Debbie 葉子口腔科普
最近出去吃饭我都在留意一个现象:饭后,大家都拿着牙签“掏掏掏”。是的,因为又㕛叒塞牙了。

塞牙不仅让我们很烦恼,而且还相当尴尬。
那么,为什么吃东西后会塞牙呢?是牙齿出现问题了,还是正常现象呢?塞牙能治吗?

吃东西后为什么会塞牙?
吃东西后塞牙原因有很多,按照食物进入牙齿的方向,可以分为两种。
1
“肉”垂直地卡进了牙缝里
(上下方向)
1
正常情况下,我们的牙齿相互接触,牙齿间会留下很小的缝隙,也就是我们所说的牙缝。这个时候的牙缝非常地窄,窄到只能用牙线这类型很薄的物品才能通过。
但是,当相邻的两颗牙齿因为一些不正常的原因,而失去了他们彼此应有的接触关系后,牙缝就会慢慢地变宽,从而出现了“卡肉”的现象。
那么,引起牙缝变宽的原因又有哪些呢?
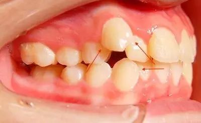
1/ 牙齿的接触面有蛀牙,造成了牙缝变宽。

2/ 牙齿因为错位或扭转造成了牙齿之间的间隙。

3/ 牙齿掉了以后,没有及时把缺牙“补”起来,造成了缺牙位置两边的牙齿向中间倾斜,造成两边多个牙齿之间的间隙。

4/ 过度松动的牙齿与旁边的牙齿接触关系被破坏,造成缝隙

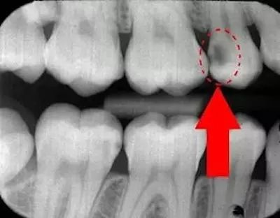
5/ 智齿萌出的方向不正常,也会造成食物易嵌塞在倾斜的空隙里。

2
当牙齿的形态异常时,也会发生塞牙。
比如,上排牙齿的一个牙尖过度尖锐,会将食物“卡”到下排相对应的两颗牙齿的牙缝里;同样地,如果下排大牙倾斜,也有可能将食物“卡”到上排对着的牙缝里。

3
在正常状态下,我们的牙齿接触区域周围是有特殊形态的空隙,食物可顺着这个空隙通道溢出而不会“卡”到两牙之间。
但当这个空隙过小而不利于食物溢出的时候,就容易造成塞牙的现象了。
2
“肉”水平地卡进了牙缝里
(前后方向)
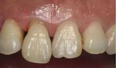
如果两颗牙齿之间的牙龈乳头退缩(牙龈萎缩),就会造成两颗牙齿之间下方出现空隙,食物就比较容易在嘴唇、脸颊和舌头的运动作用下,水平地进入了间隙,造成了塞牙的现象。


吃东西后塞牙,需要治疗吗?
如果发现吃东西经常塞牙,除了要积极使用牙线去清洁牙缝之外,对症治疗是关键。比如:
- 有蛀牙的要补牙。
- 有牙齿缺失的,要种牙或镶牙。
- 牙齿不齐的,需要考虑牙齿矫正。
- 智齿造成经常塞牙的,考虑拔除智齿。
- 牙齿的形态异常的,医生会考虑是否能适度地调磨,来达到咬合的平衡状态。
- 牙龈萎缩,需要考虑系统的牙周治疗或手术。……
具体的治疗方案,需要由医生做检查后进一步分析。

塞在牙齿上的食物,能用牙签剔除吗?

牙签的尖头其实还是比较粗的,所以并不能愉快地在牙缝里“掏肉”,而且,还很容易刺激到牙龈,长期下来,牙龈会发生萎缩。所以,坊间流传着,“用牙签剔牙,牙缝会越来越宽”,这个是有道理的。
果断使用牙线!
吃东西经常塞牙,麻烦和尴尬都是小事。“塞牙”——其实是牙齿生病后给我们发出的信号。
如果我们忽略了这个报警信号,就会错过了发现问题的机会。
作者 | 牙医麻麻Debbie(口腔医学硕士)
图 | 网络
视频翻译 | @沙丁鱼牙
分享 让更多的人摆脱尴尬
投稿、合作、加入:dentalleaf@gmail.com
yzkqkp@qq.com