带来一定的帮助。
前期预防:鱼塘的处理
鲫鱼水花在下塘之前要做好鱼塘的处理,一般鱼塘的处理至少需要一星期左右的时间可以简要的分为俩阶段
第一阶段:鱼塘的清塘和消毒
鱼塘清塘一定要干净彻底并且经过暴晒处理当鱼塘全部清理干净以后应再以每亩50-100斤的生石灰全塘泼洒进行消毒处理

第二阶段 鱼塘水体的处理
俗话说“养鱼先养水”、“好水养好鱼”,水质对养鱼来说非常重要,因此要想养好鲫鱼就得学会辨别水质的好坏。养殖过程中判断水质好坏的重要指标就是水色及其变化情况。根据水色可判断水中浮游生物的种类及数量,从而采取相应用药和施肥措施来改善水质。养殖过程中只有控制好水质才能提高养鲫鱼的生长速度,减少疾病,实现高产、优质、高效的目的。当鱼塘蓄水之后水体的处理需要一星期左右的时间,首先要做的是杀虫处理,杀灭水体中的寄生虫以及红虫等孢子虫的中间宿主,可以用敌百虫等杀虫药剂,然后等二天用解毒药剂进行水体解毒,第三天进行消毒处理可以使用生石灰或者聚维酮碘,漂*粉白**,二氧化氯等,第四天空隔一天,第五天可以进行肥水,肥水使用发酵好的农家肥或者生物有机肥也可以使用肥水膏等生物肥水制剂进行肥水,然后空隔几天当水体的颜色为豆绿色或黄绿色并且取水样检测发现水体的轮虫等生物饵料达到每毫升3到5个时便可以指导放鱼,放鱼前要取少量的鱼苗进行试水并测量水体氨氮,亚盐以及溶氧发现没有问题后可以进行鱼苗投放。

-
车轮虫的诊断:
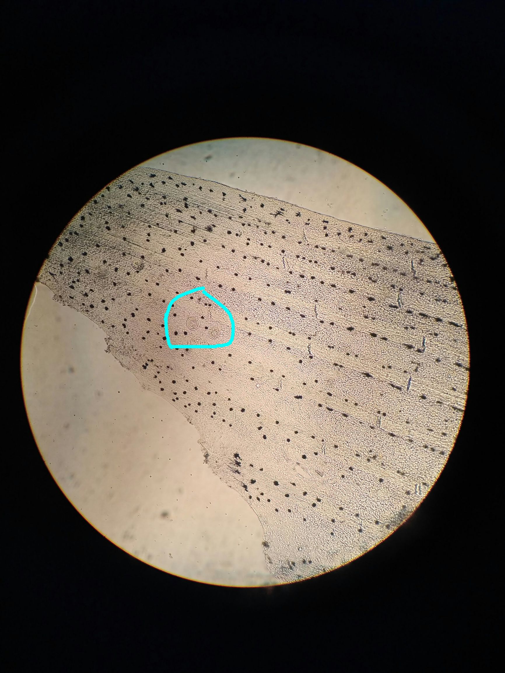
车轮虫前期一般都寄生在鱼的体表如尾部鳍部,当发现鱼苗出现在水里打转,身体发黑,落单独游的现象时其很有可能感染了寄生虫,这个时候可以捞取几条有上述症状的鱼苗进行镜检发现如图所示形似轮胎并转着圈运动的动物时即可诊断鱼苗感染了车轮虫病

2.指环虫的诊断
病鱼体色加深,身体瘦弱,游泳缓慢,食欲减弱,鳃部显著水肿,黏液增加,鳃丝张开并呈灰暗色,离群独游,逐渐瘦弱而死亡,虫体扁平,头部前端背面有4个黑色的眼点,口在眼点附近,口下面膨大的部分叫咽,咽后分两根肠管延伸到体后端连接成环状。虫体后端有固着盘, 由1对大锚钩和7对边缘小钩组成,借此固着在鱼的鳃上。指环虫是雌雄同体的卵生吸虫。在虫体的后部有一卵巢,精巢在卵巢的后面。捞取病鱼镜检可发现如图所示虫体:

3.车轮虫和指环虫的治疗
敌百虫0.7两每亩全塘泼洒,能够有很好的效果,在泼洒敌百虫之后要开增氧机,搅动水体,第二天使用解毒药剂进行水体解毒处理。同时也可以每月泼洒一次敌百虫进行预防处理同时也可以对孢子虫有一定的预防效果

最后希望本文能给喜欢水产的小伙伴们带来一些帮助!
