患者男,26岁,河北省保定市人。
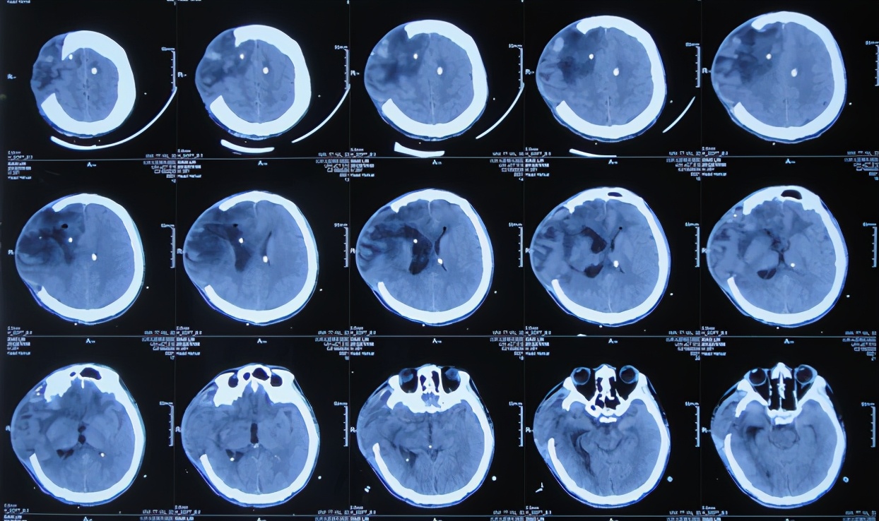
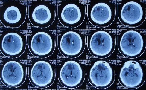
患者于2020年12月12日,在工作时意外从货车上摔下致头颅受伤,出现意识不清,送至河北省定兴县某医院,急诊查头颅CT示颅内血肿,中线有偏移( 图-1 ),给予开颅颅内血肿清除术+去骨瓣减压术,留置引流管,并行气管切开术;术后当天查头颅CT示开颅术后状态( 图-2 ),转入ICU病房。

图-1: 2020年12月12日头颅CT

图-2: 2020年12月12日开颅术后头颅CT
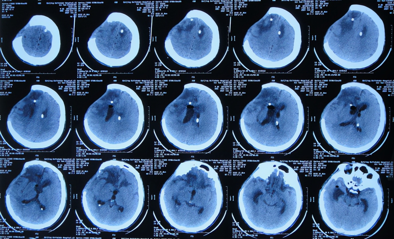
开颅术后次日,出现发热的症状,开颅术后3天即2020年12月15日,拔除了头颅引流管,头颅CT示仍水肿,稍有脑膨出( 图-3 )。

图-3: 2020年12月15日头颅CT
开颅术后4天即2020年12月16日,给予腰大池引流术引流出血色脑脊液。
开颅术后9天即2020年12月21日,查头颅CT示有好转( 图-4 )。

图-4: 2020年12月21日头颅CT
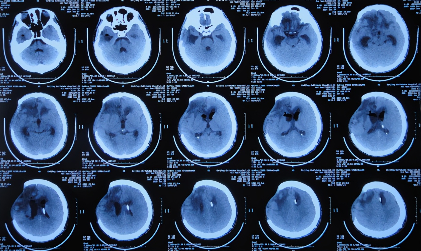
开颅术后10天即2020年12月22日(腰大池引流6天后),腰大池引流期间无发热,因脑脊液颜色血色转为黄色,给予拔除腰大池引流管;但查头颅CT示仍有脑膨出,且脑室有稍增大( 图-5 ),肺部CT认为有点感染( 图-6 )。

图-5: 2020年12月22日头颅CT

图-6: 2020年12月22日肺部CT
开颅术后12天即2020年12月24日(拔除腰大池引流管2天后),再次出现发热,在医生建议下转住入上级的河北省保定市某三甲医院,给予腰穿抽取脑脊液化验。
开颅术后13天即2020年12月25日(拔除腰大池引流管5天后),查头颅CT示脑膨出严重,脑积水( 图-7 )。

图-7: 2020年12月25日头颅CT
脑脊液培养提示为鲍曼不动杆菌,于2020年12月26日,查头颅CT( 图-8 )后,进行了脑室外引流术,引流出脑脊液内有大量脓液;因颅内感染严重该院医生建议患者家属转至北京北亚骨科医院的李小勇脑脊液科进一步治疗。

