患者男性,64岁,腰痛2年,左下肢麻木疼痛3周,加重1周,行走困难;保留治疗无效;疼痛部位以左小腿外侧缘为主。VAS评分腰部2分,左下肢10分。
查体:
双下肢肌力正常,左侧膝反射(-),左下肢直腿抬高30度(+),加强实验(-),左侧直腿抬高试验(-)。
术前影像学检查:
X片报告:腰椎侧弯
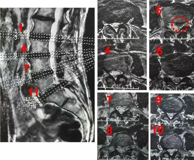
MRI报告:L3-4椎间盘突出;L4-5及L5S1椎间盘膨出
3D CT报告:L3-4椎间盘左后方脱出,压迫硬膜囊及左侧神经根,左侧侧隐窝狭窄; L4-5及L5S1椎间盘膨出,双侧侧隐窝狭窄


诊断:
腰4-5椎间盘突出症(旁中央型,向上游离型,累及左侧腰4神经根侧隐窝段)。
定位分析:症状及体征定位左侧腰4神经根可能性大;MRI及CT三维重建报告未考虑脊柱侧弯影像,误将明显突出L4-5节段定位于L3-4节段。
手术方式:
局麻脊柱内镜下经椎间孔入路腰4-5椎间盘摘除术。
术中:

术后情况:
术后即刻左下肢疼痛明显缓解,左下肢直腿抬高(-);术后第2日,VAS评分腰部1分,左下肢1分,行走自如;手术切口0.8cm,术后第2日出院,1月内腰围保护下正常日常生活。
讨论:
1、仔细查体和阅片真的很重要!本例查体症状在腰4神经根,但影像检查涉及腰3-4,腰4-5椎间盘突出,并且有退变性侧弯。经过反复对比确认,最后选择做腰4-5对腰4出口根减压,结果证明选择准确,效果明显!
2、脊柱内镜(或称椎间孔镜)辅助下椎间盘摘除术是目前椎间盘手术中创伤最小、恢复最快、费用最低的一种方式,术后次日即可出院,其效果与经典的显微镜下椎间盘摘除术相同,且不增加手术并发症;
3、本例合并脊柱侧弯,影响了MRI和CT影像节段的判断,术前报告突出节段有误,因此术前需结合全面的病史、详细的查体、细致的影像学分析才能作出综合判断;
4、本例突出髓核组织向上游离至近椎弓根上缘水平,手术时受出行神经根影响,手术难度较大;
5、本例脊柱侧弯不排除为姿势性代偿,患者年龄大,合并中度贫血,且仅要求恢复日常生活能力,故不考虑行固定融合手术,术后需随访复查。