图-8: 2020年12月26日头颅CT
二、李小勇脑脊液科治疗过程和结果
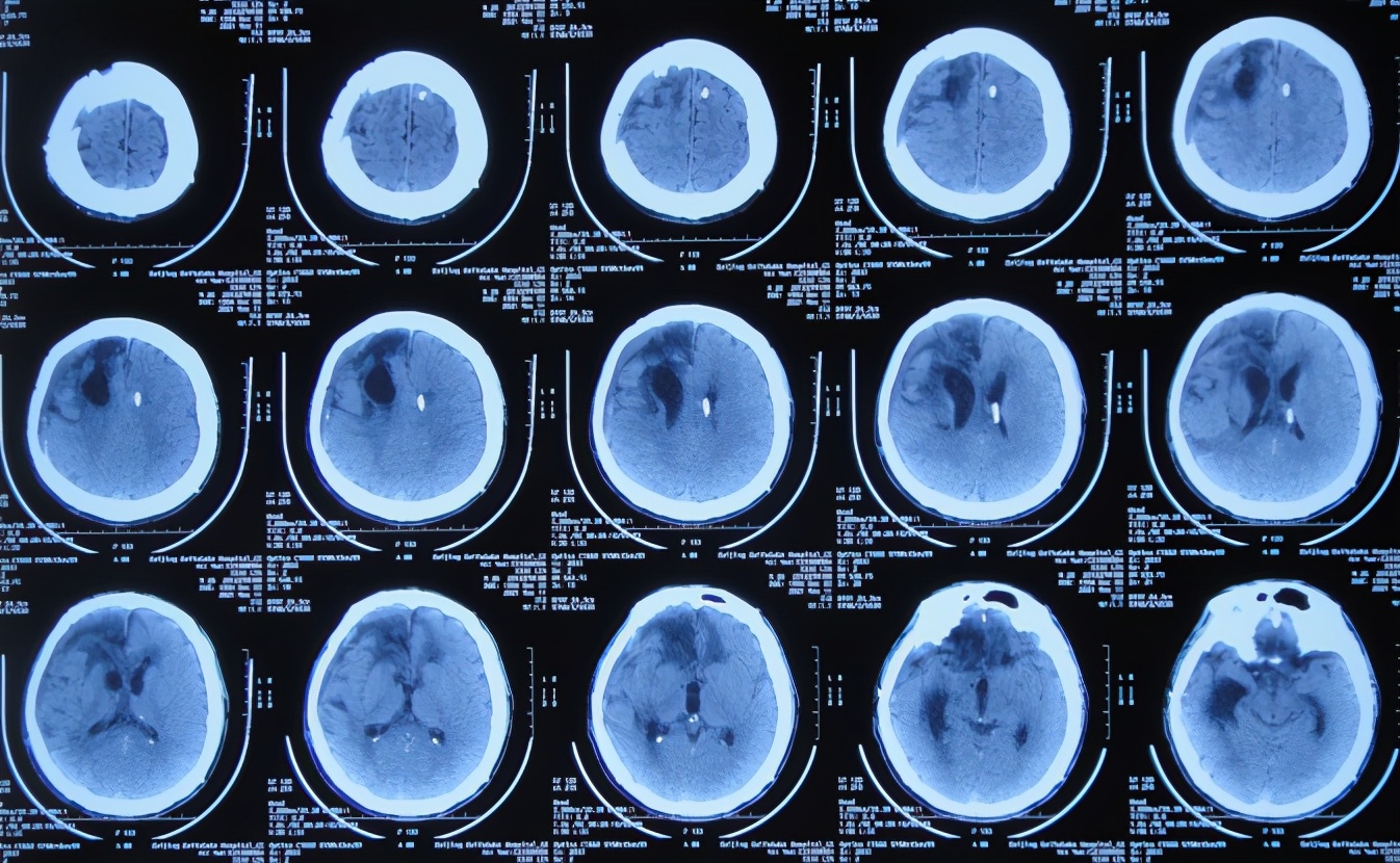
开颅术后15天即2020年12月27日(脑室外引流术后2天)住入李小勇脑脊液科。入院时:昏迷,刺痛后双上肢无反应,鼻饲饮食,大小便不能自理,体温升高38.2°C,携带外院引流管,气管插管( 图-9 );头颅CT示脑积水,脑膨出( 图-10 )。

图-9: 2020年12月27日入院时

图-10: 2020年12月27日头颅CT
入院治疗第2天即2020年12月28日,进行了右侧的脑室外引流术,头颅CT示脑室内有2根管( 图-11 )。

图-11: 2020年12月28日头颅CT
入院治疗5天即2021年1月1日,查头颅CT示脑积水和脑膨出均有减轻( 图-12 )。

图-12: 2021年1月1日头颅CT
入院治疗22天即2021年1月18日,查头颅CT示脑膨出变基本正常( 图-13 );脑脊液细菌已被消灭。

图-13: 2021年1月18日头颅CT
入院治疗29天即2021年1月25日,查头颅CT示骨窗变塌陷( 图-14 )。

图-14: 2021年1月25日头颅CT
入院治疗31天即2021年1月27日,拔除了一侧脑室外引流管( 图-15 )。

图-15: 2021年1月27日头颅CT
入院治疗45天即2021年2月10日,入院时昏迷变意识完全清醒,右上肢能遵嘱活动,且手指能遵命伸出对应数字( 图-16 )。

图-16: 2021年2月10日
入院治疗73天即2021年3月11日,进行了颅骨修补术( 图-17 )。

图-17: 2021年3月11日头颅CT
入院治疗79天即2021年3月17日(颅骨修补术后6天),下肢能遵嘱活动,但左侧肢体仍活动差( 图-18 )。

图-18: 2021年3月17日
入院治疗85天即2021年3月23日(颅骨修补术后12天),查头颅CT示脑积水、水肿进一步好转( 图-19 )。

图-19: 2021年3月23日头颅CT
入院治疗91天即2021年3月29日(颅骨修补术后18天),病情又有好转:患者扶着护栏能自己站着,左侧肢体能遵嘱活动( 图-20 )。

图-20: 2021年3月29日
入院治疗122天即2021年4月19日(颅骨修补术后39天),在搀扶下变得能走路( 图-21 )。

图-21: 2021年4月19日
入院治疗144天即2021年5月11日(颅骨修补术后61天),进行了脑室腹腔分流术( 图-22 )。

图-22: 2021年5月11日头颅CT
入院治疗154天即2021年5月21日(颅骨修补术后71天)出院,出院时:神志清楚,能自己走路但不稳( 图-23 );出院前头颅CT示未见异常( 图-24 )。

图-24: 2021年5月21日出院时

图-24: 出院前头颅CT
三、出院后随访
出院后2个月即2021年7月30日,家属发来视频:走路变完全正常,蹲下站起也正常( 图-25 ),言语交流正常,日常生活已完全自理。

图-25: 2021年7月30日
(完)